Cell Signaling Technology Logo - Extra Large

Ambra1 Antibody #24907

Filter:
  • WB

    Product Specifications

    REACTIVITY H M R
    SENSITIVITY Endogenous
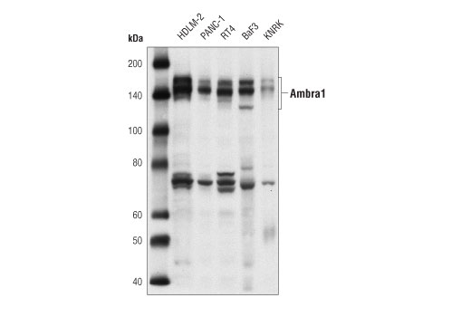
    MW (kDa) 135-150
    SOURCE Rabbit
    Application Key:
    • WB-Western Blotting 
    Species Cross-Reactivity Key:
    • H-Human 
    • M-Mouse 
    • R-Rat 

    Product Information

    Product Usage Information

    Application Dilution
    Western Blotting 1:1000

    Storage

    Supplied in 10 mM sodium HEPES (pH 7.5), 150 mM NaCl, 100 µg/ml BSA and 50% glycerol. Store at –20°C. Do not aliquot the antibody.

    实验步骤

    Specificity / Sensitivity

    Ambra1 Antibody recognizes endogenous levels of total Ambra1 protein. A band of unknown origin is observed at 75 kDa in some cell lines.

    Species Reactivity:

    Human, Mouse, Rat

    Source / Purification

    Polyclonal antibodies are produced by immunizing animals with a synthetic peptide corresponding to residues surrounding Leu220 of human Ambra1 protein. Antibodies are purified by protein A and peptide affinity chromatography.

    Background

    Activating molecule in Beclin1-regulated autophagy (AMBRA1) is a WD40-containing protein expressed during neurodevelopment that is required for neural tube development and autophagy (1). Several studies have identified interactions between AMBRA1 and regulators of autophagy and apoptosis (reviewed in 2). AMBRA1 was originally found to interact with Beclin-1, a key protein responsible for activating the class III PI3K Vps34 (1). Further studies showed that AMBRA1 tethers the Beclin-1-Vps34 complex to the cytoskeletal network through dynein light chains and that during autophagy, ULK1 phosphorylates AMBRA1, resulting in disassociation with dynein and translocation of the Beclin-Vps34 complex to the endoplasmic reticulum to initiate autophagosome formation (3,4). In addition, it has been found that AMBRA1 binds to mitochondrial Bcl-2 and that this interaction is regulated by either apoptosis or autophagy (5,6). AMBRA1 also interacts with Parkin, an E3 ubiquitin ligase important for mitophagy, a selective autophagic process of mitochondrial clearance (7,8).

    Alternate Names

    activating molecule in beclin-1-regulated autophagy; Activating molecule in BECN1-regulated autophagy protein 1; AMBRA1; AMRA1; autophagy and beclin 1 regulator 1; autophagy/beclin-1 regulator 1; DCAF3; DDB1 and CUL4 associated factor 3; FLJ20294; KIAA1736; MGC33725; WD repeat domain 94; WDR94

    For Research Use Only. Not for Use in Diagnostic Procedures.
    Cell Signaling Technology is a trademark of Cell Signaling Technology, Inc.
    All other trademarks are the property of their respective owners. Visit our Trademark Information page.