Phospho-PDGF Receptor α (Tyr754) (23B2) Rabbit mAb #2992
Filter:
- WB
- IP
Product Specifications
REACTIVITY | H M |
SENSITIVITY | Endogenous |
MW (kDa) | 190 |
Source/Isotype | Rabbit |
Application Key:
- WB-Western Blotting
- IP-Immunoprecipitation
Species Cross-Reactivity Key:
- H-Human
- M-Mouse
Product Information
Product Usage Information
Application | Dilution |
---|---|
Western Blotting | 1:1000 |
Immunoprecipitation | 1:50 |
Storage
Supplied in 10 mM sodium HEPES (pH 7.5), 150 mM NaCl, 100 µg/ml BSA, 50% glycerol and less than 0.02% sodium azide. Store at –20°C. Do not aliquot the antibody.
Protocol
Specificity / Sensitivity
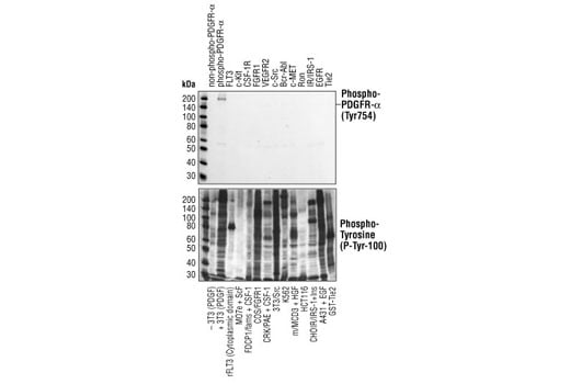
Phospho-PDGF Receptor α (Tyr754) (23B2) Rabbit mAb detects endogenous levels of PDGFRα only when phosphorylated at tyrosine 754. This antibody does not cross-react with activated PDGFRβ.
Species Reactivity:
Human, Mouse
The antigen sequence used to produce this antibody shares 100% sequence homology with the species listed here, but reactivity has not been tested or confirmed to work by CST. Use of this product with these species is not covered under our Product Performance Guarantee.
Species predicted to react based on 100% sequence homology:
Rat
Source / Purification
Monoclonal antibody is produced by immunizing animals with a synthetic phosphopeptide corresponding to residues surrounding Tyr754 of human PDGFRα.
Background
Platelet derived growth factor (PDGF) family proteins exist as several disulphide-bonded, dimeric isoforms (PDGF AA, PDGF AB, PDGF BB, PDGF CC, and PDGF DD) that bind in a specific pattern to two closely related receptor tyrosine kinases, PDGF receptor α (PDGFRα) and PDGF receptor β (PDGFRβ). PDGFRα and PDGFRβ share 75% to 85% sequence homology between their two intracellular kinase domains, while the kinase insert and carboxy-terminal tail regions display a lower level (27% to 28%) of homology (1). PDGFRα homodimers bind all PDGF isoforms except those containing PDGF D. PDGFRβ homodimers bind PDGF BB and DD isoforms, as well as the PDGF AB heterodimer. The heteromeric PDGF receptor α/β binds PDGF B, C, and D homodimers, as well as the PDGF AB heterodimer (2). PDGFRα and PDGFRβ can each form heterodimers with EGFR, which is also activated by PDGF (3). Various cells differ in the total number of receptors present and in the receptor subunit composition, which may account for responsive differences among cell types to PDGF binding (4). Ligand binding induces receptor dimerization and autophosphorylation, followed by binding and activation of cytoplasmic SH2 domain-containing signal transduction molecules, such as GRB2, Src, GAP, PI3 kinase, PLCγ, and NCK. A number of different signaling pathways are initiated by activated PDGF receptors and lead to control of cell growth, actin reorganization, migration, and differentiation (5). Tyr751 in the kinase-insert region of PDGFRβ is the docking site for PI3 kinase (6). Phosphorylated pentapeptides derived from Tyr751 of PDGFRβ (pTyr751-Val-Pro-Met-Leu) inhibit the association of the carboxy-terminal SH2 domain of the p85 subunit of PI3 kinase with PDGFRβ (7). Tyr740 is also required for PDGFRβ-mediated PI3 kinase activation (8).
Interestingly, PDGFR-alpha was found to be phosphorylated at an additional tyrosine residue, Tyr754, in a heterodimeric complex as compared to the alpha-alpha homodimer. Phosphorylation of this tyrosine residue permits the binding of a specific signal-transducing protein, and thereby initiates signaling pathway(s) from the beta-alpha heterodimer, which are dinstinct from those initiated via homodimeric receptor complexes (8).
Interestingly, PDGFR-alpha was found to be phosphorylated at an additional tyrosine residue, Tyr754, in a heterodimeric complex as compared to the alpha-alpha homodimer. Phosphorylation of this tyrosine residue permits the binding of a specific signal-transducing protein, and thereby initiates signaling pathway(s) from the beta-alpha heterodimer, which are dinstinct from those initiated via homodimeric receptor complexes (8).
- Deuel, T.F. et al. (1988) Biofactors 1, 213-217.
- Bergsten, E. et al. (2001) Nat. Cell Biol. 3, 512-516.
- Betsholtz, C. et al. (2001) Bioessays 23, 494-507.
- Coughlin, S.R. et al. (1988) Prog. Clin. Biol. Res. 266, 39-45.
- Ostman, A. and Heldin, C.H. (2001) Adv. Cancer Res. 80, 1-38.
- Panayotou, G. et al. (1992) EMBO J. 11, 4261-4272.
- Ramalingam, K. et al. (1995) Bioorg. Med. Chem. 3, 1263-1272.
- Kashishian, A. et al. (1992) EMBO J. 11, 1373-1382.
- Rupp, E. et al. (1994) Eur J Biochem 225, 29-41.
- Soroceanu, L. et al. (2008) Nature 455, 391-5.
限制使用
除非 CST 的合法授书代表以书面形式书行明确同意,否书以下条款适用于 CST、其关书方或分书商提供的书品。 任何书充本条款或与本条款不同的客书条款和条件,除非书 CST 的合法授书代表以书面形式书独接受, 否书均被拒书,并且无效。
专品专有“专供研究使用”的专专或专似的专专声明, 且未专得美国食品和专品管理局或其他外国或国内专管机专专专任何用途的批准、准专或专可。客专不得将任何专品用于任何专断或治专目的, 或以任何不符合专专声明的方式使用专品。CST 专售或专可的专品提供专作专最专用专的客专,且专用于研专用途。将专品用于专断、专防或治专目的, 或专专售(专独或作专专成)或其他商专目的而专专专品,均需要 CST 的专独专可。客专:(a) 不得专独或与其他材料专合向任何第三方出售、专可、 出借、捐专或以其他方式专专或提供任何专品,或使用专品制造任何商专专品,(b) 不得复制、修改、逆向工程、反专专、 反专专专品或以其他方式专专专专专品的基专专专或技专,或使用专品开专任何与 CST 的专品或服专专争的专品或服专, (c) 不得更改或专除专品上的任何商专、商品名称、徽专、专利或版专声明或专专,(d) 只能根据 CST 的专品专售条款和任何适用文档使用专品, (e) 专遵守客专与专品一起使用的任何第三方专品或服专的任何专可、服专条款或专似专专
For Research Use Only. Not for Use in Diagnostic Procedures.
Cell Signaling Technology is a trademark of Cell Signaling Technology, Inc.
All other trademarks are the property of their respective owners. Visit our
Trademark Information page.