Cell Signaling Technology Logo - Extra Large
Trial Size Available Flag
Recombinant Flag
Recombinant: Superior lot-to-lot consistency, continuous supply, and animal-free manufacturing.

b-Myb (F9W2M) Rabbit Monoclonal Antibody #33056

Filter:
  • WB
  • IP
  • ChIP

    Product Specifications

    REACTIVITY H M R Mk
    SENSITIVITY Endogenous
    MW (kDa) 90
    Source/Isotype Rabbit IgG
    Application Key:
    • WB-Western Blotting 
    • IP-Immunoprecipitation 
    • ChIP-Chromatin Immunoprecipitation 
    Species Cross-Reactivity Key:
    • H-Human 
    • M-Mouse 
    • R-Rat 
    • Mk-Monkey 

    Product Information

    Product Usage Information

    For optimal ChIP results, use 10 μL of antibody and 10 μg of chromatin (approximately 4 × 106 cells) per IP. This antibody has been validated using SimpleChIP® Enzymatic Chromatin IP Kits.
    Application Dilution
    Western Blotting 1:1000
    Simple Western™ 1:50 - 1:250
    Immunoprecipitation 1:100
    Chromatin IP 1:50

    Storage

    Supplied in 10 mM sodium HEPES (pH 7.5), 150 mM NaCl, 100 µg/mL BSA, 50% glycerol, and less than 0.02% sodium azide. Store at –20°C. Do not aliquot the antibody.

    实验步骤

    Specificity / Sensitivity

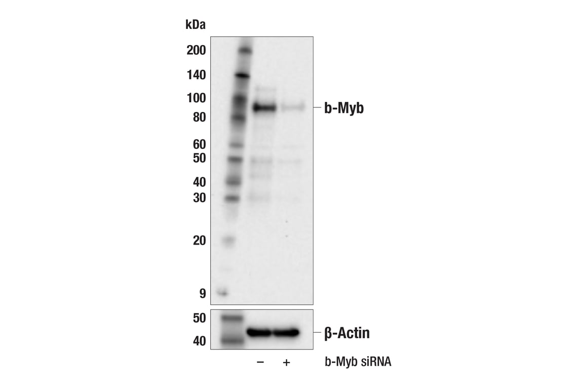
    b-Myb (F9W2M) Rabbit Monoclonal Antibody recognizes endogenous levels of total b-Myb protein. This antibody may detect a nonspecific band at 60 kDa.

    Species Reactivity:

    Human, Mouse, Rat, Monkey

    Source / Purification

    Monoclonal antibody is produced by immunizing animals with recombinant protein specific to the carboxy terminus of human b-Myb protein.

    Background

    b-Myb, also known as MYBL2, is a member of the MYB transcription factor family and plays key regulatory roles in cell cycle, proliferation, and differentiation. b-Myb is essentially expressed in all proliferating cells, and b-Myb knockout mice are embryonically lethal (1,2). Importantly, b-Myb is overexpressed and reported to play a critical role in driving several cancers, including breast cancer, hepatocellular carcinoma, renal cell carcinoma, and non-small cell lung cancer (3-7).

    Alternate Names

    B-Myb; BMYB; MGC15600; MYB proto-oncogene like 2; Myb-like protein 2; Myb-related protein B; MYBB; MYBL2; v-myb avian myeloblastosis viral oncogene homolog-like 2; v-myb myeloblastosis viral oncogene homolog (avian)-like 2; v-myb myeloblastosis viral oncogene homolog-like 2

    For Research Use Only. Not for Use in Diagnostic Procedures.
    Cell Signaling Technology is a trademark of Cell Signaling Technology, Inc.
    All other trademarks are the property of their respective owners. Visit our Trademark Information page.