Cell Signaling Technology Logo - Extra Large
Trial Size Available Flag
Recombinant Flag
Recombinant: Superior lot-to-lot consistency, continuous supply, and animal-free manufacturing.

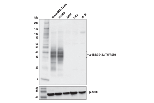
4-1BB/CD137/TNFRSF9 (E8T1Q) Rabbit Monoclonal Antibody #47282

Filter:
  • WB

    Product Specifications

    REACTIVITY H
    SENSITIVITY Endogenous
    MW (kDa) 32, 40
    Source/Isotype Rabbit IgG
    Application Key:
    • WB-Western Blotting 
    Species Cross-Reactivity Key:
    • H-Human 

    Product Information

    Product Usage Information

    Application Dilution
    Western Blotting 1:1000

    Storage

    Supplied in 10 mM sodium HEPES (pH 7.5), 150 mM NaCl, 100 µg/ml BSA, 50% glycerol and less than 0.02% sodium azide. Store at –20°C. Do not aliquot the antibody.

    实验步骤

    Specificity / Sensitivity

    4-1BB/CD137/TNFRSF9 (E8T1Q) Rabbit Monoclonal Antibody recognizes endogenous levels of total 4-1BB/CD137/TNFRSF9 protein.

    Species Reactivity:

    Human

    Source / Purification

    Monoclonal antibody is produced by immunizing animals with a synthetic peptide corresponding to residues surrounding Gln128 of human 4-1BB/CD137/TNFRSF9 protein.

    Background

    TNFRSF9 is a member of the tumor necrosis factor receptor superfamily (1,2). It is also called 4-1BB or CD137 (1, 2). 4-1BB/CD137/TNFRSF9 is expressed in activated CD4+ and CD8+ T cells, natural killer cells and dendritic cells (2-5). The ligand 4-1BBL/CD137L/TNFSF9 on antigen presenting cells binds to 4-1BB/CD137/TNFRSF9 and costimulates the activation of T cells (5). The binding of agonistic antibodies to 4-1BB/CD137/TNFRSF9 also leads to costimulation for T cell activation (5). Studies have shown the effectiveness of targeting 4-1BB/CD137/TNFRSF9 by its agonistic antibodies in cancer immunotherapy (6).

    Alternate Names

    4-1BB; 4-1BB ligand receptor; CD137; CD137 antigen; CDw137; homolog of mouse 4-1BB; ILA; induced by lymphocyte activation (ILA); interleukin-activated receptor, homolog of mouse Ly63; MGC2172; receptor protein 4-1BB; T cell antigen ILA; T-cell antigen 4-1BB homolog; T-cell antigen ILA; TNF receptor superfamily member 9; TNFRSF9; TNR9; Tumor necrosis factor receptor superfamily member 9; tumor necrosis factor receptor superfamily, member 9

    For Research Use Only. Not for Use in Diagnostic Procedures.
    Cell Signaling Technology is a trademark of Cell Signaling Technology, Inc.
    All other trademarks are the property of their respective owners. Visit our Trademark Information page.