Cell Signaling Technology Logo - Extra Large

PathScan® Phospho-IRS-1 (panTyr) Sandwich ELISA Kit #7133

Filter:
  • ELISA+

Important Ordering Details

Custom Ordering Details:

If kit quantities from the same lot are needed in unlisted sizes, contact us for processing time and pricing.

Looking for this ELISA kit in a 384-well format? Inquire for availability, processing time, and pricing.

    Product Specifications

    REACTIVITY H M R
    Application Key:
    • ELISA+-ELISA and/or ELISA-like Assays 
    Species Cross-Reactivity Key:
    • H-Human 
    • M-Mouse 
    • R-Rat 

    Product Information

    Product Description

    The PathScan® Phospho-IRS-1 (panTyr) Sandwich ELISA Kit is a solid phase sandwich enzyme-linked immunosorbent assay (ELISA) that detects endogenous levels of IRS-1 when tyrosine phosphorylated. An IRS-1 Rabbit Antibody has been coated onto the microwells. After incubation with cell lysates, IRS-1 (phospho and nonphospho) is captured by the coated antibody. Following extensive washing, a Phospho-Tyrosine Mouse Detection Antibody is added to detect tyrosine phosphorylation of the captured IRS-1 protein. Anti-mouse IgG, HRP-linked Antibody is then used to recognize the bound detection antibody. HRP substrate, TMB, is added to develop color. The magnitude of the absorbance for this developed color is proportional to the quantity of IRS-1 phosphorylated on tyrosine.

    *Antibodies in kit are custom formulations specific to kit.

    实验步骤

    Specificity / Sensitivity

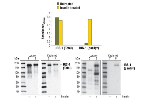
    PathScan® Phospho-IRS-1 (panTyr) Sandwich ELISA Kit #7133 detects IRS-1 when tyrosine phosphorylated. As shown in Figure 1, a significant induction of IRS-1 tyrosine phosphorylation can be detected in CHO (IR/IRS-1) cells following treatment with insulin using this kit. The level of total IRS-1 (phospho and nonphospho) remains unchanged as shown by Western analysis and by PathScan® Total IRS-1 Sandwich ELISA Kit #7328. This kit also detects tyrosine phosphorylated IRS-1 in insulin treated MCF7 cells and 3T3-L1 adipocytes. This kit detects proteins from the indicated species, as determined through in-house testing, but may also detect homologous proteins from other species.

    Species Reactivity:

    Human, Mouse, Rat

    Background

    Insulin receptor substrate 1 (IRS-1) is one of the major substrates of the insulin receptor kinase (1). IRS-1 contains multiple tyrosine phosphorylation motifs that serve as docking sites for SH2-domain containing proteins that mediate the metabolic and growth-promoting functions of insulin (2-4). IRS-1 also contains over 30 potential serine/threonine phosphorylation sites. Ser307 of IRS-1 is phosphorylated by JNK (5) and IKK (6) while Ser789 is phosphorylated by SIK-2, a member of the AMPK family (7). The PKC and mTOR pathways mediate phosphorylation of IRS-1 at Ser612 and Ser636/639, respectively (8,9). Phosphorylation of IRS-1 at Ser1101 is mediated by PKCθ and results in an inhibition of insulin signaling in the cell, suggesting a potential mechanism for insulin resistance in some models of obesity (10).

    Alternate Names

    HIRS-1; Insulin receptor substrate 1; IRS-1; IRS1

    For Research Use Only. Not for Use in Diagnostic Procedures.
    Cell Signaling Technology is a trademark of Cell Signaling Technology, Inc.
    PathScan is a registered trademark of Cell Signaling Technology, Inc.
    All other trademarks are the property of their respective owners. Visit our Trademark Information page.