Cell Signaling Technology Logo - Extra Large
Trial Size Available Flag
Recombinant Flag
Recombinant: Superior lot-to-lot consistency, continuous supply, and animal-free manufacturing.

Caspase-8 (D35G2) Rabbit Monoclonal Antibody #4790

Filter:
  • WB

    Product Specifications

    REACTIVITY H M R
    SENSITIVITY Endogenous
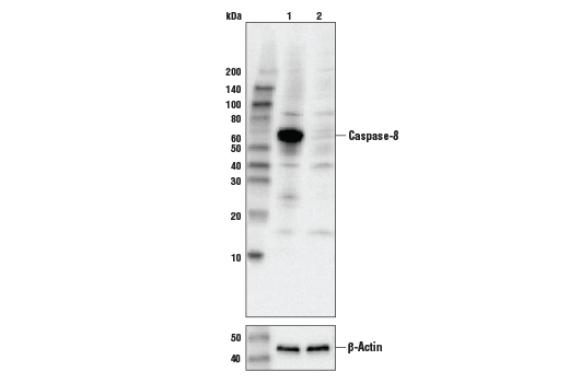
    MW (kDa) 10, 57
    Source/Isotype Rabbit IgG
    Application Key:
    • WB-Western Blotting 
    Species Cross-Reactivity Key:
    • H-Human 
    • M-Mouse 
    • R-Rat 

    Product Information

    Product Usage Information

    Application Dilution
    Western Blotting 1:1000
    Simple Western™ 1:50 - 1:250

    Storage

    Supplied in 10 mM sodium HEPES (pH 7.5), 150 mM NaCl, 100 µg/ml BSA, 50% glycerol and less than 0.02% sodium azide. Store at –20°C. Do not aliquot the antibody.

    实验步骤

    Specificity / Sensitivity

    Caspase-8 (D35G2) Rabbit Monoclonal Antibody detects endogenous levels of total caspase-8, including the p10 subunit of the activated protein. This antibody may also cross-react with overexpressed levels of caspase-10.

    Species Reactivity:

    Human, Mouse, Rat

    The antigen sequence used to produce this antibody shares 100% sequence homology with the species listed here, but reactivity has not been tested or confirmed to work by CST. Use of this product with these species is not covered under our Product Performance Guarantee.

    Species predicted to react based on 100% sequence homology:

    Pig

    Source / Purification

    Monoclonal antibody is produced by immunizing animals with a synthetic peptide corresponding to residues near the carboxyl terminus of human caspase-8 protein.

    Background

    Apoptosis induced through the CD95 receptor (Fas/APO-1) and tumor necrosis factor receptor 1 (TNFR1) activates caspase-8 and leads to the release of the caspase-8 active fragments, p18 and p10 (1-3). Activated caspase-8 cleaves and activates downstream effector caspases such as caspase-1, -3, -6, and -7. Caspase-3 ultimately elicits the morphological hallmarks of apoptosis, including DNA fragmentation and cell shrinkage.

    Alternate Names

    ALPS2B; Apoptotic cysteine protease; Apoptotic protease Mch-5; CAP4; CASP-8; CASP8; caspase 8; caspase 8, apoptosis-related cysteine peptidase; caspase 8, apoptosis-related cysteine protease; Caspase-8; Caspase-8 subunit p10; Caspase-8 subunit p18; caspase8; FADD-homologous ICE/ced-3-like protease; FADD-like ICE; FLICE; FLJ17672; ICE-like apoptotic protease 5; MACH; MACH-alpha-1/2/3 protein; MACH-beta-1/2/3/4 protein; MCH5; MGC78473; MORT1-associated ced-3 homolog

    For Research Use Only. Not for Use in Diagnostic Procedures.
    Cell Signaling Technology is a trademark of Cell Signaling Technology, Inc.
    All other trademarks are the property of their respective owners. Visit our Trademark Information page.