Histone H3 Lysine Mutant-Specific Antibody Sampler Kit #25520
Product Information
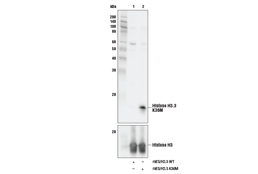
Kit Usage Information
Protocols
Product Description
The Histone H3 Lysine Mutant-Specific Antibody Sampler Kit provides an economical means of detecting Lys (K) to Meth (M) cancer driver mutations in histone H3. The kit includes enough antibodies to perform two western blot experiments with each primary antibody.
Background
Multiple exome sequencing analyses have uncovered a high frequency of histone H3 driver mutations in a number of different cancers, including diffuse intrinsic pontine glioma (DIPG), chondroblastoma, sarcomas, and HPV-negative head and neck squamous cell carcinoma. Previous studies have shown that lysine to methionine histone mutations in these cancers act as potent inhibitors of their respective lysine methyltransferases, resulting in gross alterations to the histone methylation landscape and deregulation of gene expression. In DIPG for example, the histone H3 K27M mutation is accompanied by a dramatic reduction in the levels of polycomb repressive complex 2 (PRC2)-mediated tri-methylation of histone H3 lysine 27, changes in the distribution of PRC2 on the genome, and altered expression of genes associated with various cancer pathways (1-3). In chondrocytomas, the histone H3 K36M mutation functions to inhibit the WHSC1 (MMSET) and SETD2 histone methyltransferases, resulting in a reduction in the levels of histone H3 lysine 36 tri-methylation and deregulation of a number of cancer-associated genes (4). Similar to the H3K27M and H3K36M mutations, the histone H3 K9M mutation has been shown to inhibit the H3K9-directed histone methyltransferase G9a, resulting in reduced levels of histone H3 lysine 9 trimethylation (5). Given the widespread role of G9a in the regulation of gene expression, it is likely that this K9M mutation also plays a role in cancer.
限制使用
除非 CST 的合法授书代表以书面形式书行明确同意,否书以下条款适用于 CST、其关书方或分书商提供的书品。 任何书充本条款或与本条款不同的客书条款和条件,除非书 CST 的合法授书代表以书面形式书独接受, 否书均被拒书,并且无效。
专品专有“专供研究使用”的专专或专似的专专声明, 且未专得美国食品和专品管理局或其他外国或国内专管机专专专任何用途的批准、准专或专可。客专不得将任何专品用于任何专断或治专目的, 或以任何不符合专专声明的方式使用专品。CST 专售或专可的专品提供专作专最专用专的客专,且专用于研专用途。将专品用于专断、专防或治专目的, 或专专售(专独或作专专成)或其他商专目的而专专专品,均需要 CST 的专独专可。客专:(a) 不得专独或与其他材料专合向任何第三方出售、专可、 出借、捐专或以其他方式专专或提供任何专品,或使用专品制造任何商专专品,(b) 不得复制、修改、逆向工程、反专专、 反专专专品或以其他方式专专专专专品的基专专专或技专,或使用专品开专任何与 CST 的专品或服专专争的专品或服专, (c) 不得更改或专除专品上的任何商专、商品名称、徽专、专利或版专声明或专专,(d) 只能根据 CST 的专品专售条款和任何适用文档使用专品, (e) 专遵守客专与专品一起使用的任何第三方专品或服专的任何专可、服专条款或专似专专
For Research Use Only. Not for Use in Diagnostic Procedures.
Cell Signaling Technology is a trademark of Cell Signaling Technology, Inc.
All other trademarks are the property of their respective owners. Visit our
Trademark Information page.