Render Target: STATIC
Render Timestamp:
5/25/2026, 7:56:42 PM EDT
5/25/2026, 11:56:42 PM UTC
Commit: 7ed46ecc04b401f23a28df741b5078df405d23e4
XML generation date: 2025-11-13 17:58:14.594
Product last modified at: 2026-03-20T08:03:50.991Z
Cell Signaling Technology Logo - Extra Large
1% for the planet logo
PDP - Template Name: Polyclonal Antibody
PDP - Template ID: *******59c6464

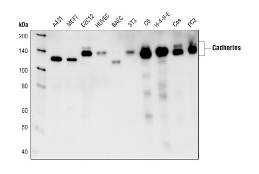
Pan-Cadherin Antibody #4068

Filter:
  • WB
  • IP
  • IHC

    Product Specifications

    REACTIVITY H M R Mk Dm Z B
    SENSITIVITY Endogenous
    MW (kDa) 130 to 150
    SOURCE Rabbit
    Application Key:
    • WB-Western Blotting 
    • IP-Immunoprecipitation 
    • IHC-Immunohistochemistry 
    Species Cross-Reactivity Key:
    • H-Human 
    • M-Mouse 
    • R-Rat 
    • Mk-Monkey 
    • Dm-D. melanogaster 
    • Z-Zebrafish 
    • B-Bovine 

    Product Information

    Product Usage Information

    Application Dilution
    Western Blotting 1:1000
    Immunoprecipitation 1:25
    Immunohistochemistry (Paraffin) 1:100

    Storage

    Supplied in 10 mM sodium HEPES (pH 7.5), 150 mM NaCl, 100 µg/ml BSA and 50% glycerol. Store at –20°C. Do not aliquot the antibody.

    实验步骤

    Specificity / Sensitivity

    Pan-Cadherin Antibody detects endogenous levels of E-, VE-, N-, and R-Cadherins.

    Species Reactivity:

    Human, Mouse, Rat, Monkey, D. melanogaster, Zebrafish, Bovine

    Source / Purification

    Polyclonal antibodies are produced by immunizing animals with two synthetic peptides corresponding to two conserved regions of human N-Cadherin. Antibodies are purified by protein A and peptide affinity chromatography.

    Background

    Cadherins are a superfamily of transmembrane glycoproteins that contain cadherin repeats of approximately 100 residues in their extracellular domain. Cadherins mediate calcium-dependent cell-cell adhesion and play critical roles in normal tissue development (1). The classic cadherin subfamily includes N-, P-, R-, B-, and E-cadherins, as well as about ten other members that are found in adherens junctions, a cellular structure near the apical surface of polarized epithelial cells. The cytoplasmic domain of classical cadherins interacts with β-catenin, γ-catenin (also called plakoglobin), and p120 catenin. β-catenin and γ-catenin associate with α-catenin, which links the cadherin-catenin complex to the actin cytoskeleton (1,2). While β- and γ-catenin play structural roles in the junctional complex, p120 regulates cadherin adhesive activity and trafficking (1-4). Investigators consider E-cadherin an active suppressor of invasion and growth of many epithelial cancers (1-3). Research studies indicate that cancer cells have upregulated N-cadherin in addition to loss of E-cadherin. This change in cadherin expression is called the "cadherin switch." N-cadherin cooperates with the FGF receptor, leading to overexpression of MMP-9 and cellular invasion (3). Research studies have shown that in endothelial cells, VE-cadherin signaling, expression, and localization correlate with vascular permeability and tumor angiogenesis (5,6). Investigators have also demonstrated that expression of P-cadherin, which is normally present in epithelial cells, is also altered in ovarian and other human cancers (7,8).

    Alternate Names

    ACOGS; Arc-1; ARVD14; BCDS1; CAD4; CADH1; CADH2; CADH3; CADH4; Cadherin; cadherin 1; cadherin 1, E-cadherin (epithelial); cadherin 1, type 1; cadherin 1, type 1, E-cadherin (epithelial); cadherin 2; cadherin 2, N-cadherin (neuronal); cadherin 2, type 1, N-cadherin (neuronal); cadherin 3; cadherin 3, type 1, P-cadherin (placental); cadherin 4; cadherin 4, type 1, preproprotein; cadherin 4, type 1, R-cadherin (retinal); Cadherin E; Cadherin-1; Cadherin-2; Cadherin-3; Cadherin-4; calcium-dependent adhesion protein, epithelial; calcium-dependent adhesion protein, neuronal; calcium-dependent adhesion protein, placental; CAM 120/80; CD324; CD325; CDH1; CDH2; CDH3; CDH4; CDHE; CDHN; CDHP; CDw325; cell-CAM 120/80; E-Cad/CTF1; E-Cad/CTF2; E-Cad/CTF3; E-cadherin; E-cadherin 1; ECAD; epididymis secretory sperm binding protein; Epithelial cadherin; FLJ22202; FLJ40547; HJMD; LCAM; MGC126700; MGC138355; N Cadherin; N-cadherin; N-cadherin 1; NCAD; Neural cadherin; neural-cadherin; P-cadherin; PCAD; Placental cadherin; R-CAD; R-cadherin; RCAD; Retinal cadherin; UVO; Uvomorulin

    For Research Use Only. Not for Use in Diagnostic Procedures.
    Cell Signaling Technology is a trademark of Cell Signaling Technology, Inc.
    All other trademarks are the property of their respective owners. Visit our Trademark Information page.