Cell Signaling Technology Logo - Extra Large

HIF-1 alpha/2alpha Control Cell Extracts #94790

Filter:
  • WB

    Product Information

    Product Usage Information

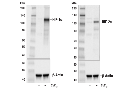
    Boil for 3 minutes prior to use. Load 10 µL of untreated and cobalt chloride treated HIF-1 alpha/2alpha Control Cell Extracts per lane.

    Storage

    Supplied in SDS Sample Buffer: 62.5 mM Tris-HCl (pH 6.8 at 25°C), 2% w/v SDS, 10% glycerol, 50 mM DTT, 0.01% w/v bromophenol blue or phenol red. Store at –20°C, or at –80°C for long-term storage.

    Product Description

    HIF-1α/2α Control Cell Extracts (Hep G2 untreated): Total cell extracts from Hep G2 cells serve as a negative control. Supplied in SDS sample buffer.

    HIF-1α/2α Control Cell Extracts (Hep G2 + CoCl2): Total cell extracts from Hep G2 cells treated with cobalt chloride (100 μM, 24 hr) serve as a positive control.

    This lysate pair is produced as a control for western blotting of HIF-1α and HIF-2α proteins.

    Background

    Hypoxia-inducible factor 1 (HIF1) is a heterodimeric transcription factor that plays a critical role in the cellular response to hypoxia (1). The HIF1 complex consists of two subunits, HIF-1α and HIF-1β, which are basic helix-loop-helix proteins of the PAS (Per, ARNT, Sim) family (2). HIF1 regulates the transcription of a broad range of genes that facilitate responses to the hypoxic environment, including genes regulating angiogenesis, erythropoiesis, cell cycle, metabolism, and apoptosis. The widely expressed HIF-1α is typically degraded rapidly in normoxic cells by the ubiquitin/proteasomal pathway. Under normoxic conditions, HIF-1α is proline hydroxylated leading to a conformational change that promotes binding to the von Hippel-Lindau protein (VHL) E3 ligase complex; ubiquitination and proteasomal degradation follows (3,4). Both hypoxic conditions and chemical hydroxylase inhibitors (such as desferrioxamine and cobalt) inhibit HIF-1α degradation and lead to its stabilization. In addition, HIF-1α can be induced in an oxygen-independent manner by various cytokines through the PI3K-AKT-mTOR pathway (5-7).

    HIF-1β is also known as AhR nuclear translocator (ARNT) due to its ability to partner with the aryl hydrocarbon receptor (AhR) to form a heterodimeric transcription factor complex (8). Together with AhR, HIF-1β plays an important role in xenobiotic metabolism (8). In addition, a chromosomal translocation leading to a TEL-ARNT fusion protein is associated with acute myeloblastic leukemia (9). Studies also found that ARNT/HIF-1β expression levels decrease significantly in pancreatic islets from patients with type 2 diabetes, suggesting that HIF-1β plays an important role in pancreatic β-cell function (10).

    Alternate Names

    extract; HIF; HIF-1; HIF-2; hypoxia; lysate

    For Research Use Only. Not for Use in Diagnostic Procedures.
    Cell Signaling Technology is a trademark of Cell Signaling Technology, Inc.
    All other trademarks are the property of their respective owners. Visit our Trademark Information page.