Render Target: STATIC
Render Timestamp:
5/20/2026, 7:44:02 PM EDT
5/20/2026, 11:44:02 PM UTC
Commit: 7ed46ecc04b401f23a28df741b5078df405d23e4
XML generation date: 2025-11-12 16:21:16.510
Product last modified at: 2026-03-20T08:06:12.501Z
Cell Signaling Technology Logo - Extra Large
1% for the planet logo
PDP - Template Name: Monoclonal Antibody
PDP - Template ID: *******c5e4b77
Trial Size Available Flag

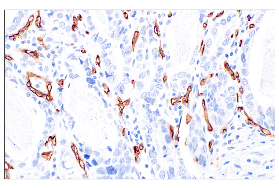
CD34 (QBEND/10) Mouse Monoclonal Antibody #15822

Filter:
  • IHC

    Product Specifications

    REACTIVITY H
    SENSITIVITY Endogenous
    MW (kDa)
    Source/Isotype Mouse IgG1
    Application Key:
    • IHC-Immunohistochemistry 
    Species Cross-Reactivity Key:
    • H-Human 

    Product Information

    Product Usage Information

    Application Dilution
    Immunohistochemistry (Paraffin) 1:50

    Storage

    Supplied as liquid tissue culture supernatant containing sodium azide as a preservative. Stable for 12 months when stored at 4°C. Do not aliquot the antibody.

    Note: This product is only available in the format listed above. We are unable to provide this in a carrier free, custom formulation.

    实验步骤

    Specificity / Sensitivity

    CD34 (QBEND/10) Mouse Monoclonal Antibody recognizes endogenous levels of total CD34 protein.

    Species Reactivity:

    Human

    Source / Purification

    Monoclonal antibody is produced by immunizing animals with a detergent-solubilized vesicular suspension prepared from a perfusate of human placenta.

    Background

    CD34 is a type I transmembrane glycophosphoprotein expressed by hematopoietic stem/progenitor cells, vascular endothelium, and some fibroblasts (1). CD34 expression has been the hallmark used to identify hematopoietic stem cells for many years. CD34+ hematopoietic stem cells expand and differentiate into all the lymphohematopoietic lineages upon cytokine or growth factor stimulation and lose CD34 expression upon differentiation. However, recent studies performed in various laboratories conflict with that convention (2). The extracellular domain of CD34 is homologous to CD43, a protein involved in cell-cell adhesion, and CD34 has been shown to function as a negative regulator of cell adhesion (3). CD34 associates with CrkL but not CrkII, is a substrate for PKC, and activation of PKC is coupled with surface expression of CD34 (1,4).

    Alternate Names

    CD34; CD34 antigen; CD34 molecule; Hematopoietic progenitor cell antigen CD34

    For Research Use Only. Not for Use in Diagnostic Procedures.
    Cell Signaling Technology is a trademark of Cell Signaling Technology, Inc.
    All other trademarks are the property of their respective owners. Visit our Trademark Information page.