Render Target: STATIC
Render Timestamp:
5/21/2026, 8:47:02 PM EDT
5/22/2026, 12:47:02 AM UTC
Commit: 7ed46ecc04b401f23a28df741b5078df405d23e4
XML generation date: 2025-10-29 17:31:36.420
Product last modified at: 2026-03-20T08:06:18.208Z
Cell Signaling Technology Logo - Extra Large
1% for the planet logo
PDP - Template Name: Chemical Modulators
PDP - Template ID: *******c501c72

Selumetinib (AZD6244) #38484

    Product Information

    Product Usage Information

    Selumetinib (AZD6244) is supplied as a lyophilized powder. For an 18 mM stock, reconstitute 10 mg of powder in 1.21 ml of DMSO. Working concentrations and length of treatment can vary depending on the desired effect.

    Storage

    Store lyophilized at -20ºC, desiccated. In lyophilized form, the chemical is stable for 24 months. Once in solution, store at -20ºC and use within 3 months to prevent loss of potency. Aliquot to avoid multiple freeze/thaw cycles.

    Product Description

    Molecular Weight 457.7 g/mol
    Purity >98%
    Molecular Formula C17H15BrCIFN4O3
    CAS 606143-53-6
    Solubility Soluble in DMSO at 9 mg/ml.

    Background

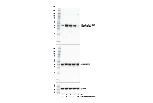
    Selumetinib (AZD6244), also known as ARRY-142886, is a highly potent and selective non-ATP competitive inhibitor of MEK with an IC50 of 14 nM (1). Researchers have shown this small molecule to inhibit growth in cell lines containing B-Raf and Ras mutations with no effect on normal fibroblasts (1). Treatment with Selumetinib (AZD6244) induces apoptosis and differentiation in tumors from cells with B-Raf or K-Ras mutations (2).

    Alternate Names

    5-[(4-Bromo-2-chlorophenyl)amino]-4-fluoro-N-(2-hydroxyethoxy)-1-methyl-1Hbenzimidazole-6-carboxamide; ARRY 142886; ARRY-142886; ARRY142886; AZD 6244; AZD-6244; AZD6244; Selumetinib

    For Research Use Only. Not for Use in Diagnostic Procedures.
    Cell Signaling Technology is a trademark of Cell Signaling Technology, Inc.
    All other trademarks are the property of their respective owners. Visit our Trademark Information page.