Cell Signaling Technology Logo - Extra Large

SignalStain® Vivid Purple Peroxidase Substrate Kit #96632

    Product Information

    Product Usage Information

    1. To prepare the Vivid Purple working solution, to 5 ml SignalStain® Vivid Purple Diluent add 3 drops SignalStain® Vivid Purple Reagent 1, 3 drops SignalStain® Vivid Purple Reagent 2, 3 drops SignalStain® Vivid Purple Reagent 3, and 3 drops SignalStain® Vivid Purple Reagent 4. Mix well before use.

    2. After incubation with SignalStain® Boost IHC Detection Reagent or other HRP-based detection systems, wash slides and incubate with the working solution at room temperature for 2-15 minutes. Optimal development time should be determined by the investigator.

    3. Wash slides for 5 minutes in water.

    4. Counterstain, if desired.

    5. Dehydrate, clear and permanently mount in a non-aqueous mounting medium. Do not use recycled alcohols with this product.

    Prolonged incubation in alcohol may decrease sensitivity.

    Unused working solution is stable up to 14 days if stored at 2-8ºC. Working solution may change color during this time with no impact on quality or intensity of the staining. If a precipitate forms, filter through a 0.45 μm filter.

    Appropriate personal protective equipment should be worn when handling Vivid Purple. Dispose of in accordance with local regulations.

    Storage

    Substrate kit should be stored at 4ºC, protected from light. Each kit is stable for 12 months upon receipt if the reagents are not combined.

    Product Description

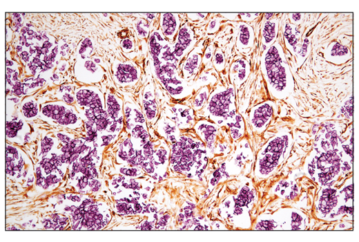
    The SignalStain® Vivid Purple Peroxidase Substrate Kit contains all of the necessary reagents to prepare a working solution of Vivid Purple for staining tissue sections. The Vivid Purple working solution reacts with peroxidase (HRP) detection systems such as the SignalStain® Boost IHC Detection Reagents (HRP, Rabbit #8114, HRP, Mouse #8125, HRP, Rat #72838, and HRP, Goat #63707), yielding a purple reaction product that can provide color contrast in pigmented tissues such as melanoma.
    For Research Use Only. Not for Use in Diagnostic Procedures.
    Cell Signaling Technology is a trademark of Cell Signaling Technology, Inc.
    SignalStain is a registered trademark of Cell Signaling Technology, Inc.
    All other trademarks are the property of their respective owners. Visit our Trademark Information page.