Render Target: STATIC
Render Timestamp:
5/28/2026, 7:52:32 PM EDT
5/28/2026, 11:52:32 PM UTC
Commit: 7ed46ecc04b401f23a28df741b5078df405d23e4
XML generation date: 2025-11-12 16:15:28.105
Product last modified at: 2026-03-20T08:02:49.325Z
Cell Signaling Technology Logo - Extra Large
1% for the planet logo
PDP - Template Name: Monoclonal Antibody
PDP - Template ID: *******c5e4b77
Trial Size Available Flag
Recombinant Flag
Recombinant: Superior lot-to-lot consistency, continuous supply, and animal-free manufacturing.

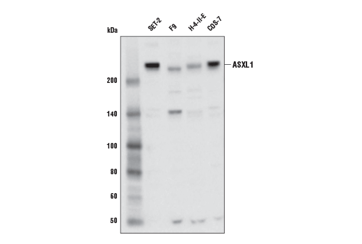
ASXL1 (D1B6V) Rabbit Monoclonal Antibody #52519

Filter:
  • WB

    Product Specifications

    REACTIVITY H M R Mk
    SENSITIVITY Endogenous
    MW (kDa) 250
    Source/Isotype Rabbit IgG
    Application Key:
    • WB-Western Blotting 
    Species Cross-Reactivity Key:
    • H-Human 
    • M-Mouse 
    • R-Rat 
    • Mk-Monkey 

    Product Information

    Product Usage Information

    Application Dilution
    Western Blotting 1:1000

    Storage

    Supplied in 10 mM sodium HEPES (pH 7.5), 150 mM NaCl, 100 µg/ml BSA, 50% glycerol and less than 0.02% sodium azide. Store at –20°C. Do not aliquot the antibody.

    实验步骤

    Specificity / Sensitivity

    ASXL1 (D1B6V) Rabbit Monoclonal Antibody recognizes endogenous levels of total ASXL1 protein.

    Species Reactivity:

    Human, Mouse, Rat, Monkey

    Source / Purification

    Monoclonal antibody is produced by immunizing animals with a synthetic peptide corresponding to residues surrounding Pro1330 of human ASXL1 protein.

    Background

    Additional sex combs-like protein 1 (ASXL1) is a polycomb-associated protein that interacts with polycomb repressive complex 2 (PRC2), which contains the histone methyltransferase EZH2 and functions to mono-, di-, and tri-methylate histone H3 on lysine 27. These histone marks are associated with transcriptional repression (1). In addition, ASXL1 interacts with BRCA1-associated protein 1 (BAP1), the catalytic subunit of the polycomb repressive deubiquitinase complex (PR-DUB), which functions to de-ubiquitinate histone H2A at lysine 119 and activate transcription (2). ASXL1 functions as a transcriptional regulator of adipogenesis, acting to repress peroxisome proliferator-activated receptor gamma (PPARG) adipocyte differentiation. ASXL1 also functions as a transcriptional regulator of hematopoiesis acting as an activator of retinoic acid receptor (RAR) mediated transcriptional activation (3,4). ASXL1 is mutated or deleted in 10 to 30 percent of all myeloid malignancies, with loss-of-function mutations associated with poor prognosis in myelodysplastic syndrome (MDS) and acute myeloid leukemia (AML). Hematopoietic-specific deletions of ASXL1 in mice result in progressive, multi-lineage cytopenias and dysplasias, leading to increased number of hematopoietic stem and progenitor cells (5).

    Alternate Names

    additional sex combs like 1 (Drosophila); additional sex combs like 1, transcriptional regulator; additional sex combs like transcriptional regulator 1; Additional sex combs-like protein 1; ASXL transcriptional regulator 1; ASXL1; BOPS; KIAA0978; MDS; MGC117280; MGC71111; Polycomb group protein ASXL1; Putative Polycomb group protein ASXL1

    For Research Use Only. Not for Use in Diagnostic Procedures.
    Cell Signaling Technology is a trademark of Cell Signaling Technology, Inc.
    All other trademarks are the property of their respective owners. Visit our Trademark Information page.