Cell Signaling Technology Logo - Extra Large
Trial Size Available Flag
Recombinant Flag
Recombinant: Superior lot-to-lot consistency, continuous supply, and animal-free manufacturing.

APP (E8B3O) Rabbit Monoclonal Antibody #29765

Filter:
  • WB
  • IP
  • IHC
  • IF

    Product Specifications

    REACTIVITY H
    SENSITIVITY Endogenous
    MW (kDa) 100-140
    Source/Isotype Rabbit IgG
    Application Key:
    • WB-Western Blotting 
    • IP-Immunoprecipitation 
    • IHC-Immunohistochemistry 
    • IF-Immunofluorescence 
    Species Cross-Reactivity Key:
    • H-Human 

    Product Information

    Product Usage Information

    Application Dilution
    Western Blotting 1:1000
    Immunoprecipitation 1:50
    Immunohistochemistry (Paraffin) 1:400 - 1:1600
    Immunofluorescence (Immunocytochemistry) 1:12800 - 1:25600

    Storage

    Supplied in 10 mM sodium HEPES (pH 7.5), 150 mM NaCl, 100 µg/ml BSA, 50% glycerol and less than 0.02% sodium azide. Store at –20°C. Do not aliquot the antibody.

    For a carrier free (BSA and azide free) version of this product see product #47611.

    实验步骤

    Specificity / Sensitivity

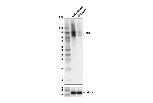
    APP (E8B3O) Rabbit Monoclonal Antibody recognizes endogenous levels of total APP protein.

    Species Reactivity:

    Human

    Source / Purification

    Monoclonal antibody is produced by immunizing animals with a synthetic peptide corresponding to residues surrounding Pro620 of human APP protein.

    Background

    Amyloid β (Aβ) precursor protein (APP) is a 100-140 kDa transmembrane glycoprotein that exists as several isoforms (1). The amino acid sequence of APP contains the amyloid domain, which can be released by a two-step proteolytic cleavage (1). The extracellular deposition and accumulation of the released Aβ fragments form the main components of amyloid plaques in Alzheimer's disease (1). APP can be phosphorylated at several sites, which may affect the proteolytic processing and secretion of this protein (2-5). Phosphorylation at Thr668 (a position corresponding to the APP695 isoform) by cyclin-dependent kinase is cell-cycle dependent and peaks during G2/M phase (4). APP phosphorylated at Thr668 exists in adult rat brain and correlates with cultured neuronal differentiation (5,6).

    Alternate Names

    A4; AAA; ABETA; Abeta40; Abeta42; ABPP; AD1; AICD-50; AICD-57; AICD-59; AID(50); AID(57); AID(59); Alpha-CTF; Alpha-secretase C-terminal fragment; Alzheimer disease amyloid protein; Amyloid beta; amyloid beta (A4) precursor protein; Amyloid beta A4 protein; amyloid beta precursor protein; Amyloid intracellular domain 50; Amyloid intracellular domain 57; Amyloid intracellular domain 59; Amyloid precursor protein; Amyloid-beta A4 protein; Amyloid-beta precursor protein; Amyloid-beta protein 40; Amyloid-beta protein 42; APP; APPI; Beta Amyloid; beta-amyloid peptide; beta-amyloid peptide(1-40); beta-amyloid peptide(1-42); beta-amyloid precursor protein; Beta-amyloid protein 40; Beta-amyloid protein 42; Beta-APP40; Beta-APP42; Beta-CTF; Beta-secretase C-terminal fragment; C31; C80; C83; C99; Cerebral vascular amyloid peptide; CTFgamma; CVAP; Gamma-CTF(50); Gamma-CTF(57); Gamma-CTF(59); Gamma-secretase C-terminal fragment 50; Gamma-secretase C-terminal fragment 57; Gamma-secretase C-terminal fragment 59; N-APP; P3(40); P3(42); peptidase nexin-II; PN-II; PN2; PreA4; Protease nexin-II; S-APP-alpha; S-APP-beta; Soluble APP-alpha; Soluble APP-beta; testicular tissue protein Li 2

    For Research Use Only. Not for Use in Diagnostic Procedures.
    Cell Signaling Technology is a trademark of Cell Signaling Technology, Inc.
    SignalStain is a registered trademark of Cell Signaling Technology, Inc.
    All other trademarks are the property of their respective owners. Visit our Trademark Information page.