Render Target: STATIC
Render Timestamp:
5/27/2026, 8:44:48 PM EDT
5/28/2026, 12:44:48 AM UTC
Commit: 7ed46ecc04b401f23a28df741b5078df405d23e4
XML generation date: 2025-11-13 17:59:05.444
Product last modified at: 2026-03-20T08:00:43.272Z
Cell Signaling Technology Logo - Extra Large
1% for the planet logo
PDP - Template Name: Polyclonal Antibody
PDP - Template ID: *******59c6464

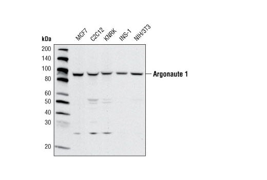
Argonaute 1 Antibody #9388

Filter:
  • WB
  • IP

    Product Specifications

    REACTIVITY H M R Mk
    SENSITIVITY Endogenous
    MW (kDa) 97
    SOURCE Rabbit
    Application Key:
    • WB-Western Blotting 
    • IP-Immunoprecipitation 
    Species Cross-Reactivity Key:
    • H-Human 
    • M-Mouse 
    • R-Rat 
    • Mk-Monkey 

    Product Information

    Product Usage Information

    Application Dilution
    Western Blotting 1:1000
    Immunoprecipitation 1:50

    Storage

    Supplied in 10 mM sodium HEPES (pH 7.5), 150 mM NaCl, 100 µg/ml BSA and 50% glycerol. Store at –20°C. Do not aliquot the antibody.

    实验步骤

    Specificity / Sensitivity

    Argonaute 1 Antibody detects endogenous levels of total Argonaute 1 protein.

    Species Reactivity:

    Human, Mouse, Rat, Monkey

    Source / Purification

    Polyclonal antibodies are produced by immunizing animals with a synthetic peptide corresponding to residues surrounding Lys400 of human Argonaute 1 protein. Antibodies are purified by protein A and peptide affinity chromatography.

    Background

    Small non-coding RNAs are important regulators of gene expression in higher eukaryotes (1,2). Several classes of small RNAs, including short interfering RNAs (siRNAs) (3), microRNAs (miRNAs) (4), and Piwi-interacting RNAs (piRNAs) (5), have been identified. miRNAs are about 21 nucleotides in length and have been implicated in many cellular processes, such as development, differentiation, and stress response (1,2). miRNAs regulate gene expression by modulating mRNA translation or stability (2). miRNAs function together with the protein components in the complexes called micro-ribonucleoproteins (miRNPs) (2). Among the most important components in these complexes are Argonaute proteins (1,2). There are four members in the mammalian Argonaute family, and only Argonaute 2 (Ago2) possesses the Slicer endonuclease activity (1,2). Argonaute proteins participate in the various steps of miRNA-mediated gene silencing, such as repression of translation and mRNA turnover (1).

    Alternate Names

    AGO1; argonaute 1; argonaute 1, RISC catalytic component; Argonaute RISC catalytic component 1; argonaute RISC component 1; Argonaute1; DKFZp686M13167; eIF-2C 1; EIF2C; eIF2C 1; EIF2C1; Eukaryotic translation initiation factor 2C 1; eukaryotic translation initiation factor 2C, 1; GERP95; Golgi Endoplasmic Reticulum protein 95 kDa; hAgo1; Protein argonaute-1; Putative RNA-binding protein Q99; Q99

    For Research Use Only. Not for Use in Diagnostic Procedures.
    Cell Signaling Technology is a trademark of Cell Signaling Technology, Inc.
    All other trademarks are the property of their respective owners. Visit our Trademark Information page.