Cell Signaling Technology Logo - Extra Large
Trial Size Available Flag
Recombinant Flag
Recombinant: Superior lot-to-lot consistency, continuous supply, and animal-free manufacturing.

c-Fos (9F6) Rabbit Monoclonal Antibody #2250

Filter:
  • WB
  • IF
  • F
  • ChIP

    Product Specifications

    REACTIVITY H M R
    SENSITIVITY Endogenous
    MW (kDa) 62
    Source/Isotype Rabbit IgG
    Application Key:
    • WB-Western Blotting 
    • IF-Immunofluorescence 
    • F-Flow Cytometry 
    • ChIP-Chromatin Immunoprecipitation 
    Species Cross-Reactivity Key:
    • H-Human 
    • M-Mouse 
    • R-Rat 

    Product Information

    Product Usage Information

    For optimal ChIP results, use 10 μl of antibody and 10 μg of chromatin (approximately 4 x 106 cells) per IP. This antibody has been validated using SimpleChIP® Enzymatic Chromatin IP Kits.
    Application Dilution
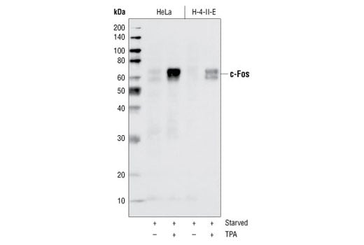
    Western Blotting 1:1000
    Simple Western™ 1:10 - 1:50
    Immunofluorescence (Frozen) 1:1600 - 1:3200
    Immunofluorescence (Immunocytochemistry) 1:3200 - 1:12800
    Flow Cytometry (Fixed/Permeabilized) 1:1600 - 1:6400
    Chromatin IP 1:50

    Storage

    Supplied in 10 mM sodium HEPES (pH 7.5), 150 mM NaCl, 100 µg/ml BSA, 50% glycerol and less than 0.02% sodium azide. Store at –20°C. Do not aliquot the antibody.

    For a carrier free (BSA and azide free) version of this product see product #53345.

    实验步骤

    Specificity / Sensitivity

    c-Fos (9F6) Rabbit Monoclonal Antibody detects endogenous levels of total c-Fos protein. This antibody does not cross-react with other Fos proteins, including FosB, FRA1 and FRA2. This antibody non-specifically stains fixed frozen mouse spleen and liver by immunofluorescence.

    Species Reactivity:

    Human, Mouse, Rat

    The antigen sequence used to produce this antibody shares 100% sequence homology with the species listed here, but reactivity has not been tested or confirmed to work by CST. Use of this product with these species is not covered under our Product Performance Guarantee.

    Species predicted to react based on 100% sequence homology:

    Hamster, Bovine, Pig

    Source / Purification

    Monoclonal antibody is produced by immunizing animals with a synthetic peptide corresponding to residues near the amino terminus of human c-Fos protein.

    Background

    The Fos family of nuclear oncogenes includes c-Fos, FosB, Fos-related antigen 1 (FRA1), and Fos-related antigen 2 (FRA2) (1). While most Fos proteins exist as a single isoform, the FosB protein exists as two isoforms: full-length FosB and a shorter form, FosB2 (Delta FosB), which lacks the carboxy-terminal 101 amino acids (1-3). The expression of Fos proteins is rapidly and transiently induced by a variety of extracellular stimuli, including growth factors, cytokines, neurotransmitters, polypeptide hormones, and stress. Fos proteins dimerize with Jun proteins (c-Jun, JunB, and JunD) to form Activator Protein-1 (AP-1), a transcription factor that binds to TRE/AP-1 elements and activates transcription. Fos and Jun proteins contain the leucine-zipper motif that mediates dimerization and an adjacent basic domain that binds to DNA. The various Fos/Jun heterodimers differ in their ability to transactivate AP-1 dependent genes. In addition to increased expression, phosphorylation of Fos proteins by Erk kinases in response to extracellular stimuli may further increase transcriptional activity (4-6). Phosphorylation of c-Fos at Ser32 and Thr232 by Erk5 increases protein stability and nuclear localization (5). Phosphorylation of FRA1 at Ser252 and Ser265 by Erk1/2 increases protein stability and leads to overexpression of FRA1 in cancer cells (6). Following growth factor stimulation, expression of FosB and c-Fos in quiescent fibroblasts is immediate, but very short-lived, with protein levels dissipating after several hours (7). FRA1 and FRA2 expression persists longer, and appreciable levels can be detected in asynchronously growing cells (8). Deregulated expression of c-Fos, FosB, or FRA2 can result in neoplastic cellular transformation; however, Delta FosB lacks the ability to transform cells (2,3).

    Alternate Names

    activator protein 1; AP-1; C-FOS; cellular oncogene c-fos; Cellular oncogene fos; cfos; FBJ murine osteosarcoma viral (v-fos) oncogene homolog (oncogene FOS); FBJ murine osteosarcoma viral oncogene homolog; FOS; Fos proto-oncogene, AP-1 trancription factor subunit; Fos proto-oncogene, AP-1 transcription factor subunit; G0/G1 switch regulatory protein 7; G0S7; p55; Protein c-Fos; Proto-oncogene c-Fos; v-fos FBJ murine osteosarcoma viral oncogene homolog

    For Research Use Only. Not for Use in Diagnostic Procedures.
    Cell Signaling Technology is a trademark of Cell Signaling Technology, Inc.
    Alexa Fluor is a registered trademark of Life Technologies Corporation.
    All other trademarks are the property of their respective owners. Visit our Trademark Information page.