Cell Signaling Technology Logo - Extra Large
Trial Size Available Flag
Recombinant Flag
Recombinant: Superior lot-to-lot consistency, continuous supply, and animal-free manufacturing.

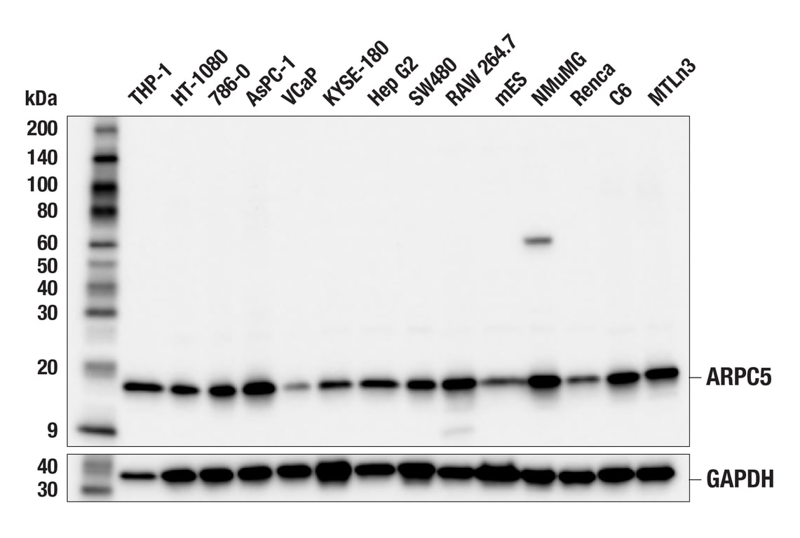
ARPC5 (F5F6V) Rabbit Monoclonal Antibody #48913

Filter:
  • WB

    Product Specifications

    REACTIVITY H M R
    SENSITIVITY Endogenous
    MW (kDa) 16
    Source/Isotype Rabbit IgG
    Application Key:
    • WB-Western Blotting 
    Species Cross-Reactivity Key:
    • H-Human 
    • M-Mouse 
    • R-Rat 

    Product Information

    Product Usage Information

    Application Dilution
    Western Blotting 1:1000
    Simple Western™ 1:10 - 1:50

    Storage

    Supplied in 10 mM sodium HEPES (pH 7.5), 150 mM NaCl, 100 µg/mL BSA, 50% glycerol, and less than 0.02% sodium azide. Store at –20°C. Do not aliquot the antibody.

    实验步骤

    Specificity / Sensitivity

    ARPC5 (F5F6V) Rabbit Monoclonal Antibody recognizes endogenous levels of total ARPC5 protein. This antibody cross-reacts with ARPC5L protein.

    Species Reactivity:

    Human, Mouse, Rat

    Source / Purification

    Monoclonal antibody is produced by immunizing animals with recombinant protein specific to full-length human ARPC5 protein.

    Background

    Actin-related protein 2/3 complex subunit 5 (ARPC5) is a component of the ARP2/3 actin nucleation complex, which regulates actin dynamics and cellular processes such as cell migration, division, endocytosis, and vesicle trafficking (1). The ARP2/3 complex has also been shown to promote repair of DNA double-strand breaks through homologous recombination (2). ARPC5 expression is increased and associated with poor prognosis in several human cancers, including hepatocellular carcinoma, prostate cancer, gliomas, and multiple myeloma (3-6).

    Alternate Names

    actin related protein 2/3 complex subunit 5; actin related protein 2/3 complex, subunit 5, 16kDa; Actin-related protein 2/3 complex subunit 5; ARC16; Arp2/3 complex 16 kDa subunit; Arp2/3 protein complex subunit p16; ARPC5; dJ127C7.3; MGC88523; p16-ARC

    For Research Use Only. Not for Use in Diagnostic Procedures.
    Cell Signaling Technology is a trademark of Cell Signaling Technology, Inc.
    All other trademarks are the property of their respective owners. Visit our Trademark Information page.