p70 S6 Kinase MCF7 Control Cell Extracts #34499
Filter:
- WB
Product Information
Product Usage Information
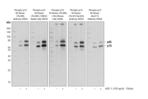
Boil for 3 minutes prior to use. Load 10 μl of phosphorylated and nonphosphorylated p70 S6 Kinase MCF7 Control Cell Extracts per lane.
Storage
Store at -20°C. Supplied in SDS Sample Buffer: 62.5 mM Tris- HCl (pH 6.8 at 25°C), 2% w/v SDS, 10% glycerol, 50 mM DTT, 0.01% w/v bromophenol blue or phenol red
Product Description
Nonphosphorylated p70 S6 Kinase Control Cell Extracts: Total cell extracts from MCF7 cells, serum-starved overnight to serve as a negative control. Supplied in SDS Sample Buffer.
Phosphorylated p70 S6 Kinase Control Cell Extracts: Total cell extracts from MCF7 cells, serum-starved overnight and treated 100 ng/ml hIGF-1 #8917 for 10 min to serve as a positive control. Supplied in SDS Sample Buffer.
Phosphorylated p70 S6 Kinase Control Cell Extracts: Total cell extracts from MCF7 cells, serum-starved overnight and treated 100 ng/ml hIGF-1 #8917 for 10 min to serve as a positive control. Supplied in SDS Sample Buffer.
Background
p70 S6 kinase is a mitogen activated Ser/Thr protein kinase that is required for cell growth and G1 cell cycle progression (1,2). p70 S6 kinase phosphorylates the S6 protein of the 40S ribosomal subunit and is involved in translational control of 5' oligopyrimidine tract mRNAs (1). A second isoform, p85 S6 kinase, is derived from the same gene and is identical to p70 S6 kinase except for 23 extra residues at the amino terminus, which encode a nuclear localizing signal (1). Both isoforms lie on a mitogen activated signaling pathway downstream of phosphoinositide-3 kinase (PI-3K) and the target of rapamycin, FRAP/mTOR, a pathway distinct from the Ras/MAP kinase cascade (1). The activity of p70 S6 kinase is controlled by multiple phosphorylation events located within the catalytic, linker and pseudosubstrate domains (1). Phosphorylation of Thr229 in the catalytic domain and Thr389 in the linker domain are most critical for kinase function (1). Phosphorylation of Thr389, however, most closely correlates with p70 kinase activity in vivo (3). Prior phosphorylation of Thr389 is required for the action of phosphoinositide 3-dependent protein kinase 1 (PDK1) on Thr229 (4,5). Phosphorylation of this site is stimulated by growth factors such as insulin, EGF and FGF, as well as by serum and some G-protein-coupled receptor ligands, and is blocked by wortmannin, LY294002 (PI-3K inhibitor) and rapamycin (FRAP/mTOR inhibitor) (1,6,7). Ser411, Thr421 and Ser424 lie within a Ser-Pro-rich region located in the pseudosubstrate region (1). Phosphorylation at these sites is thought to activate p70 S6 kinase via relief of pseudosubstrate suppression (1,2). Another LY294002 and rapamycin sensitive phosphorylation site, Ser371, is an in vitro substrate for mTOR and correlates well with the activity of a partially rapamycin resistant mutant p70 S6 kinase (8).
- Pullen, N. and Thomas, G. (1997) FEBS Lett 410, 78-82.
- Dufner, A. and Thomas, G. (1999) Exp Cell Res 253, 100-9.
- Weng, Q.P. et al. (1998) J Biol Chem 273, 16621-9.
- Pullen, N. et al. (1998) Science 279, 707-10.
- Alessi, D.R. et al. (1998) Curr Biol 8, 69-81.
- Polakiewicz, R.D. et al. (1998) J Biol Chem 273, 23534-41.
- Fingar, D.C. et al. (2002) Genes Dev 16, 1472-87.
- Saitoh, M. et al. (2002) J Biol Chem 277, 20104-12.
Alternate Names
extract; lysate; p70-s6k; p70s6; s6k; s6kinase
限制使用
除非 CST 的合法授书代表以书面形式书行明确同意,否书以下条款适用于 CST、其关书方或分书商提供的书品。 任何书充本条款或与本条款不同的客书条款和条件,除非书 CST 的合法授书代表以书面形式书独接受, 否书均被拒书,并且无效。
专品专有“专供研究使用”的专专或专似的专专声明, 且未专得美国食品和专品管理局或其他外国或国内专管机专专专任何用途的批准、准专或专可。客专不得将任何专品用于任何专断或治专目的, 或以任何不符合专专声明的方式使用专品。CST 专售或专可的专品提供专作专最专用专的客专,且专用于研专用途。将专品用于专断、专防或治专目的, 或专专售(专独或作专专成)或其他商专目的而专专专品,均需要 CST 的专独专可。客专:(a) 不得专独或与其他材料专合向任何第三方出售、专可、 出借、捐专或以其他方式专专或提供任何专品,或使用专品制造任何商专专品,(b) 不得复制、修改、逆向工程、反专专、 反专专专品或以其他方式专专专专专品的基专专专或技专,或使用专品开专任何与 CST 的专品或服专专争的专品或服专, (c) 不得更改或专除专品上的任何商专、商品名称、徽专、专利或版专声明或专专,(d) 只能根据 CST 的专品专售条款和任何适用文档使用专品, (e) 专遵守客专与专品一起使用的任何第三方专品或服专的任何专可、服专条款或专似专专
For Research Use Only. Not for Use in Diagnostic Procedures.
Cell Signaling Technology is a trademark of Cell Signaling Technology, Inc.
All other trademarks are the property of their respective owners. Visit our
Trademark Information page.