Recombinant: Superior lot-to-lot consistency, continuous supply, and animal-free manufacturing.
DLK1 (F8J8Y) Rabbit mAb #32146
Filter:
- WB
- IP
Product Specifications
| REACTIVITY | H M R |
| SENSITIVITY | Endogenous |
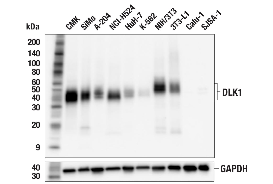
| MW (kDa) | 40-60 |
| Source/Isotype | Rabbit IgG |
Application Key:
- WB-Western Blotting
- IP-Immunoprecipitation
Species Cross-Reactivity Key:
- H-Human
- M-Mouse
- R-Rat
Product Information
Product Usage Information
| Application | Dilution |
|---|---|
| Western Blotting | 1:1000 |
| Simple Western™ | 1:10 - 1:50 |
| Immunoprecipitation | 1:100 |
Storage
Supplied in 10 mM sodium HEPES (pH 7.5), 150 mM NaCl, 100 µg/mL BSA, 50% glycerol, and less than 0.02% sodium azide. Store at –20°C. Do not aliquot the antibody.
Protocol
Specificity / Sensitivity
DLK1 (F8J8Y) Rabbit mAb recognizes endogenous levels of total DLK1 protein.
Species Reactivity:
Human, Mouse, Rat
Source / Purification
Monoclonal antibody is produced by immunizing animals with a synthetic peptide corresponding to residues surrounding Pro270 of human DLK1 protein.
Background
Delta-like-1 homolog (DLK1), also known as fetal antigen 1 (FA1) and preadipocyte factor 1 (pref-1), is a member of the epidermal growth factor (EGF)-like family of proteins, containing six tandem EGF-like repeats (1,2). DLK1 is a paternally expressed, imprinted gene that plays an important role in normal development and homeostasis maintenance of adipose tissue mass (3). DLK1-deficient mice display growth retardation, obesity, skeletal malformation, and increased serum lipid metabolites (4). It has been reported that the DLK1 ectodomain is shredded from the cell surface and inhibits adipocyte differentiation (5-7).
Humans and rodents express multiple DLK1 isoforms, which are either membrane-bound or contain an ADAM17/TACE cleavage site for release of the soluble ectodomain (8). As high DLK1 expression is pro-oncogenic in some contexts, differential isoform expression may promote cancer cell survival, with both the ectodomain and intracellular domain having distinct functions (9). Under hypoxic conditions, HIF proteins induce ADAM17/TACE cleavage and internalization of the DLK1 intracellular domain, which localizes to the nucleus and alters Akt and p53 signaling cascades in glioma (10). Hypoxia increases DLK1 expression, and phosphorylation of the DLK1 C-terminus at Tyr339 and Ser355 increases neuronal tumor sphere growth (11). Nuclear DLK1 directly interacts with tumor suppressor NCoR1, correlating with poor prognosis in non-small cell lung cancer (NSCLC) (12). DLK1 has emerged as a target for novel antibody drug conjugates (ADCs) in neuroblastoma and adrenocortical carcinoma (13,14).
Humans and rodents express multiple DLK1 isoforms, which are either membrane-bound or contain an ADAM17/TACE cleavage site for release of the soluble ectodomain (8). As high DLK1 expression is pro-oncogenic in some contexts, differential isoform expression may promote cancer cell survival, with both the ectodomain and intracellular domain having distinct functions (9). Under hypoxic conditions, HIF proteins induce ADAM17/TACE cleavage and internalization of the DLK1 intracellular domain, which localizes to the nucleus and alters Akt and p53 signaling cascades in glioma (10). Hypoxia increases DLK1 expression, and phosphorylation of the DLK1 C-terminus at Tyr339 and Ser355 increases neuronal tumor sphere growth (11). Nuclear DLK1 directly interacts with tumor suppressor NCoR1, correlating with poor prognosis in non-small cell lung cancer (NSCLC) (12). DLK1 has emerged as a target for novel antibody drug conjugates (ADCs) in neuroblastoma and adrenocortical carcinoma (13,14).
- Laborda, J. et al. (1993) J Biol Chem 268, 3817-20.
- Smas, C.M. and Sul, H.S. (1993) Cell 73, 725-34.
- Kobayashi, S. et al. (2000) Genes Cells 5, 1029-37.
- Moon, Y.S. et al. (2002) Mol Cell Biol 22, 5585-92.
- Smas, C.M. et al. (1997) Mol Cell Biol 17, 977-88.
- Mei, B. et al. (2002) Biochem J 364, 137-44.
- Wang, Y. et al. (2006) J Nutr 136, 2953-6.
- Grassi, E.S. and Pietras, A. (2022) J Histochem Cytochem 70, 17-28.
- Pittaway, J.F.H. et al. (2021) Endocr Relat Cancer 28, R271-R287.
- Grassi, E.S. et al. (2020) Oncogene 39, 4028-4044.
- Kim, Y. et al. (2009) Cancer Res 69, 9271-80.
- Tan, J. et al. (2019) Biosci Rep 39, BSR20192362. doi: 10.1042/BSR20192362.
- Hamilton, A.K. et al. (2024) Cancer Cell 42, 1970-1982.e7.
- Sun, N.Y. et al. (2024) bioRxiv , 0.09.617077. doi: 10.1101/2024.10.09.617077.
限制使用
除非 CST 的合法授书代表以书面形式书行明确同意,否书以下条款适用于 CST、其关书方或分书商提供的书品。 任何书充本条款或与本条款不同的客书条款和条件,除非书 CST 的合法授书代表以书面形式书独接受, 否书均被拒书,并且无效。
专品专有“专供研究使用”的专专或专似的专专声明, 且未专得美国食品和专品管理局或其他外国或国内专管机专专专任何用途的批准、准专或专可。客专不得将任何专品用于任何专断或治专目的, 或以任何不符合专专声明的方式使用专品。CST 专售或专可的专品提供专作专最专用专的客专,且专用于研专用途。将专品用于专断、专防或治专目的, 或专专售(专独或作专专成)或其他商专目的而专专专品,均需要 CST 的专独专可。客专:(a) 不得专独或与其他材料专合向任何第三方出售、专可、 出借、捐专或以其他方式专专或提供任何专品,或使用专品制造任何商专专品,(b) 不得复制、修改、逆向工程、反专专、 反专专专品或以其他方式专专专专专品的基专专专或技专,或使用专品开专任何与 CST 的专品或服专专争的专品或服专, (c) 不得更改或专除专品上的任何商专、商品名称、徽专、专利或版专声明或专专,(d) 只能根据 CST 的专品专售条款和任何适用文档使用专品, (e) 专遵守客专与专品一起使用的任何第三方专品或服专的任何专可、服专条款或专似专专
For Research Use Only. Not for Use in Diagnostic Procedures.
Cell Signaling Technology is a trademark of Cell Signaling Technology, Inc.
All other trademarks are the property of their respective owners. Visit our
Trademark Information page.