Cell Signaling Technology Logo - Extra Large
Trial Size Available Flag
Recombinant Flag
Recombinant: Superior lot-to-lot consistency, continuous supply, and animal-free manufacturing.

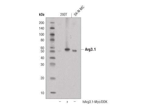
Arg3.1 (D6H9N) Rabbit Monoclonal Antibody #65650

Filter:
  • WB

    Product Specifications

    REACTIVITY H M R
    SENSITIVITY Endogenous
    MW (kDa) 51
    Source/Isotype Rabbit IgG
    Application Key:
    • WB-Western Blotting 
    Species Cross-Reactivity Key:
    • H-Human 
    • M-Mouse 
    • R-Rat 

    Product Information

    Product Usage Information

    Application Dilution
    Western Blotting 1:1000

    Storage

    Supplied in 10 mM sodium HEPES (pH 7.5), 150 mM NaCl, 100 µg/ml BSA, 50% glycerol and less than 0.02% sodium azide. Store at –20°C. Do not aliquot the antibody.

    实验步骤

    Specificity / Sensitivity

    Arg3.1 (D6H9N) Rabbit Monoclonal Antibody recognizes endogenous levels of total Arg3.1 protein. A band of unknown origin is detected ~40kDa in some rodent samples.

    Species Reactivity:

    Human, Mouse, Rat

    Source / Purification

    Monoclonal antibody is produced by immunizing animals with a synthetic peptide corresponding to residues surrounding Val209 of human Arg3.1 protein.

    Background

    Arg3.1, also known as Arc for activity-regulated cytoskeleton-associated protein, is an immediate early gene whose expression is necessary for synaptic plasticity (1). Arg3.1 expression is induced by many experimental stimuli such as LTP (2), LTD (3), and learning. Arg3.1 is also involved in the regulation of synaptic strength and homeostatic scaling by promoting AMPA receptors endocytosis (5,6). Arg3.1 dysregulation has been proposed to participate in cognitive decline during aging (7).

    Alternate Names

    activity regulated cytoskeleton associated protein; Activity-regulated cytoskeleton-associated protein; Activity-regulated gene 3.1 protein homolog; ARC; ARC/ARG3.1; Arg3.1; hArc; KIAA0278

    For Research Use Only. Not for Use in Diagnostic Procedures.
    Cell Signaling Technology is a trademark of Cell Signaling Technology, Inc.
    All other trademarks are the property of their respective owners. Visit our Trademark Information page.