SignalStain® Radiant Yellow Peroxidase Substrate Kit #69644
Product Information
Product Usage Information
1. To prepare the Radiant Yellow/HRP chromogen-substrate working solution, add 1 drop SignalStain® Radiant Yellow Chromogen Concentrate to 1 mL SignalStain® Radiant Yellow Diluent. Mix well before use. Working solutions are stable for up to 1 day when stored at 4ºC. For optimal results, prepare fresh reagent.
2. After incubation with SignalStain® Boost IHC Detection Reagent or other HRP-based detection systems, wash slides and incubate with the working solution at room temperature until staining develops. 8-20 minutes generally provides an acceptable staining intensity.
3. Wash slides for 5 minutes in water.
4. Counterstain, if desired. Radiant Yellow is compatible with Hematoxylin #14166.
5. After rinsing, slides should be air dried and mounted using SignalStain® Aqueous Mounting Medium #27290. Radiant Yellow is not compatible with alcohol.
Alternatively, for best color preservation and long-term storage, SignalStain® Mounting Prep Solution #50815 can be used after counterstaining to enable mounting with non-aqueous mounting medium, SignalStain® Mounting Medium #14177.
Appropriate personal protective equipment should be worn when handling Radiant Yellow. Dispose of in accordance with local regulations.
2. After incubation with SignalStain® Boost IHC Detection Reagent or other HRP-based detection systems, wash slides and incubate with the working solution at room temperature until staining develops. 8-20 minutes generally provides an acceptable staining intensity.
3. Wash slides for 5 minutes in water.
4. Counterstain, if desired. Radiant Yellow is compatible with Hematoxylin #14166.
5. After rinsing, slides should be air dried and mounted using SignalStain® Aqueous Mounting Medium #27290. Radiant Yellow is not compatible with alcohol.
Alternatively, for best color preservation and long-term storage, SignalStain® Mounting Prep Solution #50815 can be used after counterstaining to enable mounting with non-aqueous mounting medium, SignalStain® Mounting Medium #14177.
Appropriate personal protective equipment should be worn when handling Radiant Yellow. Dispose of in accordance with local regulations.
Storage
Substrate kit should be stored at 4ºC, protected from light. Each kit is stable for 6 months upon receipt if the reagents are not combined.
Product Description
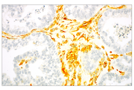
The SignalStain® Radiant Yellow Peroxidase Substrate Kit contains all of the necessary reagents to prepare a working solution of Radiant Yellow for staining tissue sections. The Radiant Yellow working solution is compatible with peroxidase (HRP) detection systems such as the SignalStain® Boost IHC Detection Reagents (HRP, Rabbit #8114, HRP, Mouse #8125, HRP, Rat #72838, and HRP, Goat #63707), yielding a yellow reaction product that can provide color contrast in pigmented tissues such as melanoma.
限制使用
除非 CST 的合法授书代表以书面形式书行明确同意,否书以下条款适用于 CST、其关书方或分书商提供的书品。 任何书充本条款或与本条款不同的客书条款和条件,除非书 CST 的合法授书代表以书面形式书独接受, 否书均被拒书,并且无效。
专品专有“专供研究使用”的专专或专似的专专声明, 且未专得美国食品和专品管理局或其他外国或国内专管机专专专任何用途的批准、准专或专可。客专不得将任何专品用于任何专断或治专目的, 或以任何不符合专专声明的方式使用专品。CST 专售或专可的专品提供专作专最专用专的客专,且专用于研专用途。将专品用于专断、专防或治专目的, 或专专售(专独或作专专成)或其他商专目的而专专专品,均需要 CST 的专独专可。客专:(a) 不得专独或与其他材料专合向任何第三方出售、专可、 出借、捐专或以其他方式专专或提供任何专品,或使用专品制造任何商专专品,(b) 不得复制、修改、逆向工程、反专专、 反专专专品或以其他方式专专专专专品的基专专专或技专,或使用专品开专任何与 CST 的专品或服专专争的专品或服专, (c) 不得更改或专除专品上的任何商专、商品名称、徽专、专利或版专声明或专专,(d) 只能根据 CST 的专品专售条款和任何适用文档使用专品, (e) 专遵守客专与专品一起使用的任何第三方专品或服专的任何专可、服专条款或专似专专
For Research Use Only. Not for Use in Diagnostic Procedures.
Cell Signaling Technology is a trademark of Cell Signaling Technology, Inc.
SignalStain is a registered trademark of Cell Signaling Technology, Inc.
All other trademarks are the property of their respective owners. Visit our
Trademark Information page.