Recombinant: Superior lot-to-lot consistency, continuous supply, and animal-free manufacturing.
FasL (D1N5E) Rabbit mAb #68405
Filter:
- WB
Product Specifications
REACTIVITY | H |
SENSITIVITY | Endogenous |
MW (kDa) | 40 |
Source/Isotype | Rabbit IgG |
Application Key:
- WB-Western Blotting
Species Cross-Reactivity Key:
- H-Human
Product Information
Product Usage Information
Application | Dilution |
---|---|
Western Blotting | 1:1000 |
Storage
Supplied in 10 mM sodium HEPES (pH 7.5), 150 mM NaCl, 100 µg/ml BSA, 50% glycerol and less than 0.02% sodium azide. Store at –20°C. Do not aliquot the antibody.
Protocol
Specificity / Sensitivity
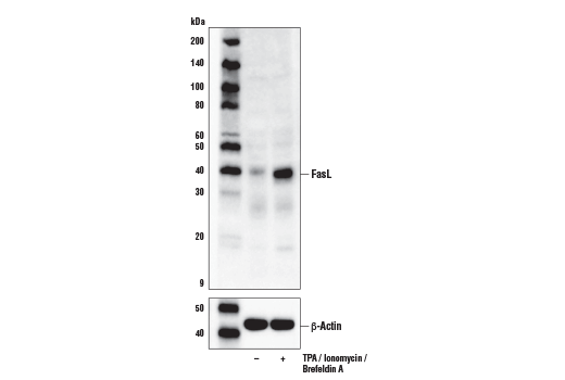
FasL (D1N5E) Rabbit mAb recognizes endogenous levels of total FasL protein.
Species Reactivity:
Human
Source / Purification
Monoclonal antibody is produced by immunizing animals with recombinant protein specific to the carboxy terminus of human FasL protein. The antigen is within the extracellular domain of FasL.
Background
Association of the receptor Fas with its ligand FasL triggers an apoptotic pathway that plays an important role in immune regulation, development, and progression of cancers (1,2). Loss of function mutation in either Fas (lpr mice) or FasL (gld mice) leads to lymphadenopathy and splenomegaly as a result of decreased apoptosis in CD4-CD8- T lymphocytes (3,4). FasL (CD95L, Apo-1L) is a type II transmembrane protein of 280 amino acids (runs at approximately 40 kDa upon glycosylation) that belongs to the TNF family, which also includes TNF-α, TRAIL, and TWEAK. Binding of FasL to its receptor triggers the formation of a death-inducing signaling complex (DISC) involving the recruitment of the adaptor protein FADD and caspase-8 (5). Activation of caspase-8 from this complex initiates a caspase cascade resulting in the activation of caspase-3 and subsequent cleavage of proteins leading to apoptosis. Unlike Fas, which is constitutively expressed by various cell types, FasL is predominantly expressed on activated T lymphocytes, NK cells, and at immune privileged sites (6). FasL is also expressed in several tumor types as a mechanism to evade immune surveillance (7). Similar to other members of the TNF family, FasL can be cleaved by metalloproteinases producing a 26 kDa trimeric soluble form (8,9).
- Suda, T. et al. (1993) Cell 75, 1169-78.
- Lee, H.O. and Ferguson, T.A. (2003) Cytokine Growth Factor Rev 14, 325-35.
- Watanabe-Fukunaga, R. et al. (1992) Nature 356, 314-7.
- Hahne, M. et al. (1995) Int Immunol 7, 1381-6.
- Nagata, S. (1997) Cell 88, 355-65.
- Green, D.R. and Ferguson, T.A. (2001) Nat Rev Mol Cell Biol 2, 917-24.
- Walker, P.R. et al. (1997) J Immunol 158, 4521-4.
- Kayagaki, N. et al. (1995) J Exp Med 182, 1777-83.
- Tanaka, M. et al. (1995) EMBO J 14, 1129-35.
限制使用
除非 CST 的合法授书代表以书面形式书行明确同意,否书以下条款适用于 CST、其关书方或分书商提供的书品。 任何书充本条款或与本条款不同的客书条款和条件,除非书 CST 的合法授书代表以书面形式书独接受, 否书均被拒书,并且无效。
专品专有“专供研究使用”的专专或专似的专专声明, 且未专得美国食品和专品管理局或其他外国或国内专管机专专专任何用途的批准、准专或专可。客专不得将任何专品用于任何专断或治专目的, 或以任何不符合专专声明的方式使用专品。CST 专售或专可的专品提供专作专最专用专的客专,且专用于研专用途。将专品用于专断、专防或治专目的, 或专专售(专独或作专专成)或其他商专目的而专专专品,均需要 CST 的专独专可。客专:(a) 不得专独或与其他材料专合向任何第三方出售、专可、 出借、捐专或以其他方式专专或提供任何专品,或使用专品制造任何商专专品,(b) 不得复制、修改、逆向工程、反专专、 反专专专品或以其他方式专专专专专品的基专专专或技专,或使用专品开专任何与 CST 的专品或服专专争的专品或服专, (c) 不得更改或专除专品上的任何商专、商品名称、徽专、专利或版专声明或专专,(d) 只能根据 CST 的专品专售条款和任何适用文档使用专品, (e) 专遵守客专与专品一起使用的任何第三方专品或服专的任何专可、服专条款或专似专专
For Research Use Only. Not for Use in Diagnostic Procedures.
Cell Signaling Technology is a trademark of Cell Signaling Technology, Inc.
All other trademarks are the property of their respective owners. Visit our
Trademark Information page.