Render Target: STATIC
Render Timestamp:
5/20/2026, 9:04:52 PM EDT
5/21/2026, 1:04:52 AM UTC
Commit: 7ed46ecc04b401f23a28df741b5078df405d23e4
XML generation date: 2026-05-08 14:05:45.317
Product last modified at: 2026-03-20T08:02:23.710Z
Cell Signaling Technology Logo - Extra Large
1% for the planet logo
PDP - Template Name: Detection System Kit
PDP - Template ID: *******2b9e861

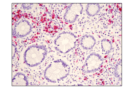
SignalStain® Vibrant Red Alkaline Phosphatase Substrate Kit #76713

    Product Information

    Product Usage Information

    1. To prepare the Vibrant Red working solution, to 5 ml SignalStain® Vibrant Red Diluent add 2 drops SignalStain® Vibrant Red Reagent 1 and 2 drops SignalStain® Vibrant Red Reagent 2. Mix well before use.

    2. After incubation with SignalStain® Boost IHC Detection Reagent or other AP-based detection systems, wash slides and incubate with the working solution at room temperature for 20-30 minutes.

    3. Wash slides in TBS-T for 5 minutes and then rinse slides in water. Counterstain, if desired.

    Vibrant Red is compatible with permanent and aqueous mounting. Please note, permanent mounting requires dehydration through ethanol and clearing in xylene.

    Optimal development times should be determined by the investigator. Working solutions should be used within 15 minutes of preparation. Do not heat Vibrant Red kit components or working solution.

    The reaction product is also fluorescent and non-fading and can be viewed with TRITC filter systems.

    Appropriate personal protective equipment should be worn when handling Vibrant Red. Dispose of in accordance with local regulations.

    Storage

    Substrate kit should be stored at 4ºC, protected from light. Each kit is stable for 12 months upon receipt if the reagents are not combined.

    Product Description

    The SignalStain® Vibrant Red Alkaline Phosphatase Substrate Kit contains all of the necessary reagents to prepare a working solution of Vibrant Red for staining tissue sections. The Vibrant Red working solution reacts with alkaline phosphatase (AP) detection systems such as the SignalStain® Boost IHC Detection Reagents (AP, Rabbit #18653, AP, Mouse #31926, AP, Rat #15764, and AP, Goat #26927), yielding a heat stable, red reaction product that is also fluorescent.
    For Research Use Only. Not for Use in Diagnostic Procedures.
    Cell Signaling Technology is a trademark of Cell Signaling Technology, Inc.
    E1L3N is a registered trademark of Cell Signaling Technology, Inc.
    SignalStain is a registered trademark of Cell Signaling Technology, Inc.
    All other trademarks are the property of their respective owners. Visit our Trademark Information page.