Render Target: STATIC
Render Timestamp:
5/21/2026, 7:48:37 PM EDT
5/21/2026, 11:48:37 PM UTC
Commit: 7ed46ecc04b401f23a28df741b5078df405d23e4
XML generation date: 2026-03-06 18:20:31.268
Product last modified at: 2026-03-20T08:05:02.726Z
Cell Signaling Technology Logo - Extra Large
1% for the planet logo
PDP - Template Name: Monoclonal Antibody
PDP - Template ID: *******c5e4b77

Asymmetric-Methyl-PABP1 (Arg455/Arg460) (C60A10) Rabbit Monoclonal Antibody (BSA and Azide Free) #19351

Filter:
  • WB
  • IHC
  • IF

    Product Specifications

    REACTIVITY H M R Mk
    SENSITIVITY Endogenous
    MW (kDa) 71
    Source/Isotype Rabbit IgG
    Application Key:
    • WB-Western Blotting 
    • IHC-Immunohistochemistry 
    • IF-Immunofluorescence 
    Species Cross-Reactivity Key:
    • H-Human 
    • M-Mouse 
    • R-Rat 
    • Mk-Monkey 

    Product Information

    Product Usage Information

    This product is the carrier free version of product #3505. All data were generated using the same antibody clone in the standard formulation which contains BSA and glycerol.

    This formulation is ideal for use with technologies requiring specialized or custom antibody labeling, including fluorophores, metals, lanthanides, and oligonucleotides. It is not recommended for ChIP, ChIP-seq, CUT&RUN or CUT&Tag assays. If you require a carrier free formulation for chromatin profiling, please contact us. Optimal dilutions/concentrations should be determined by the end user.

    BSA and Azide Free antibodies are quality control tested by size exclusion chromatography (SEC) to determine antibody integrity.

    Formulation

    Supplied in 1X PBS (10 mM Na2HPO4, 3 mM KCl, 2 mM KH2PO4, and 140 mM NaCl (pH 7.8)). BSA and Azide Free.

    For standard formulation of this product see product #3505

    Storage

    Store at -20°C. This product will freeze at -20°C so it is recommended to aliquot into single-use vials to avoid multiple freeze/thaw cycles. A slight precipitate may be present and can be dissolved by gently vortexing. This will not interfere with antibody performance.

    Specificity / Sensitivity

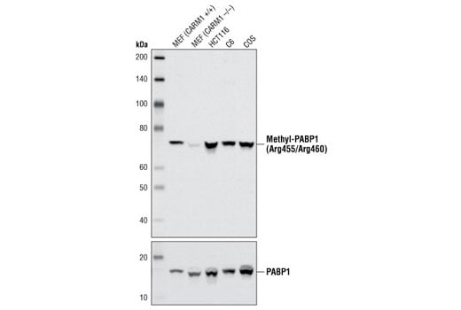
    Asymmetric-Methyl-PABP1 (Arg455/Arg460) (C60A10) Rabbit Monoclonal Antibody (BSA and Azide Free) detects endogenous levels of PABP1 only when methylated on Arg455 or Arg460.

    Species Reactivity:

    Human, Mouse, Rat, Monkey

    The antigen sequence used to produce this antibody shares 100% sequence homology with the species listed here, but reactivity has not been tested or confirmed to work by CST. Use of this product with these species is not covered under our Product Performance Guarantee.

    Species predicted to react based on 100% sequence homology:

    Chicken, Horse, Feline

    Source / Purification

    Monoclonal antibody is produced by immunizing animals with a synthetic peptide corresponding to the sequence of human PABP1 in which Arg455 and Arg460 are methylated.

    Background

    Poly(A)-binding protein 1 (PABP1) associates with the 3' poly(A) tail of mRNA and also eIF4F (1,2). eIF4F is a complex whose functions include the recognition of the mRNA 5' cap structure (eIF4E), delivery of an RNA helicase to the 5' region (eIF4A), bridging of the mRNA and the ribosome (eIF4G), and circularization of the mRNA via interaction between eIF4G and the poly(A) binding protein (PABP). PABP1 has been shown to have multiple functions, including translation initiation, mRNA stabilization, and mRNA turnover (3,4). Phosphorylation of PABP has been shown to enhance RNA binding in eukaryotes, and PABP1 has been shown to shuttle between the nucleus and cytoplasm (5,6). PABP1 is methylated on Arg455 and Arg460 by the CARM1 protein methyltransferase (7,8); however, the function of this methylation has yet to be determined.

    Alternate Names

    PAB1; PABP; PABP 1; PABP-1; PABP1; PABPC1; PABPC2; PABPL1; poly(A) binding protein cytoplasmic 1; poly(A) binding protein, cytoplasmic 1; poly(A) binding protein, cytoplasmic 2; Poly(A)-binding protein 1; Polyadenylate-binding protein 1

    For Research Use Only. Not for Use in Diagnostic Procedures.
    Cell Signaling Technology is a trademark of Cell Signaling Technology, Inc.
    U.S. Patent No. 7,429,487, foreign equivalents, and child patents deriving therefrom.
    All other trademarks are the property of their respective owners. Visit our Trademark Information page.