Cell Signaling Technology Logo - Extra Large
Trial Size Available Flag
Recombinant Flag
Recombinant: Superior lot-to-lot consistency, continuous supply, and animal-free manufacturing.

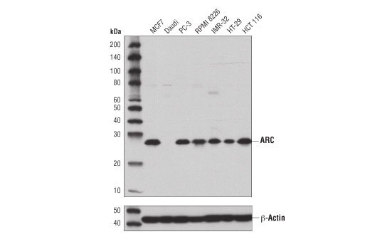
ARC (D7Q3G) Rabbit Monoclonal Antibody #38916

Filter:
  • WB
  • IP
  • IHC
  • IF
  • F

    Product Specifications

    REACTIVITY H
    SENSITIVITY Endogenous
    MW (kDa) 27
    Source/Isotype Rabbit IgG
    Application Key:
    • WB-Western Blotting 
    • IP-Immunoprecipitation 
    • IHC-Immunohistochemistry 
    • IF-Immunofluorescence 
    • F-Flow Cytometry 
    Species Cross-Reactivity Key:
    • H-Human 

    Product Information

    Product Usage Information

    Application Dilution
    Western Blotting 1:1000
    Immunoprecipitation 1:100
    Immunohistochemistry (Paraffin) 1:400
    Immunofluorescence (Immunocytochemistry) 1:1600
    Flow Cytometry (Fixed/Permeabilized) 1:100

    Storage

    Supplied in 10 mM sodium HEPES (pH 7.5), 150 mM NaCl, 100 µg/ml BSA, 50% glycerol and less than 0.02% sodium azide. Store at –20°C. Do not aliquot the antibody.

    实验步骤

    Specificity / Sensitivity

    ARC (D7Q3G) Rabbit Monoclonal Antibody recognizes endogenous levels of total ARC protein.

    Species Reactivity:

    Human

    Source / Purification

    Monoclonal antibody is produced by immunizing animals with a synthetic peptide corresponding to residues surrounding Pro125 of human ARC protein, specific to a region encoded by isoform 2 of the NOL3 gene.

    Background

    Apoptosis repressor with caspase recruitment domain (ARC), also independently identified as muscle-enriched cytoplasmic protein (MYP), is a CARD domain protein that regulates apoptosis (1). The ARC protein CARD domain is highly homologous to those in other cell death regulators, including caspase-2, caspase-9, RAIDD, and Apaf-1 (2). The NOL3 gene encodes both the cytoplasmic ARC protein and a 30 kDa nucleolar protein (Nop30) that is involved in RNA splicing. ARC is encoded from isoform 2 of NOL3, while isoform 1 produced by alternative splicing encodes Nop30. Both ARC and Nop30 proteins share common amino-terminal sequences (3). Research studies show that ARC can bind to caspase-8 and caspase-2 and inhibit apoptosis through extrinsic pathways that involve the receptor proteins Fas, TNFR1, and DR3 (1). Additional research indicates that the ARC anti-apoptotic mechanism may include both intrinsic (mitochondrial) and extrinsic (death receptor) pathways (4). In addition to binding caspases, ARC can disrupt the interaction with the death domains of Fas and FADD, which inhibits death-inducing signaling complex (DISC) assembly. The CARD domain of ARC can inhibit intrinsic apoptosis through binding to the pro-apoptotic Bax protein (5). Phosphorylation of ARC at Thr149 by CK2 is required for targeting of ARC to the mitochondria (6). ARC is able to suppress necroptosis, a programmed pathway of necrosis triggered by blocking the recruitment of RIP1 to TNFR1 (7). Expression of ARC protein is predominantly seen in terminally differentiated cells under normal conditions and is markedly induced in a variety of cancers including pancreatic, colorectal, breast, lung, glioblastoma, liver, kidney, melanoma, and acute myeloid leukemia (1, 8-12).

    Alternate Names

    Apoptosis repressor with CARD; ARC; CARD2; FCM; Muscle-enriched cytoplasmic protein; MYC; MYOCL1; Myp; NOL3; NOP; Nop30; Nucleolar protein 3; nucleolar protein 3 (apoptosis repressor with CARD domain); Nucleolar protein of 30 kDa

    For Research Use Only. Not for Use in Diagnostic Procedures.
    Cell Signaling Technology is a trademark of Cell Signaling Technology, Inc.
    Alexa Fluor is a registered trademark of Life Technologies Corporation.
    All other trademarks are the property of their respective owners. Visit our Trademark Information page.