Cell Signaling Technology Logo - Extra Large
Trial Size Available Flag
Recombinant Flag
Recombinant: Superior lot-to-lot consistency, continuous supply, and animal-free manufacturing.

beta-Galactosidase (E2U2I) Rabbit Monoclonal Antibody #27198

Filter:
  • WB
  • IF

    Product Specifications

    REACTIVITY H M R Hm Mk
    SENSITIVITY Endogenous
    MW (kDa) 65
    Source/Isotype Rabbit IgG
    Application Key:
    • WB-Western Blotting 
    • IF-Immunofluorescence 
    Species Cross-Reactivity Key:
    • H-Human 
    • M-Mouse 
    • R-Rat 
    • Hm-Hamster 
    • Mk-Monkey 

    Product Information

    Product Usage Information

    Application Dilution
    Western Blotting 1:1000
    Immunofluorescence (Immunocytochemistry) 1:400

    Storage

    Supplied in 10 mM sodium HEPES (pH 7.5), 150 mM NaCl, 100 µg/ml BSA, 50% glycerol and less than 0.02% sodium azide. Store at –20°C. Do not aliquot the antibody.

    实验步骤

    Specificity / Sensitivity

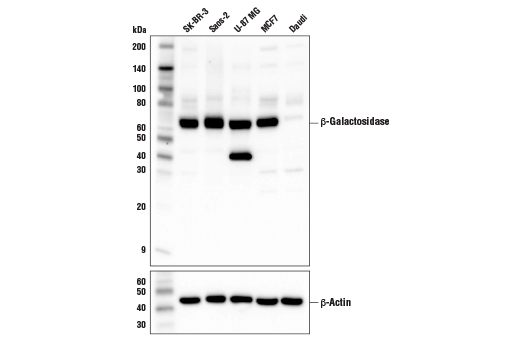
    beta-Galactosidase (E2U2I) Rabbit Monoclonal Antibody recognizes endogenous levels of total β-galactosidase protein. This antibody cross-reacts with a 40 kDa protein of unknown identity in some cell extracts.

    Species Reactivity:

    Human, Mouse, Rat, Hamster, Monkey

    Source / Purification

    Monoclonal antibody is produced by immunizing animals with a synthetic peptide corresponding to residues surrounding Asp39 of human β-galactosidase protein.

    Background

    β-galactosidase (also known as β-gal) is an essential hydrolase enzyme that catalyzes the hydrolysis of galactose-containing carbohydrates into monosaccharides. Substrates of β-galactosides include lactose, various glycoproteins, ganglioside GM1, and lactosylceramides. β-galactosidase is used widely in molecular biology; for example, isolation of recombinant bacteria during molecular cloning utilizes α-complementation of the bacterial β-galactosidase gene (lacZ) in the presence of a β-gal substrate to identify recombinant clones (1). In cell biology, Senescence-Associated beta-galactosidase (SA-β-gal), defined as β-gal activity at pH 6.0, is a widely used marker of replicative senescence. While initially thought to derive from a unique isoform of β-galactosidase expressed specifically in senescent cells (2), SA-β-gal activity was subsequently shown to result from overexpression and accumulation of β-galactosidase in endogenous lysosomes, and is not specifically required for replicative senescence (3).

    Alternate Names

    Acid beta-galactosidase; Beta-galactosidase; BGAL; EBP; elastin binding protein; Elastin receptor 1; elastin receptor 1, 67kDa; ELNR1; galactosidase beta 1; galactosidase, beta 1; GLB1; Lactase; MPS4B

    For Research Use Only. Not for Use in Diagnostic Procedures.
    Cell Signaling Technology is a trademark of Cell Signaling Technology, Inc.
    All other trademarks are the property of their respective owners. Visit our Trademark Information page.