Render Target: STATIC
Render Timestamp:
5/19/2026, 8:33:26 PM EDT
5/20/2026, 12:33:26 AM UTC
Commit: 7ed46ecc04b401f23a28df741b5078df405d23e4
XML generation date: 2025-11-12 16:10:29.686
Product last modified at: 2026-03-20T08:04:01.407Z
Cell Signaling Technology Logo - Extra Large
1% for the planet logo
PDP - Template Name: Monoclonal Antibody
PDP - Template ID: *******c5e4b77
Trial Size Available Flag
Recombinant Flag
Recombinant: Superior lot-to-lot consistency, continuous supply, and animal-free manufacturing.

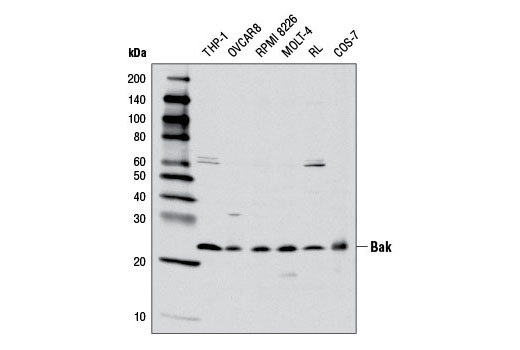
Bak (D2D3) Rabbit Monoclonal Antibody #6947

Filter:
  • WB
  • IP

    Product Specifications

    REACTIVITY H Mk
    SENSITIVITY Endogenous
    MW (kDa) 25
    Source/Isotype Rabbit IgG
    Application Key:
    • WB-Western Blotting 
    • IP-Immunoprecipitation 
    Species Cross-Reactivity Key:
    • H-Human 
    • Mk-Monkey 

    Product Information

    Product Usage Information

    Application Dilution
    Western Blotting 1:1000
    Immunoprecipitation 1:100

    Storage

    Supplied in 10 mM sodium HEPES (pH 7.5), 150 mM NaCl, 100 µg/ml BSA, 50% glycerol and less than 0.02% sodium azide. Store at –20°C. Do not aliquot the antibody.

    实验步骤

    Specificity / Sensitivity

    Bak (D2D3) Rabbit Monoclonal Antibody recognizes endogenous levels of total Bak protein.

    Species Reactivity:

    Human, Monkey

    Source / Purification

    Monoclonal antibody is produced by immunizing animals with a synthetic peptide corresponding to residues surrounding Gly82 of human Bak protein.

    Background

    Bak is a proapoptotic member of the Bcl-2 family (1). This protein is located on the outer membrane of mitochondria and is an essential component for transduction of apoptotic signals through the mitochondrial pathway (2,3). Upon apoptotic stimulation, an upstream stimulator like truncated BID (tBID) induces conformational changes in Bak to form oligomer channels in the mitochondrial membrane for cytochrome c release. The release of cytochrome c to the cytosol activates the caspase-9 pathway and eventually leads to cell death (4,5).

    Alternate Names

    Apoptosis regulator BAK; BAK; BAK-LIKE; BAK1; Bcl-2 homologous antagonist/killer; Bcl-2-like protein 7; BCL2 antagonist/killer 1; BCL2-antagonist/killer 1; Bcl2-L-7; BCL2-like 7 protein; BCL2L7; CDN1; MGC117255; MGC3887; pro-apoptotic protein BAK

    For Research Use Only. Not for Use in Diagnostic Procedures.
    Cell Signaling Technology is a trademark of Cell Signaling Technology, Inc.
    All other trademarks are the property of their respective owners. Visit our Trademark Information page.