Cell Signaling Technology Logo - Extra Large
Trial Size Available Flag

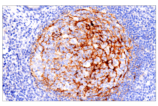
CD21/CR2 (2G9) Mouse Monoclonal Antibody #76069

Filter:
  • IHC

    Product Specifications

    REACTIVITY H
    SENSITIVITY Endogenous
    MW (kDa)
    Source/Isotype Mouse IgG2a
    Application Key:
    • IHC-Immunohistochemistry 
    Species Cross-Reactivity Key:
    • H-Human 

    Product Information

    Product Usage Information

    Application Dilution
    IHC Leica Bond 1:200 - 1:800
    Immunohistochemistry (Paraffin) 1:50 - 1:200

    Storage

    Supplied as liquid tissue culture supernatant containing sodium azide as a preservative. Stable for 6 months when stored at 4°C. Do not aliquot the antibody.

    Note: This product is only available in the format listed above. We are unable to provide this in a carrier free, custom formulation.

    Protocol

    Specificity / Sensitivity

    CD21/CR2 (2G9) Mouse Monoclonal Antibody recognizes endogenous levels of CD21/CR2 protein.

    Species Reactivity:

    Human

    Source / Purification

    Monoclonal antibody is produced by immunizing animals with a prokaryotic recombinant protein corresponding to the external domain of human CD21/CR2 protein.

    Background

    Complement receptor type 2 (CD21/CR2) is a type 1 transmembrane glycoprotein whose expression is largely restricted to B lymphocytes and follicular dendritic cells (1,2). Research studies have shown that CD21/CR2 functions to bind the complement fragments iC3b, C3dg, and C3d, which function to activate the alternative complement pathway and MAC formation (3,4). In addition to its function as a complement receptor, CD21/CR2 also functions as the B lymphocyte receptor for Epstein-Barr virus (5) and interferon alpha (6). Research studies have also shown that CD21/CR2 participates in B cell activation, proliferation, and protection from apoptosis through its association with components of the B cell coreceptor signaling complex such as CD19 and CD21 (7-9).

    Alternate Names

    C3DR; CD21; Complement C3d receptor; complement C3d receptor 2; complement component (3d/Epstein Barr virus) receptor 2; complement component 3d receptor 2; Complement receptor type 2; CR; CR2; CVID7; EBV receptor; Epstein-Barr virus receptor; SLEB9

    For Research Use Only. Not for Use in Diagnostic Procedures.
    Cell Signaling Technology is a trademark of Cell Signaling Technology, Inc.
    SignalStain is a registered trademark of Cell Signaling Technology, Inc.
    All other trademarks are the property of their respective owners. Visit our Trademark Information page.