SB203580 #5633
Product Information
Product Usage Information
SB203580 is supplied as a lyophilized white powder. For 10 mM stock, resuspend 5 mg of the inhibitor in 1.32 ml DMSO. Aliquot and freeze at -20ºC to avoid multiple freeze/thaw cycles which can degrade the inhibitor. For experiments with cultured cells, we recommend pre-treating the cells with SB203580 at 10 µM for one to two hours prior to stimulation. This product is for in vitro research use only and is not intended for use in humans or animals.
Storage
Store lyophilized or in solution at -20ºC, desiccated. Protect from light. In lyophilized form, the chemical is stable for 24 months. Once in solution, use within 3 months to prevent loss of potency. Aliquot to avoid multiple freeze/thaw cycles.
Product Description
| Molecular Weight | 377.4 g/mol |
| Purity | >98% |
| Molecular Formula | C21H16FN3OS |
| CAS | 152121-47-6 |
| Solubility | Soluble in DMSO at 100mg/ml and EtOH at 10mg/ml. |
Background
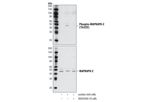
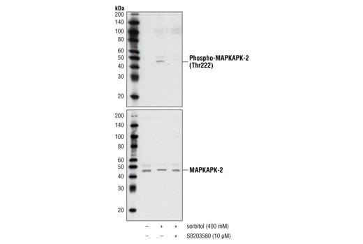
p38 MAP kinase (MAPK), also called RK (1) or CSBP (2), is the mammalian orthologue of the yeast HOG kinase that participates in a signaling cascade controlling cellular responses to cytokines and stress (1-4). Four isoforms of p38 MAPK, p38α, β, γ (also known as Erk6 or SAPK3), and δ (also known as SAPK4) have been identified. Similar to the SAPK/JNK pathway, p38 MAPK is activated by a variety of cellular stresses, including osmotic shock, inflammatory cytokines, lipopolysaccharide (LPS), UV light, and growth factors (1-5). MKK3, MKK6, and SEK activate p38 MAPK by phosphorylation at Thr180 and Tyr182. Activated p38 MAPK has been shown to phosphorylate and activate MAPKAP kinase 2 (3) and to phosphorylate the transcription factors ATF-2 (5), Max (6), and MEF2 (5-8). SB203580 (4-(4-fluorophenyl)-2-(4-methylsulfinylphenyl)-5-(4-pyridyl)-imidazole) is a selective inhibitor of p38 MAPK. This compound inhibits the activation of MAPKAPK-2 by p38 MAPK and subsequent phosphorylation of HSP27 (9). SB203580 inhibits p38 MAPK catalytic activity by binding to the ATP-binding pocket, but does not inhibit phosphorylation of p38 MAPK by upstream kinases (10).
- Rouse, J. et al. (1994) Cell 78, 1027-37.
- Han, J. et al. (1994) Science 265, 808-11.
- Lee, J.C. et al. (1994) Nature 372, 739-46.
- Freshney, N.W. et al. (1994) Cell 78, 1039-49.
- Raingeaud, J. et al. (1995) J Biol Chem 270, 7420-6.
- Zervos, A.S. et al. (1995) Proc Natl Acad Sci U S A 92, 10531-4.
- Zhao, M. et al. (1999) Mol Cell Biol 19, 21-30.
- Yang, S.H. et al. (1999) Mol Cell Biol 19, 4028-38.
- Cuenda, A. et al. (1995) FEBS Lett 364, 229-33.
- Kumar, S. et al. (1999) Biochem Biophys Res Commun 263, 825-31.
Alternate Names
ATF-2; CSBP; HOGK; HSP27; MAPKAPK; Max; MEF2; p38; p38 inhibitor; p38-MAP-kinase; p38-MAPK; p38-β; p38-γ; p38-δ; p38β; p38γ; p38δ; RK; SAPK-2
限制使用
除非 CST 的合法授书代表以书面形式书行明确同意,否书以下条款适用于 CST、其关书方或分书商提供的书品。 任何书充本条款或与本条款不同的客书条款和条件,除非书 CST 的合法授书代表以书面形式书独接受, 否书均被拒书,并且无效。
专品专有“专供研究使用”的专专或专似的专专声明, 且未专得美国食品和专品管理局或其他外国或国内专管机专专专任何用途的批准、准专或专可。客专不得将任何专品用于任何专断或治专目的, 或以任何不符合专专声明的方式使用专品。CST 专售或专可的专品提供专作专最专用专的客专,且专用于研专用途。将专品用于专断、专防或治专目的, 或专专售(专独或作专专成)或其他商专目的而专专专品,均需要 CST 的专独专可。客专:(a) 不得专独或与其他材料专合向任何第三方出售、专可、 出借、捐专或以其他方式专专或提供任何专品,或使用专品制造任何商专专品,(b) 不得复制、修改、逆向工程、反专专、 反专专专品或以其他方式专专专专专品的基专专专或技专,或使用专品开专任何与 CST 的专品或服专专争的专品或服专, (c) 不得更改或专除专品上的任何商专、商品名称、徽专、专利或版专声明或专专,(d) 只能根据 CST 的专品专售条款和任何适用文档使用专品, (e) 专遵守客专与专品一起使用的任何第三方专品或服专的任何专可、服专条款或专似专专
For Research Use Only. Not for Use in Diagnostic Procedures.
Cell Signaling Technology is a trademark of Cell Signaling Technology, Inc.
All other trademarks are the property of their respective owners. Visit our
Trademark Information page.