Cell Signaling Technology Logo - Extra Large
Trial Size Available Flag
Recombinant Flag
Recombinant: Superior lot-to-lot consistency, continuous supply, and animal-free manufacturing.

14-3-3 gamma (D15B7) Rabbit Monoclonal Antibody #5522

Filter:
  • WB

    Product Specifications

    REACTIVITY H M R Mk Pg
    SENSITIVITY Endogenous
    MW (kDa) 27
    Source/Isotype Rabbit IgG
    Application Key:
    • WB-Western Blotting 
    Species Cross-Reactivity Key:
    • H-Human 
    • M-Mouse 
    • R-Rat 
    • Mk-Monkey 
    • Pg-Pig 

    Product Information

    Product Usage Information

    Application Dilution
    Western Blotting 1:1000

    Storage

    Supplied in 10 mM sodium HEPES (pH 7.5), 150 mM NaCl, 100 µg/ml BSA, 50% glycerol and less than 0.02% sodium azide. Store at –20°C. Do not aliquot the antibody.

    实验步骤

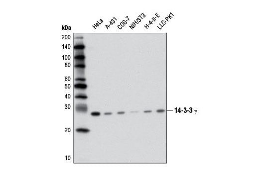
    Specificity / Sensitivity

    14-3-3 gamma (D15B7) Rabbit Monoclonal Antibody recognizes endogenous levels of total 14-3-3 γ protein. This antibody does not cross-react with other mammalian 14-3-3 isoforms and is predicted to detect 14-3-3γ orthologs in other species, including frog and fish.

    Species Reactivity:

    Human, Mouse, Rat, Monkey, Pig

    The antigen sequence used to produce this antibody shares 100% sequence homology with the species listed here, but reactivity has not been tested or confirmed to work by CST. Use of this product with these species is not covered under our Product Performance Guarantee.

    Species predicted to react based on 100% sequence homology:

    Chicken, Xenopus, Zebrafish

    Source / Purification

    Monoclonal antibody is produced by immunizing animals with a synthetic peptide corresponding to residues surrounding Ile79 of human 14-3-3 γ protein.

    Background

    The 14-3-3 family of proteins plays a key regulatory role in signal transduction, checkpoint control, apoptotic and nutrient-sensing pathways (1,2). 14-3-3 proteins are highly conserved and ubiquitously expressed. There are at least seven isoforms, β, γ, ε, σ, ζ, τ, and η that have been identified in mammals. The initially described α and δ isoforms are confirmed to be phosphorylated forms of β and ζ, respectively (3). Through their amino-terminal α helical region, 14-3-3 proteins form homo- or heterodimers that interact with a wide variety of proteins: transcription factors, metabolic enzymes, cytoskeletal proteins, kinases, phosphatases, and other signaling molecules (3,4). The interaction of 14-3-3 proteins with their targets is primarily through a phospho-Ser/Thr motif. However, binding to divergent phospho-Ser/Thr motifs, as well as phosphorylation independent interactions has been observed (4). 14-3-3 binding masks specific sequences of the target protein, and therefore, modulates target protein localization, phosphorylation state, stability, and molecular interactions (1-4). 14-3-3 proteins may also induce target protein conformational changes that modify target protein function (4,5). Distinct temporal and spatial expression patterns of 14-3-3 isoforms have been observed in development and in acute response to extracellular signals and drugs, suggesting that 14-3-3 isoforms may perform different functions despite their sequence similarities (4). Several studies suggest that 14-3-3 isoforms are differentially regulated in cancer and neurological syndromes (2,3).

    Alternate Names

    14-3-3 gamma; 14-3-3 protein gamma; 14-3-3 protein gamma, N-terminally processed; 14-3-3GAMMA; 1433G; EIEE56; KCIP-1; PPP1R170; Protein kinase C inhibitor protein 1; protein phosphatase 1, regulatory subunit 170; tyrosine 3-monooxygenase/tryptophan 5-monooxygenase activation protein gamma; tyrosine 3-monooxygenase/tryptophan 5-monooxygenase activation protein, gamma polypeptide; YWHAG

    For Research Use Only. Not for Use in Diagnostic Procedures.
    Cell Signaling Technology is a trademark of Cell Signaling Technology, Inc.
    All other trademarks are the property of their respective owners. Visit our Trademark Information page.