SignalStain® Apoptosis (Cleaved Caspase-3) IHC Detection Kit #12692
Product Information
实验步骤
Product Description
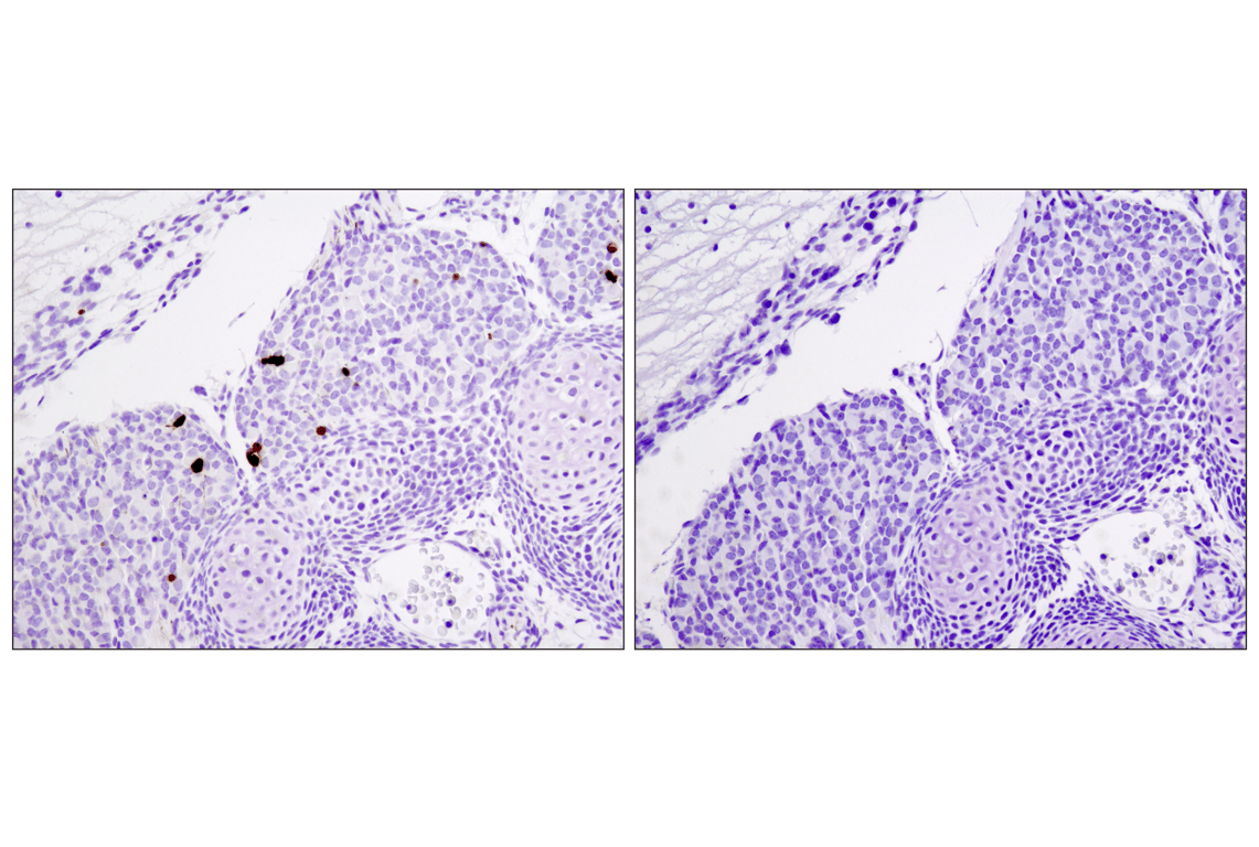
SignalStain® Apoptosis (Cleaved Caspase-3) IHC Detection Kit allows the detection of activated caspase-3 in formalin-fixed paraffin-embedded human and mouse tissue samples. Cleaved Caspase-3 (Asp175) (D3E9) Rabbit mAb is detected by the polymer based, HRP-conjugated SignalStain® Boost IHC Detection Reagent in combination with SignalStain® DAB Diluent and Chromogen Concentrate. Also included is a concentration-matched rabbit monoclonal IgG control to verify the specificity of staining.
This combination of reagents provides a sensitive and specific means of detecting apoptotic events in tissue samples.
This combination of reagents provides a sensitive and specific means of detecting apoptotic events in tissue samples.
Specificity / Sensitivity
SignalStain® Apoptosis (Cleaved Caspase-3) IHC Detection Kit detects endogenous levels of the activated caspase-3 large fragment (17/19 kDa) resulting from cleavage adjacent to Asp175. This antibody does not recognize full-length caspase-3 or other cleaved caspases. This kit was developed for and is recommended for immunohistochemistry only.
Species Reactivity:
Human, Mouse
Source / Purification
Cleaved Caspase-3 (Asp175) (D3E9) Rabbit mAb is produced by immunizing animals with a synthetic peptide corresponding to residues surrounding Asp175 of human caspase-3 protein. Rabbit (DA1E) mAb IgG XP® SignalStain® Isotype Control is not directed against any known antigen. It functions as an isotype control for rabbit IgG monoclonal antibodies.
Background
Caspase-3 (CPP-32, Apopain, Yama, SCA-1) is a critical executioner of apoptosis, as it is either partially or totally responsible for the proteolytic cleavage of many key proteins, such as the nuclear enzyme poly (ADP-ribose) polymerase (PARP) (1). Activation of caspase-3 requires proteolytic processing of its inactive zymogen into activated p17 and p12 fragments. Cleavage of caspase-3 requires the aspartic acid residue at the P1 position (2).
Alternate Names
Apopain; CASP-3; CASP3; Caspase-3; Caspase3; CPP-32; CPP32; SCA-1; Yama
限制使用
除非 CST 的合法授书代表以书面形式书行明确同意,否书以下条款适用于 CST、其关书方或分书商提供的书品。 任何书充本条款或与本条款不同的客书条款和条件,除非书 CST 的合法授书代表以书面形式书独接受, 否书均被拒书,并且无效。
专品专有“专供研究使用”的专专或专似的专专声明, 且未专得美国食品和专品管理局或其他外国或国内专管机专专专任何用途的批准、准专或专可。客专不得将任何专品用于任何专断或治专目的, 或以任何不符合专专声明的方式使用专品。CST 专售或专可的专品提供专作专最专用专的客专,且专用于研专用途。将专品用于专断、专防或治专目的, 或专专售(专独或作专专成)或其他商专目的而专专专品,均需要 CST 的专独专可。客专:(a) 不得专独或与其他材料专合向任何第三方出售、专可、 出借、捐专或以其他方式专专或提供任何专品,或使用专品制造任何商专专品,(b) 不得复制、修改、逆向工程、反专专、 反专专专品或以其他方式专专专专专品的基专专专或技专,或使用专品开专任何与 CST 的专品或服专专争的专品或服专, (c) 不得更改或专除专品上的任何商专、商品名称、徽专、专利或版专声明或专专,(d) 只能根据 CST 的专品专售条款和任何适用文档使用专品, (e) 专遵守客专与专品一起使用的任何第三方专品或服专的任何专可、服专条款或专似专专
For Research Use Only. Not for Use in Diagnostic Procedures.
Cell Signaling Technology is a trademark of Cell Signaling Technology, Inc.
SignalStain is a registered trademark of Cell Signaling Technology, Inc.
All other trademarks are the property of their respective owners. Visit our
Trademark Information page.