Cell Signaling Technology Logo - Extra Large

AICAR #9944

    Product Information

    Product Usage Information

    This product is for in vitro research use only and is not intended for use in humans or animals. This product is not intended for use as therapeutic or in diagnostic procedures. This product is supplied as a lyphophilized powder. For a 75mM stock, reconstitute the 25 mg in 1.29 ml sterile diH20. Heating to 37C and/or additional vortexing may be required. Working concentrations and length of treatment can vary depending on the desired effect, but it is typically used at 0.5-2mM for 30 minutes-24 hours.

    Please note: Appearance of AICAR solution should be a clear to yellow/brown solution without precipitation. If precipitation is observed, warm tightly capped vial at 37C until AICAR goes into solution. Agitation of warmed solution by vortex may be necessary.

    Storage

    Store solution at -20ºC. Protect from light. Use within 12 months to prevent loss of potency. Aliquot to avoid multiple freeze/thaw cycles.

    Product Description

    Molecular Weight 258.23 g/mol
    Purity >99%
    Molecular Formula C9H14N4O5
    CAS 2627-69-2
    Solubility Soluble in DMSO at 40mg/ml and H2O at 20mg/ml.

    Background

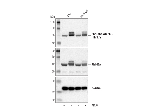
    AICAR (5-Aminoimidazole-4-carboxyamide ribonucleoside) is an adenosine analog taken up by muscle and phosphorylated to form 5-aminoimidazole-4-carboxamide-1--D-ribofuranosyl-5'-monophosphate (ZMP), which stimulates AMPK activity and glucose transport in skeletal muscle (1). AICAR has been used in studies measuring glucose uptake, diabetes and insulin resistance, and energy regulation during exercise. AICAR acts by entering nucleoside pools and significantly increasing levels of adenosine during periods of ATP breakdown (2).

    Alternate Names

    5-aminoimidazole-4-carboxamide-1-b-D-ribofuranoside; Acadesine; activator; adenosine; AICA-Riboside; AICAR; AMP; amp-activated-protein-kinase; AMPK; AMPK alpha; AMPKa; AMPKalpha; stimulator; Z-Riboside

    For Research Use Only. Not for Use in Diagnostic Procedures.
    Cell Signaling Technology is a trademark of Cell Signaling Technology, Inc.
    All other trademarks are the property of their respective owners. Visit our Trademark Information page.