Cell Signaling Technology Logo - Extra Large
Recombinant Flag
Recombinant: Superior lot-to-lot consistency, continuous supply, and animal-free manufacturing.

HPK1 (E1C3L) Rabbit Monoclonal Antibody (Biotinylated) #61606

Filter:
  • WB

Inquiry Info. # 61606

Please see our recommended alternatives.

    Product Specifications

    REACTIVITY H
    SENSITIVITY Endogenous
    MW (kDa) 97
    Source/Isotype Rabbit IgG
    Application Key:
    • WB-Western Blotting 
    Species Cross-Reactivity Key:
    • H-Human 

    Product Information

    Product Description

    This Cell Signaling Technology antibody is conjugated to biotin under optimal conditions. The biotinylated antibody is expected to exhibit the same species cross-reactivity as the unconjugated HPK1 (E1C3L) Rabbit mAb #46510.
    MW (kDa) 97

    Product Usage Information

    Application Dilution
    Western Blotting 1:1000

    Storage

    Supplied in 136 mM NaCl, 2.6 mM KCI, 12 mM sodium phosphate (pH 7.4) dibasic, 2 mg/mL BSA, and 50% glycerol. Store at –20°C. Do not aliquot the antibody.

    实验步骤

    Specificity / Sensitivity

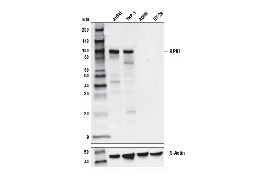
    HPK1 (E1C3L) Rabbit Monoclonal Antibody (Biotinylated) recognizes endogenous levels of total HPK1 protein.

    Species Reactivity:

    Human

    Source / Purification

    Monoclonal antibody is produced by immunizing animals with a synthetic peptide corresponding to residues near the amino terminus of human HPK1 protein.

    Background

    Hematopoietic progenitor kinase 1 (HPK1) is a member of the germinal center kinases that is predominantly expressed in hematopoietic cells. HPK1 is a key component linking T or B cell receptors to SAPK/JNK and IkappaB kinase pathways in lymphocytes (1-3). Through its proline-rich motif, HPK1 associates with multiple SH3 domain-containing adaptor proteins, including GRB2, Nck, Crk, SLP-76, and BLNK. Phosphorylation of Tyr379 by Syk is necessary for HPK1 association with BLNK and SLP-76, as well as for HPK1 activity (4,5). Caspase cleavage of HPK1 also modulates the biological function of HPK1 (3,6,7).

    Alternate Names

    Hematopoietic progenitor kinase; hematopoietic progenitor kinase 1; HPK1; M4K1; MAP4K1; MAPK/ERK kinase kinase kinase 1; MEK kinase kinase 1; MEKKK 1; Mitogen-activated protein kinase kinase kinase kinase 1

    For Research Use Only. Not for Use in Diagnostic Procedures.
    Cell Signaling Technology is a trademark of Cell Signaling Technology, Inc.
    All other trademarks are the property of their respective owners. Visit our Trademark Information page.