Render Target: STATIC
Render Timestamp:
5/28/2026, 8:04:40 PM EDT
5/29/2026, 12:04:40 AM UTC
Commit: 7ed46ecc04b401f23a28df741b5078df405d23e4
XML generation date: 2026-01-02 19:01:09.028
Product last modified at: 2026-03-20T08:02:28.990Z
Cell Signaling Technology Logo - Extra Large
1% for the planet logo
PDP - Template Name: MW Marker
PDP - Template ID: *******1ffcaa0

Blue Prestained Protein Marker, Broad Range (11-250 kDa) #59329

    Product Information

    Product Usage Information

    Important: Do Not Boil Protein Marker

    1. Thaw the protein ladder on ice.

    2. Gently vortex solution to ensure the mixture is homogeneous.

    3. Load the appropriate volume of the protein marker per lane, as specified below:

    Mini-Gel:

    0.75-1.0 mm thick: load 5 μl

    1.5 mm thick: load 10 μl

    Large Gel:

    0.75-1.0 mm thick: load 10μl

    1.5 mm thick: load 20 μl

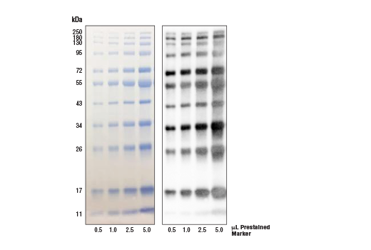
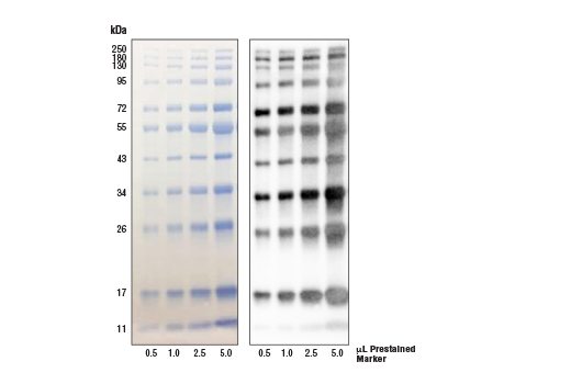
    Please note, when using #59329 Blue Prestained Protein Marker, Broad Range (11-250 kDa) with #46387 Anti-Blue (2D2F11) Mouse Monoclonal Antibody (HRP Conjugate), it is recommended to load between 0.5 μl-2.5 μl of #59329 to better visualize the separation of proteins while minimizing excess background due to an overabundance of protein.

    4. Unused ladder may be returned to -20ºC for long-term storage.

    Note on Apparent Molecular Weights:

    The relative sizes of these protein markers may depend on the type of gel used and may appear different than expected. The coupling of a charged dye molecule to a protein marker alters the overall charge of the protein and will likely alter its mobility in an SDS polyacrylamide gel. The extent of this effect can vary with the properties of the gel type (e.g., Tris-glycine, Tris-Tricine, etc.) used in the analysis. For this reason, the sizes of these marker proteins are expressed here as apparent molecular weights. For best results, we recommend using these prestained protein markers on a Tris-glycine SDS gel.

    Storage

    Supplied in 62.5 mM Tris-Phosphate (pH 7.5 at 25ºC), 1 mM EDTA, 2% SDS, 10 mM DTT, 1 mM NaN3 and 33% glycerol. This product is stable for 36 months when stored at -20° C.

    Product Description

    Blue Prestained Protein Marker, Broad Range (11-250 kDa) is a mixture of purified proteins covalently coupled to a blue dye that resolve to a series of 11 bands between 11 and 250 kDa following electrophoresis. The protein concentrations are carefully balanced for even intensity. The covalent coupling of the dye to the proteins affects their electrophoretic behavior in SDS-PAGE gels relative to unstained proteins.
    For Research Use Only. Not for Use in Diagnostic Procedures.
    Cell Signaling Technology is a trademark of Cell Signaling Technology, Inc.
    All other trademarks are the property of their respective owners. Visit our Trademark Information page.