Cell Signaling Technology Logo - Extra Large

CD151 Antibody #17327

Filter:
  • WB

    Product Specifications

    REACTIVITY H
    SENSITIVITY Endogenous
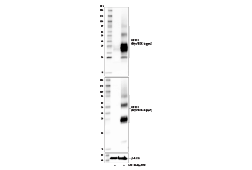
    MW (kDa) 28
    SOURCE Rabbit
    Application Key:
    • WB-Western Blotting 
    Species Cross-Reactivity Key:
    • H-Human 

    Product Information

    Product Usage Information

    Application Dilution
    Western Blotting 1:1000

    Storage

    Supplied in 10 mM sodium HEPES (pH 7.5), 150 mM NaCl, 100 µg/ml BSA and 50% glycerol. Store at –20°C. Do not aliquot the antibody.

    Protocol

    Specificity / Sensitivity

    CD151 Antibody recognizes endogenous levels of total CD151 protein.

    Species Reactivity:

    Human

    Source / Purification

    Polyclonal antibodies are produced by immunizing animals with a synthetic peptide corresponding to residues surrounding Gly138 of human CD151 protein. Antibodies are purified by protein A and peptide affinity chromatography.

    Background

    CD151 (PETA-3, SFA-1) is a member of the evolutionarily conserved tetraspanin family of multipass glycoproteins (TM4SF), highlighted by four transmembrane domains, two extracellular loops, and N/C-termini that reside within the cytoplasm. Identified as the first member of the tetraspanin family to be implicated in tumorigenesis, research studies have demonstrated that CD151 participates in tumor neovascularization (1), tumor cell cell invasion (2), and cell adhesion (3). Furthermore, a positive correlation exists between CD151 expression levels and poor prognosis for tumors of the lung (4), kidney (5), and prostate (6). CD151 is localized predominantly to the plasma membrane and research studies have demonstrated that CD151 exerts its pro-tumorigenic effects, in part, through the modulation of laminin-binding integrins (7-9) and oncogenic receptor tyrosine kinases, such as c-Met (10,11) and EGFR (12).

    Alternate Names

    CD151; CD151 antigen; CD151 antigen (Raph blood group); CD151 molecule (Raph blood group); GP27; hemidesmosomal tetraspanin CD151; Membrane glycoprotein SFA-1; MER2; PETA-3; platelet surface glycoprotein gp27; platelet-endothelial cell tetraspan antigen 3; Platelet-endothelial tetraspan antigen 3; RAPH; SFA1; Tetraspanin-24; Tspan-24; TSPAN24

    For Research Use Only. Not for Use in Diagnostic Procedures.
    Cell Signaling Technology is a trademark of Cell Signaling Technology, Inc.
    All other trademarks are the property of their respective owners. Visit our Trademark Information page.