Cell Signaling Technology Logo - Extra Large
Trial Size Available Flag
Recombinant Flag
Recombinant: Superior lot-to-lot consistency, continuous supply, and animal-free manufacturing.

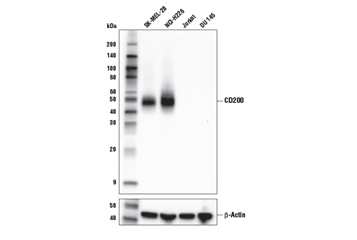
CD200 (E5I9V) Rabbit Monoclonal Antibody #23451

Filter:
  • WB
  • IP
  • IHC

    Product Specifications

    REACTIVITY H
    SENSITIVITY Endogenous
    MW (kDa) 45-50
    Source/Isotype Rabbit IgG
    Application Key:
    • WB-Western Blotting 
    • IP-Immunoprecipitation 
    • IHC-Immunohistochemistry 
    Species Cross-Reactivity Key:
    • H-Human 

    Product Information

    Product Usage Information

    Application Dilution
    Western Blotting 1:1000
    Immunoprecipitation 1:200
    IHC Leica Bond 1:50 - 1:200
    Immunohistochemistry (Paraffin) 1:100 - 1:400

    Storage

    Supplied in 10 mM sodium HEPES (pH 7.5), 150 mM NaCl, 100 µg/ml BSA, 50% glycerol and less than 0.02% sodium azide. Store at –20°C. Do not aliquot the antibody.

    For a carrier-free (BSA and azide free) version of this product see product #24510.

    实验步骤

    Specificity / Sensitivity

    CD200 (E5I9V) Rabbit Monoclonal Antibody recognizes endogenous levels of total CD200 protein.

    Species Reactivity:

    Human

    Source / Purification

    Monoclonal antibody is produced by immunizing animals with human CD200 recombinant protein and reacts with an epitope surrounding Ala164.

    Background

    CD200 (OX2) and CD200R (OX2R) are membrane glycoprotein members of the Ig superfamily (1-3). CD200 is expressed by a range of cells, including neurons, epithelial cells, endothelial cells, fibroblasts, and lymphoid cells, while its receptor, CD200R, is found on myeloid and T cells (1-5). Interaction between CD200 and CD200R downregulates macrophage function and plays a role in immunosuppression and regulation of anti-tumor immune responses (3-7).

    Alternate Names

    antigen identified by monoclonal antibody MRC OX-2; CD200; CD200 antigen; CD200 molecule; MOX1; MOX2; MRC; MRC OX-2 antigen; OX-2; OX-2 membrane glycoprotein; OX2G

    For Research Use Only. Not for Use in Diagnostic Procedures.
    Cell Signaling Technology is a trademark of Cell Signaling Technology, Inc.
    SignalStain is a registered trademark of Cell Signaling Technology, Inc.
    All other trademarks are the property of their respective owners. Visit our Trademark Information page.