Cell Signaling Technology Logo - Extra Large
Trial Size Available Flag
Recombinant Flag
Recombinant: Superior lot-to-lot consistency, continuous supply, and animal-free manufacturing.

BIN1 (E4A1P) Rabbit Monoclonal Antibody #51844

Filter:
  • WB
  • IP

    Product Specifications

    REACTIVITY H M
    SENSITIVITY Endogenous
    MW (kDa) 45-80
    Source/Isotype Rabbit IgG
    Application Key:
    • WB-Western Blotting 
    • IP-Immunoprecipitation 
    Species Cross-Reactivity Key:
    • H-Human 
    • M-Mouse 

    Product Information

    Product Usage Information

    Application Dilution
    Western Blotting 1:1000
    Immunoprecipitation 1:50

    Storage

    Supplied in 10 mM sodium HEPES (pH 7.5), 150 mM NaCl, 100 µg/ml BSA, 50% glycerol and less than 0.02% sodium azide. Store at –20°C. Do not aliquot the antibody.

    实验步骤

    Specificity / Sensitivity

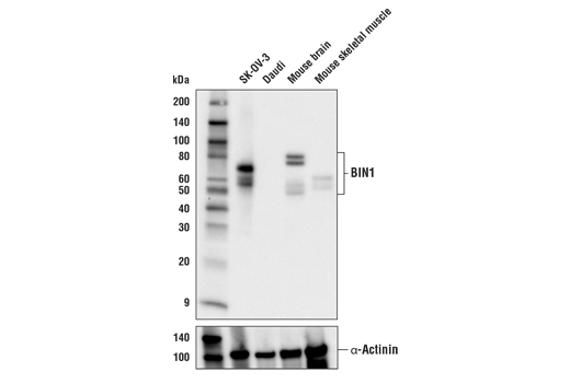
    BIN1 (E4A1P) Rabbit Monoclonal Antibody recognizes endogenous levels of total BIN1 protein. This antibody recognizes multiple BIN1 isoforms.

    Species Reactivity:

    Human, Mouse

    Source / Purification

    Monoclonal antibody is produced by immunizing animals with a synthetic peptide corresponding to residues surrounding Val266 of human BIN1 protein.

    Background

    Bridging integrator 1 (BIN1, AMPHL) is an adaptor protein and putative tumor suppressor expressed as multiple isoforms due to alternative splicing. The BIN1 protein was originally identified as a Myc box-interacting protein with structural similarity to the synaptic vesicle protein amphiphysin (1). BIN1 protein structure contains an amino-terminal amphipathic helix and a BAR domain that is involved in sensing membrane curvature. The protein also includes a Myc-binding domain and an SH3 domain, which are implicated in protein-protein interactions (1). Multiple BIN1 isoforms range in size from approximately 45 to 65 kDa, with the nuclear BIN1 isoform found mostly in skeletal muscle and the cytoplasmic IIA isoform expressed in axon initial segments and nodes of Ranvier of the brain (2,3). Corresponding BIN1 gene mutations and incorrect splicing can lead to impaired BIN1 membrane-tabulating and protein binding activities, resulting in development of autosomal recessive centronuclear myopathy and myotonic dystrophy (4,5). Genome-wide association studies link the BIN1 gene with late onset Alzheimer disease (AD) and increased BIN1 mRNA expression is seen in AD brains (6,7).

    Alternate Names

    AMPH2; Amphiphysin II; Amphiphysin-like protein; AMPHL; BIN1; box dependant MYC interacting protein 1; Box-dependent myc-interacting protein 1; Bridging integrator 1; CNM2; DKFZp547F068; MGC10367; Myc box-dependent-interacting protein 1; SH3P9

    For Research Use Only. Not for Use in Diagnostic Procedures.
    Cell Signaling Technology is a trademark of Cell Signaling Technology, Inc.
    All other trademarks are the property of their respective owners. Visit our Trademark Information page.