Cell Signaling Technology Logo - Extra Large
Trial Size Available Flag

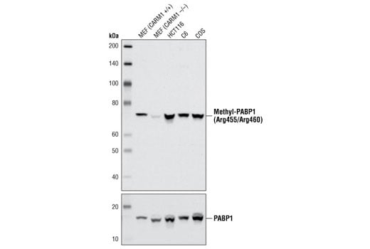
Asymmetric-Methyl-PABP1 (Arg455/Arg460) (C60A10) Rabbit Monoclonal Antibody #3505

Filter:
  • WB
  • IP
  • IHC
  • IF
  • eCLIP

    Product Specifications

    REACTIVITY H M R Mk
    SENSITIVITY Endogenous
    MW (kDa) 71
    Source/Isotype Rabbit IgG
    Application Key:
    • WB-Western Blotting 
    • IP-Immunoprecipitation 
    • IHC-Immunohistochemistry 
    • IF-Immunofluorescence 
    • eCLIP-eCLIP 
    Species Cross-Reactivity Key:
    • H-Human 
    • M-Mouse 
    • R-Rat 
    • Mk-Monkey 

    Product Information

    Product Usage Information

    Application Dilution
    Western Blotting 1:1000
    Immunoprecipitation 1:25
    Immunohistochemistry (Paraffin) 1:1000
    Immunofluorescence (Immunocytochemistry) 1:400
    eCLIP 1:200
    For more information about the RBP-eCLIP service please visit Eclipsebio.

    Storage

    Supplied in 10 mM sodium HEPES (pH 7.5), 150 mM NaCl, 100 µg/ml BSA, 50% glycerol and less than 0.02% sodium azide. Store at –20°C. Do not aliquot the antibody.

    For a carrier free (BSA and azide free) version of this product see product #19351.

    Protocol

    Specificity / Sensitivity

    Asymmetric-Methyl-PABP1 (Arg455/Arg460) (C60A10) Rabbit Monoclonal Antibody detects endogenous levels of PABP1 only when methylated on Arg455 or Arg460.

    Species Reactivity:

    Human, Mouse, Rat, Monkey

    The antigen sequence used to produce this antibody shares 100% sequence homology with the species listed here, but reactivity has not been tested or confirmed to work by CST. Use of this product with these species is not covered under our Product Performance Guarantee.

    Species predicted to react based on 100% sequence homology:

    Chicken, Horse

    Source / Purification

    Monoclonal antibody is produced by immunizing animals with a synthetic peptide corresponding to the sequence of human PABP1 in which Arg455 and Arg460 are methylated.

    Background

    Poly(A)-binding protein 1 (PABP1) associates with the 3' poly(A) tail of mRNA and also eIF4F (1,2). eIF4F is a complex whose functions include the recognition of the mRNA 5' cap structure (eIF4E), delivery of an RNA helicase to the 5' region (eIF4A), bridging of the mRNA and the ribosome (eIF4G), and circularization of the mRNA via interaction between eIF4G and the poly(A) binding protein (PABP). PABP1 has been shown to have multiple functions, including translation initiation, mRNA stabilization, and mRNA turnover (3,4). Phosphorylation of PABP has been shown to enhance RNA binding in eukaryotes, and PABP1 has been shown to shuttle between the nucleus and cytoplasm (5,6). PABP1 is methylated on Arg455 and Arg460 by the CARM1 protein methyltransferase (7,8); however, the function of this methylation has yet to be determined.

    Alternate Names

    PAB1; PABP; PABP 1; PABP-1; PABP1; PABPC1; PABPC2; PABPL1; poly(A) binding protein cytoplasmic 1; poly(A) binding protein, cytoplasmic 1; poly(A) binding protein, cytoplasmic 2; Poly(A)-binding protein 1; Polyadenylate-binding protein 1

    For Research Use Only. Not for Use in Diagnostic Procedures.
    Cell Signaling Technology is a trademark of Cell Signaling Technology, Inc.
    U.S. Patent No. 7,429,487, foreign equivalents, and child patents deriving therefrom.
    All other trademarks are the property of their respective owners. Visit our Trademark Information page.