Cell Signaling Technology Logo - Extra Large
Trial Size Available Flag
Recombinant Flag
Recombinant: Superior lot-to-lot consistency, continuous supply, and animal-free manufacturing.

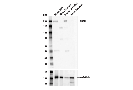
Caspr (D8I3V) Rabbit Monoclonal Antibody #97736

Filter:
  • WB
  • IP
  • IF

    Product Specifications

    REACTIVITY H M R
    SENSITIVITY Endogenous
    MW (kDa) 190
    Source/Isotype Rabbit IgG
    Application Key:
    • WB-Western Blotting 
    • IP-Immunoprecipitation 
    • IF-Immunofluorescence 
    Species Cross-Reactivity Key:
    • H-Human 
    • M-Mouse 
    • R-Rat 

    Product Information

    Product Usage Information

    Application Dilution
    Western Blotting 1:1000
    Immunoprecipitation 1:50
    Immunofluorescence (Frozen) 1:800

    Storage

    Supplied in 10 mM sodium HEPES (pH 7.5), 150 mM NaCl, 100 µg/ml BSA, 50% glycerol and less than 0.02% sodium azide. Store at –20°C. Do not aliquot the antibody.

    For a carrier free (BSA and azide free) version of this product see product #59964.

    实验步骤

    Specificity / Sensitivity

    Caspr (D8I3V) Rabbit Monoclonal Antibody recognizes endogenous levels of total Caspr protein.

    Species Reactivity:

    Human, Mouse, Rat

    Source / Purification

    Monoclonal antibody is produced by immunizing animals with a synthetic peptide corresponding to residues surrounding Pro1375 of human Caspr protein.

    Background

    Contactin-associated protein 1 (Caspr) is a membrane protein that is an essential component of the paranodal junctions in the peripheral and central nervous systems (PNS and CNS, respectively). Caspr is part of the Neurexin family of proteins and is also known as Neurexin IV, Paranodin, and Cntnap1. Caspr forms a complex, via its extracellular domain, with contactin at paranodal junctions of the axon (1, 2). Paranodal junctions are specialized junctions in the axon that are formed between the axolemma and the paranodal loops of myelinating glia. Paranodal structures are critical for salutatory conduction in the PNS and CNS. In the absence of Caspr, Caspr knockout mice exhibit mislocalization of other paranodal junction proteins, including contactin and neurofascin (3). Knockout mice also exhibit reduced nerve conduction velocities, as well as behavior defects consistent with abnormal nerve conduction. Therefore, Caspr is a critical component of a protein complex that is likely central to paranodal junction formation and maintenance.

    Alternate Names

    CASPR; Caspr1; CHN3; CNTNAP; CNTNAP1; CNTP1; contactin associated protein 1; Contactin-associated protein 1; neurexin 4; Neurexin IV; Neurexin-4; NRXN4; p190

    For Research Use Only. Not for Use in Diagnostic Procedures.
    Cell Signaling Technology is a trademark of Cell Signaling Technology, Inc.
    All other trademarks are the property of their respective owners. Visit our Trademark Information page.