Cell Signaling Technology Logo - Extra Large
Trial Size Available Flag
Recombinant Flag
Recombinant: Superior lot-to-lot consistency, continuous supply, and animal-free manufacturing.

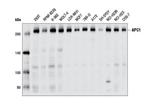
APC1 (D1E9D) Rabbit Monoclonal Antibody #13329

Filter:
  • WB
  • IP

    Product Specifications

    REACTIVITY H Mk
    SENSITIVITY Endogenous
    MW (kDa) 216
    Source/Isotype Rabbit IgG
    Application Key:
    • WB-Western Blotting 
    • IP-Immunoprecipitation 
    Species Cross-Reactivity Key:
    • H-Human 
    • Mk-Monkey 

    Product Information

    Product Usage Information

    Application Dilution
    Western Blotting 1:1000
    Immunoprecipitation 1:200

    Storage

    Supplied in 10 mM sodium HEPES (pH 7.5), 150 mM NaCl, 100 µg/ml BSA, 50% glycerol and less than 0.02% sodium azide. Store at –20°C. Do not aliquot the antibody.

    Protocol

    Specificity / Sensitivity

    APC1 (D1E9D) Rabbit Monoclonal Antibody recognizes endogenous levels of total APC1 protein.

    Species Reactivity:

    Human, Monkey

    The antigen sequence used to produce this antibody shares 100% sequence homology with the species listed here, but reactivity has not been tested or confirmed to work by CST. Use of this product with these species is not covered under our Product Performance Guarantee.

    Species predicted to react based on 100% sequence homology:

    Dog, Pig, Horse

    Source / Purification

    Monoclonal antibody is produced by immunizing animals with a synthetic peptide corresponding to residues near the carboxy terminus of human APC1 protein.

    Background

    Eukaryotic cell proliferation depends strictly upon the E3 ubiquitin ligase activity of the anaphase promoting complex/cyclosome (APC/C), whose main function is to trigger the transition of the cell cycle from metaphase to anaphase. The APC/C complex promotes the assembly of polyubiquitin chains on substrate proteins in order to target these proteins for degradation by the 26S proteasome (1,2). The vertebrate APC/C complex consists of as many as 15 subunits, including multiple scaffold proteins, two catalytic subunits (APC2, APC11), and a number of proteins responsible for substrate recognition (3). All E3 enzymes, including APC/C, utilize ubiquitin residues activated by E1 enzymes and transferred to E2 enzymes. Research studies indicate that APC/C interacts with the E2 enzymes UBE2S and UBE2C via the RING-finger domain-containing subunit APC11 (4-6). APC/C function relies on multiple cofactors, including an APC/C coactivator formed by the cell division control protein 20 homolog (CDC20) and Cdh1/FZR1. The CDC20/Cdh1 coactivator is responsible for recognition of APC/C substrates through interaction with specific D-box and KEN-box recognition elements within these substrates (7-9).
    The ubiquitously expressed anaphase-promoting complex subunit 1 (APC1) is the largest subunit of the APC/C complex (10). Research studies demonstrate that APC1 undergoes extensive phosphorylation on serine and threonine residues during the mitotic phase of the eukaryotic cell cycle (11).

    Alternate Names

    ANAPC1; anaphase promoting complex subunit 1; anaphase-promoting complex 1 (meiotic checkpoint regulator); Anaphase-promoting complex subunit 1; APC1; Cyclosome subunit 1; MCPR; Mitotic checkpoint regulator; Testis-specific gene 24 protein; TSG24

    For Research Use Only. Not for Use in Diagnostic Procedures.
    Cell Signaling Technology is a trademark of Cell Signaling Technology, Inc.
    All other trademarks are the property of their respective owners. Visit our Trademark Information page.