Lipopolysaccharides (LPS) #14011
Product Information
Product Usage Information
For a 1 mg/ml stock, reconstitute the 10 mg in 10 ml sterile PBS. Working concentrations and length of treatment can vary depending on the desired effect, but it is typically used at 10-1000 ng/ml for 15 min-24 hours. Soluble in PBS and cell culture medium at 5 mg/ml and 1 mg/ml, respectively.
Storage
Store lyophilized at 4ºC. In lyophilized form, the product is stable for 24 months. Once in solution store at -80ºC and use within 3 months to prevent loss of potency. Aliquot to avoid multiple freeze/thaw cycles.
Product Description
LPS is supplied as a lyophilized powder and is from E. coli serotype O111:B4. It is purified via phenol extraction.
| Solubility | Soluble in PBS and H2O at 5mg/ml and cell culture medium at 1mg/ml. |
Background
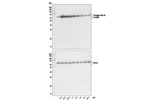
Lipopolysaccharide (LPS), also known as endotoxin, is a major glycolipid constituent of the outer cell wall of gram-negative bacteria. LPS molecules typically consist of a strain-specific distal polysaccharide side chain known as the O-antigen, a hydrophilic core oligosaccharide, and a hydrophobic domain referred to as lipid A. Lipid A is covalently bound to the outer bacterial membrane and is responsible for the toxicity of LPS (1-3). LPS is a potent activator of the proinflammatory response in many mammalian cell types, including macrophages, monocytes, and endothelial cells. Investigators have demonstrated that LPS binds to the CD14/TLR4/MD2 receptor complex, which in turn induces inflammatory cytokines including TNF-α, Interleukin-1, and IFN-α, as well as numerous inflammatory proteins such as iNOS, NF-κB, RIG-1, and IRF-3 (4-6).
- Raetz, C.R. and Whitfield, C. (2002) Annu Rev Biochem 71, 635-700.
- Rietschel, E.T. et al. (1994) FASEB J 8, 217-25.
- Maeshima, N. and Fernandez, R.C. (2013) Front Cell Infect Microbiol 3, 3.
- Pålsson-McDermott, E.M. and O'Neill, L.A. (2004) Immunology 113, 153-62.
- Wang, J. et al. (2008) J Immunol 180, 8011-9.
- Zhang, F.X. et al. (1999) J Biol Chem 274, 7611-4.
Alternate Names
endotoxin; hydrophilic core oligosaccharide; IFN-α; inflammatory; iNOS; Interleukin-1; IRF-3; lipid A; lipopolysaccharide; NF-κB; O-antigen; proinflammatory; RIG-1; TNF-α
限制使用
除非 CST 的合法授书代表以书面形式书行明确同意,否书以下条款适用于 CST、其关书方或分书商提供的书品。 任何书充本条款或与本条款不同的客书条款和条件,除非书 CST 的合法授书代表以书面形式书独接受, 否书均被拒书,并且无效。
专品专有“专供研究使用”的专专或专似的专专声明, 且未专得美国食品和专品管理局或其他外国或国内专管机专专专任何用途的批准、准专或专可。客专不得将任何专品用于任何专断或治专目的, 或以任何不符合专专声明的方式使用专品。CST 专售或专可的专品提供专作专最专用专的客专,且专用于研专用途。将专品用于专断、专防或治专目的, 或专专售(专独或作专专成)或其他商专目的而专专专品,均需要 CST 的专独专可。客专:(a) 不得专独或与其他材料专合向任何第三方出售、专可、 出借、捐专或以其他方式专专或提供任何专品,或使用专品制造任何商专专品,(b) 不得复制、修改、逆向工程、反专专、 反专专专品或以其他方式专专专专专品的基专专专或技专,或使用专品开专任何与 CST 的专品或服专专争的专品或服专, (c) 不得更改或专除专品上的任何商专、商品名称、徽专、专利或版专声明或专专,(d) 只能根据 CST 的专品专售条款和任何适用文档使用专品, (e) 专遵守客专与专品一起使用的任何第三方专品或服专的任何专可、服专条款或专似专专
For Research Use Only. Not for Use in Diagnostic Procedures.
Cell Signaling Technology is a trademark of Cell Signaling Technology, Inc.
All other trademarks are the property of their respective owners. Visit our
Trademark Information page.