Recombinant: Superior lot-to-lot consistency, continuous supply, and animal-free manufacturing.
ALCAM (F3V8Q) Rabbit Monoclonal Antibody #10623
Filter:
- WB
- IF
Product Specifications
| REACTIVITY | H M R |
| SENSITIVITY | Endogenous |
| MW (kDa) | 100 |
| Source/Isotype | Rabbit IgG |
Application Key:
- WB-Western Blotting
- IF-Immunofluorescence
Species Cross-Reactivity Key:
- H-Human
- M-Mouse
- R-Rat
Product Information
Product Usage Information
| Application | Dilution |
|---|---|
| Western Blotting | 1:1000 |
| Simple Western™ | 1:10 - 1:50 |
| Immunofluorescence (Frozen) | 1:100 |
| Immunofluorescence (Immunocytochemistry) | 1:3000 |
Storage
Supplied in 10 mM sodium HEPES (pH 7.5), 150 mM NaCl, 100 µg/mL BSA, 50% glycerol, and less than 0.02% sodium azide. Store at –20°C. Do not aliquot the antibody.
实验步骤
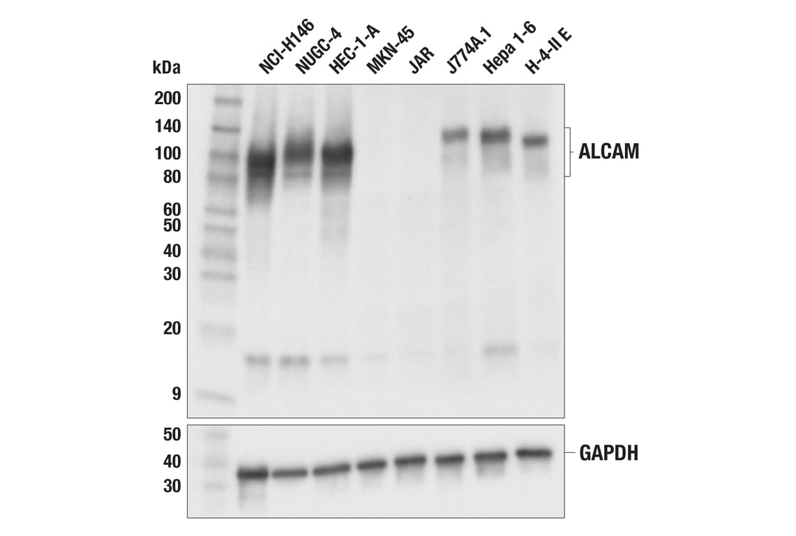
Specificity / Sensitivity
ALCAM (F3V8Q) Rabbit Monoclonal Antibody recognizes endogenous levels of total ALCAM protein. Nuclear background is observed in cultured mouse cells by immunofluorescence.
Species Reactivity:
Human, Mouse, Rat
Source / Purification
Monoclonal antibody is produced by immunizing animals with a synthetic peptide corresponding to residues surrounding Gly566 of human ALCAM protein.
Background
Activated leukocyte cell adhesion molecule (ALCAM), also known as CD166 or MEMCAM, is a transmembrane glycoprotein belonging to the immunoglobulin superfamily. It is expressed in various cell types, including leukocytes, fibroblasts, epithelial cells, and neurons. ALCAM functions primarily as a cell adhesion molecule, mediating both homotypic (ALCAM-ALCAM) and heterotypic interactions with other cell surface receptors, most notably CD6 (ALCAM-CD6). These interactions, and others, play critical roles in various physiological and pathological processes, including hematopoiesis, neuronal development and function, T cell activation and proliferation, immune response, angiogenesis, and tumor progression and metastasis (1-5). Aberrant ALCAM expression is frequently observed in various human tumors, including melanoma, prostate cancer, breast cancer, colorectal carcinoma, bladder cancer, and pancreatic adenocarcinoma. High ALCAM expression correlates with poor prognosis and increased metastatic potential in many of these tumor types (5). ALCAM can mediate tumor-endothelial cell interactions, facilitating tumor cell dissemination and extravasation to distant sites such as the brain, bone, and liver. It has been implicated in promoting tumor cell invasion, migration, and survival in the tumor microenvironment and may contribute to chemotherapy drug resistance in some cancers (5).
Alternate Names
activated leucocyte cell adhesion molecule; Activated leukocyte cell adhesion molecule; ALCAM; CD166; CD166 antigen; FLJ38514; MEMD; MGC71733
限制使用
除非 CST 的合法授书代表以书面形式书行明确同意,否书以下条款适用于 CST、其关书方或分书商提供的书品。 任何书充本条款或与本条款不同的客书条款和条件,除非书 CST 的合法授书代表以书面形式书独接受, 否书均被拒书,并且无效。
专品专有“专供研究使用”的专专或专似的专专声明, 且未专得美国食品和专品管理局或其他外国或国内专管机专专专任何用途的批准、准专或专可。客专不得将任何专品用于任何专断或治专目的, 或以任何不符合专专声明的方式使用专品。CST 专售或专可的专品提供专作专最专用专的客专,且专用于研专用途。将专品用于专断、专防或治专目的, 或专专售(专独或作专专成)或其他商专目的而专专专品,均需要 CST 的专独专可。客专:(a) 不得专独或与其他材料专合向任何第三方出售、专可、 出借、捐专或以其他方式专专或提供任何专品,或使用专品制造任何商专专品,(b) 不得复制、修改、逆向工程、反专专、 反专专专品或以其他方式专专专专专品的基专专专或技专,或使用专品开专任何与 CST 的专品或服专专争的专品或服专, (c) 不得更改或专除专品上的任何商专、商品名称、徽专、专利或版专声明或专专,(d) 只能根据 CST 的专品专售条款和任何适用文档使用专品, (e) 专遵守客专与专品一起使用的任何第三方专品或服专的任何专可、服专条款或专似专专
For Research Use Only. Not for Use in Diagnostic Procedures.
Cell Signaling Technology is a trademark of Cell Signaling Technology, Inc.
All other trademarks are the property of their respective owners. Visit our
Trademark Information page.