Cell Signaling Technology Logo - Extra Large
Recombinant Flag
Recombinant: Superior lot-to-lot consistency, continuous supply, and animal-free manufacturing.

Merlin (D3S3W) Rabbit Monoclonal Antibody (Biotinylated) #73505

Filter:
  • WB

    Product Specifications

    REACTIVITY H M R Hm Mk
    SENSITIVITY Endogenous
    MW (kDa) 70
    Source/Isotype Rabbit IgG
    Application Key:
    • WB-Western Blotting 
    Species Cross-Reactivity Key:
    • H-Human 
    • M-Mouse 
    • R-Rat 
    • Hm-Hamster 
    • Mk-Monkey 

    Product Information

    Product Description

    This Cell Signaling Technology antibody is conjugated to biotin under optimal conditions. The biotinylated antibody is expected to exhibit the same species cross-reactivity as the unconjugated Merlin (D3S3W) Rabbit mAb #12888.
    MW (kDa) 70

    Product Usage Information

    Application Dilution
    Western Blotting 1:1000

    Storage

    Supplied in 140 mM NaCl, 3 mM KCI, 10 mM sodium phosphate (pH 7.4) dibasic, 2 mM potassium phosphate monobasic, 2 mg/mL BSA, and 50% glycerol. Store at –20°C. Do not aliquot the antibody.

    Protocol

    Specificity / Sensitivity

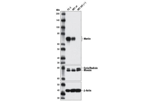
    Merlin (D3S3W) Rabbit Monoclonal Antibody (Biotinylated) recognizes endogenous levels of total merlin protein.

    Species Reactivity:

    Human, Mouse, Rat, Hamster, Monkey

    Source / Purification

    Monoclonal antibody is produced by immunizing animals with a synthetic peptide corresponding to residues surrounding Gln470 of human merlin protein.

    Background

    Neurofibromatosis 2 (NF2) is an autosomal dominant, inherited disorder characterized by the occurrence of vestibular schwannomas, meningiomas, and other nervous system tumors. Both the familial tumors of NF2 and equivalent sporadic tumors found in the general population are caused by inactivation of the NF2 tumor suppressor gene. Merlin (moesin, ezrin, and radixin-like protein) is the NF2 gene product, displaying striking similarity to ezrin, radixin, and moesin (ERM) proteins. Regulation of merlin (also called schwannomin) and ERM proteins involves intramolecular and intermolecular head-to-tail associations between family members (1). Merlin and ERM proteins act as linkers between the plasma membrane and the cytoskeleton, affecting cell morphology, polarity, and signal transduction (2). Merlin is phosphorylated by the Rac/Cdc42 effector p21-activated kinase (PAK) at Ser518, negatively regulating Rac (3,4).

    Alternate Names

    ACN; BANF; MERL; Merlin; moesin-ezrin-radixin like; Moesin-ezrin-radixin-like protein; moesin-ezrin-radizin-like protein; neurofibromin 2; neurofibromin 2 (bilateral acoustic neuroma); neurofibromin 2 (merlin); Neurofibromin-2; NF2; SCH; Schwannomerlin; Schwannomin

    For Research Use Only. Not for Use in Diagnostic Procedures.
    Cell Signaling Technology is a trademark of Cell Signaling Technology, Inc.
    All other trademarks are the property of their respective owners. Visit our Trademark Information page.