Render Target: STATIC
Render Timestamp:
5/21/2026, 9:21:28 PM EDT
5/22/2026, 1:21:28 AM UTC
Commit: 7ed46ecc04b401f23a28df741b5078df405d23e4
XML generation date: 2025-11-12 16:14:40.283
Product last modified at: 2026-03-20T08:04:00.859Z
Cell Signaling Technology Logo - Extra Large
1% for the planet logo
PDP - Template Name: Monoclonal Antibody
PDP - Template ID: *******c5e4b77
Recombinant Flag
Recombinant: Superior lot-to-lot consistency, continuous supply, and animal-free manufacturing.

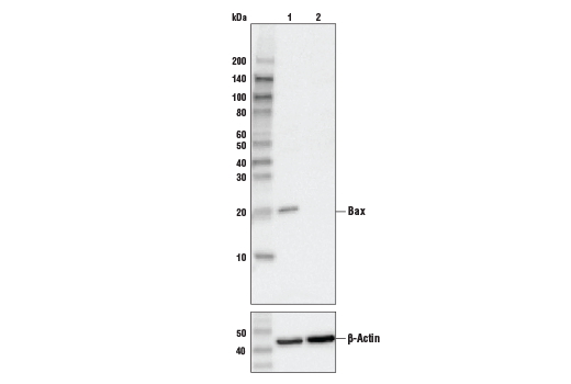
Bax (D2E11) Rabbit Monoclonal Antibody (BSA and Azide Free) #42977

Filter:
  • WB
  • IHC

    Product Specifications

    REACTIVITY H
    SENSITIVITY Endogenous
    MW (kDa) 20
    Source/Isotype Rabbit IgG
    Application Key:
    • WB-Western Blotting 
    • IHC-Immunohistochemistry 
    Species Cross-Reactivity Key:
    • H-Human 

    Product Information

    Product Usage Information

    This product is the carrier free version of product #5023. All data were generated using the same antibody clone in the standard formulation which contains BSA and glycerol.

    This formulation is ideal for use with technologies requiring specialized or custom antibody labeling, including fluorophores, metals, lanthanides, and oligonucleotides. It is not recommended for ChIP, ChIP-seq, CUT&RUN or CUT&Tag assays. If you require a carrier free formulation for chromatin profiling, please contact us. Optimal dilutions/concentrations should be determined by the end user.

    BSA and Azide Free antibodies are quality control tested by size exclusion chromatography (SEC) to determine antibody integrity.

    Formulation

    Supplied in 1X PBS (10 mM Na2HPO4, 3 mM KCl, 2 mM KH2PO4, and 140 mM NaCl (pH 7.8)). BSA and Azide Free.

    For standard formulation of this product see product #5023

    Storage

    Store at -20°C. This product will freeze at -20°C so it is recommended to aliquot into single-use vials to avoid multiple freeze/thaw cycles. A slight precipitate may be present and can be dissolved by gently vortexing. This will not interfere with antibody performance.

    Specificity / Sensitivity

    Bax (D2E11) Rabbit Monoclonal Antibody (BSA and Azide Free) detects endogenous levels of total Bax protein.

    Species Reactivity:

    Human

    Source / Purification

    Monoclonal antibody is produced by immunizing animals with a synthetic peptide corresponding to residues surrounding Leu45 of human Bax protein.

    Background

    The Bcl-2 family consists of a number of evolutionarily conserved proteins containing Bcl-2 homology domains (BH) that regulate apoptosis through control of mitochondrial membrane permeability and release of cytochrome c (1-3). Four BH domains have been identified (BH1-4) that mediate protein interactions. The family can be separated into three groups based upon function and sequence homology: pro-survival members include Bcl-2, Bcl-xL, Mcl-1, A1 and Bcl-w; pro-apoptotic proteins include Bax, Bak and Bok; and "BH3 only" proteins Bad, Bik, Bid, Puma, Bim, Bmf, Noxa and Hrk. Interactions between death-promoting and death-suppressing Bcl-2 family members has led to a rheostat model in which the ratio of pro-apoptotic and anti-apoptotic proteins controls cell fate (4). Thus, pro-survival members exert their behavior by binding to and antagonizing death-promoting members. In general, the "BH3-only members" can bind to and antagonize the pro-survival proteins leading to increased apoptosis (5). While some redundancy of this system likely exists, tissue specificity, transcriptional and post-translational regulation of many of these family members can account for distinct physiological roles.
    Bax is a key component for cellular induced apoptosis through mitochondrial stress (6). Upon apoptotic stimulation, Bax forms oligomers and translocates from the cytosol to the mitochondrial membrane (7). Through interactions with pore proteins on the mitochondrial membrane, Bax increases the membrane's permeability, which leads to the release of cytochrome c from mitochondria, activation of caspase-9 and initiation of the caspase activation pathway for apoptosis (8,9).

    Alternate Names

    Apoptosis regulator BAX; BAX; Baxdelta2G9; Baxdelta2G9omega; Baxdelta2omega; Bcl-2-like protein 4; BCL2 associated X protein; BCL2 associated X, apoptosis regulator; BCL2-associated X protein; BCL2-associated X protein omega; Bcl2-L-4; BCL2L4

    For Research Use Only. Not for Use in Diagnostic Procedures.
    Cell Signaling Technology is a trademark of Cell Signaling Technology, Inc.
    All other trademarks are the property of their respective owners. Visit our Trademark Information page.