Render Target: STATIC
Render Timestamp:
5/28/2026, 7:52:33 PM EDT
5/28/2026, 11:52:33 PM UTC
Commit: 7ed46ecc04b401f23a28df741b5078df405d23e4
XML generation date: 2025-11-12 16:09:47.125
Product last modified at: 2026-03-20T08:04:44.804Z
Cell Signaling Technology Logo - Extra Large
1% for the planet logo
PDP - Template Name: Monoclonal Antibody
PDP - Template ID: *******c5e4b77
Trial Size Available Flag
Recombinant Flag
Recombinant: Superior lot-to-lot consistency, continuous supply, and animal-free manufacturing.

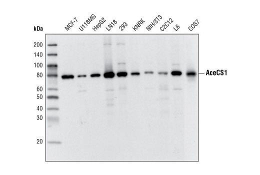
AceCS1 (D19C6) Rabbit Monoclonal Antibody #3658

Filter:
  • WB
  • IP

    Product Specifications

    REACTIVITY H M R Mk
    SENSITIVITY Endogenous
    MW (kDa) 78
    Source/Isotype Rabbit IgG
    Application Key:
    • WB-Western Blotting 
    • IP-Immunoprecipitation 
    Species Cross-Reactivity Key:
    • H-Human 
    • M-Mouse 
    • R-Rat 
    • Mk-Monkey 

    Product Information

    Product Usage Information

    Application Dilution
    Western Blotting 1:1000
    Simple Western™ 1:10 - 1:50
    Immunoprecipitation 1:50

    Storage

    Supplied in 10 mM sodium HEPES (pH 7.5), 150 mM NaCl, 100 µg/ml BSA, 50% glycerol and less than 0.02% sodium azide. Store at –20°C. Do not aliquot the antibody.

    实验步骤

    Specificity / Sensitivity

    AceCS1 (D19C6) Rabbit Monoclonal Antibody detects endogenous levels of total cytoplasmic acetyl-CoA synthetase (AceCS1).

    Species Reactivity:

    Human, Mouse, Rat, Monkey

    Source / Purification

    Monoclonal antibody is produced by immunizing animals with a synthetic peptide corresponding to residues surrounding Glu49 of human cytoplasmic acetyl-CoA synthetase (AceCS1) protein.

    Background

    Cytoplasmic acetyl-CoA synthetase (AceCS1) catalyzes the conversion of acetate and CoA to acetyl-CoA (1, 2). Acetyl-CoA synthesized by AceCS1 is used for fatty acid and lipid biosynthesis (1, 2). Studies suggest that this enzyme is regulated by sterol regulatory element-binding proteins (2). It was also shown that this enzyme is acetylated by protein acetyltransferases in cells (3, 4). SIRT1 deacetylates this enzyme at Lys661 resulting in its activation and the increase of fatty acid synthesis (3, 4).

    Alternate Names

    ACAS2; AceCS; AceCS1; acetate thiokinase; Acetate--CoA ligase; acetate-CoA ligase; Acetyl-CoA synthetase; Acetyl-CoA synthetase 1; acetyl-Coenzyme A synthetase 2 (ADP forming); Acetyl-coenzyme A synthetase, cytoplasmic; ACS; ACSA; ACSS2; Acyl-activating enzyme; acyl-CoA synthetase short chain family member 2; Acyl-CoA synthetase short-chain family member 2; cytoplasmic acetyl-coenzyme A synthetase; dJ1161H23.1; DKFZp762G026; Propionate--CoA ligase

    For Research Use Only. Not for Use in Diagnostic Procedures.
    Cell Signaling Technology is a trademark of Cell Signaling Technology, Inc.
    All other trademarks are the property of their respective owners. Visit our Trademark Information page.