Cell Signaling Technology Logo - Extra Large
Trial Size Available Flag
Recombinant Flag
Recombinant: Superior lot-to-lot consistency, continuous supply, and animal-free manufacturing.

Cbl-b (D3C12) Rabbit Monoclonal Antibody #9498

Filter:
  • WB

    Product Specifications

    REACTIVITY H M R Mk
    SENSITIVITY Endogenous
    MW (kDa) 125, 130
    Source/Isotype Rabbit IgG
    Application Key:
    • WB-Western Blotting 
    Species Cross-Reactivity Key:
    • H-Human 
    • M-Mouse 
    • R-Rat 
    • Mk-Monkey 

    Product Information

    Product Usage Information

    Application Dilution
    Western Blotting 1:1000
    Simple Western™ 1:10 - 1:50

    Storage

    Supplied in 10 mM sodium HEPES (pH 7.5), 150 mM NaCl, 100 µg/ml BSA, 50% glycerol and less than 0.02% sodium azide. Store at –20°C. Do not aliquot the antibody.

    实验步骤

    Specificity / Sensitivity

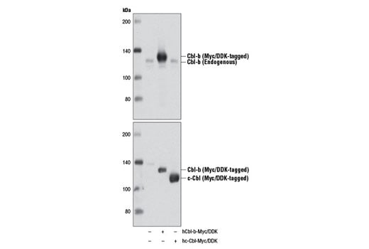
    Cbl-b (D3C12) Rabbit Monoclonal Antibody recognizes endogenous levels of total Cbl-b protein. This antibody does not cross-react with c-Cbl and based upon sequence alignment, is not predicted to cross-react with Cbl-c.

    Species Reactivity:

    Human, Mouse, Rat, Monkey

    The antigen sequence used to produce this antibody shares 100% sequence homology with the species listed here, but reactivity has not been tested or confirmed to work by CST. Use of this product with these species is not covered under our Product Performance Guarantee.

    Species predicted to react based on 100% sequence homology:

    Bovine, Rabbit

    Source / Purification

    Monoclonal antibody is produced by immunizing animals with a synthetic peptide corresponding to residues near the carboxy terminus of human Cbl-b protein.

    Background

    The Casitas B lineage lymphoma (Cbl) proteins (in mammals these are c-Cbl, Cbl-b, and Cbl-c) are a family of single subunit RING finger protein-ubiquitin E3 ligases that contain multiple protein interaction motifs (1). All Cbl proteins have a highly conserved N-terminal tyrosine kinase-binding (TKB) domain that mediates interactions between Cbl proteins and phosphorylated tyrosine residues on Cbl substrates. C-terminal to the RING finger, Cbl proteins have proline-rich domains that mediate interactions with SH3 domain-containing proteins. Phosphorylated tyrosine residues mediate interactions with SH2 domain-containing proteins such as the p85 subunit of PI3K. These protein-protein interaction motifs allow Cbl family proteins to function as adaptor proteins (2). This adaptor function contributes to the E3-dependent activities of Cbl proteins by targeting specific substrates for ubiquitination and degradation. The adaptor function also contributes to non-E3-dependent activities, such as the recruitment of proteins involved in receptor tyrosine kinase internalization, localization of Cbl proteins to specific subcellular compartments, and activation of discrete signaling pathways (1).
    Cbl-b is an E3 ubiquitin ligase with a domain organization nearly identical to that of c-Cbl. The role of Cbl-b in hematopoietic cell physiology is well documented. Cbl-b expression is important for the downregulation of TCR expression during antigen recognition (2). Cbl-b also acts as a potent negative regulator of the CD28 signaling cascade to Vav and Rac1 through its ability to ubiquitinate the p85 regulatory subunit of PI3K (3,4). As a critical regulator of clonal anergy in T lymphocytes, Cbl-b mRNA and protein are upregulated in T cells following calcium mobilization and calcineurin activation (5). Cbl-b-deficient T cells are resistant to anergy induction (5). The molecular events governing this phenotype are thought to be linked to defects in the ubiquitination of PLCγ1 and PKCθ since the degradation of these signaling molecules, which occurs following restimulation of wild-type anergic T cells, fails to occur in Cbl-b-deficient T cells (5).

    Alternate Names

    Cas-Br-M (murine) ecotropic retroviral transforming sequence b; Cas-Br-M (murine) ectropic retroviral transforming sequence b; Casitas B-lineage lymphoma proto-oncogene b; Cbl proto-oncogene B; Cbl proto-oncogene B, E3 ubiquitin protein ligase; Cbl proto-oncogene, E3 ubiquitin protein ligase B; Cbl-b; CBLB; DKFZp686J10223; DKFZp779A0729; DKFZp779F1443; E3 ubiquitin-protein ligase CBL-B; FLJ36865; FLJ41152; Nbla00127; RING finger protein 56; RING-type E3 ubiquitin transferase CBL-B; RNF56; SH3-binding protein CBL-B; Signal transduction protein CBL-B

    For Research Use Only. Not for Use in Diagnostic Procedures.
    Cell Signaling Technology is a trademark of Cell Signaling Technology, Inc.
    All other trademarks are the property of their respective owners. Visit our Trademark Information page.