Recombinant: Superior lot-to-lot consistency, continuous supply, and animal-free manufacturing.
β-Amyloid (1-43) (E8C2D) Rabbit mAb #32098
Filter:
- WB
- IF
Product Specifications
| REACTIVITY | H |
| SENSITIVITY | Endogenous |
| MW (kDa) | 6 |
| Source/Isotype | Rabbit IgG |
Application Key:
- WB-Western Blotting
- IF-Immunofluorescence
Species Cross-Reactivity Key:
- H-Human
Product Information
Product Usage Information
| Application | Dilution |
|---|---|
| Western Blotting | 1:1000 |
| Immunofluorescence (Frozen) | 1:200 - 1:800 |
Storage
Supplied in 10 mM sodium HEPES (pH 7.5), 150 mM NaCl, 100 µg/ml BSA, 50% glycerol and less than 0.02% sodium azide. Store at –20°C. Do not aliquot the antibody.
For a carrier free (BSA and azide free) version of this product see product #29691.
For a carrier free (BSA and azide free) version of this product see product #29691.
Protocol
Specificity / Sensitivity
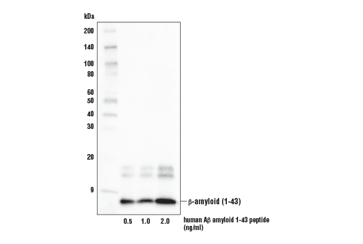
β-Amyloid (1-43) (E8C2D) Rabbit mAb recognizes endogenous levels of total human Aβ-43 protein. This product detects transgenically expressed human APP in mouse models. This antibody weakly cross-reacts with human Aβ-42 protein.
Species Reactivity:
Human
The antigen sequence used to produce this antibody shares 100% sequence homology with the species listed here, but reactivity has not been tested or confirmed to work by CST. Use of this product with these species is not covered under our Product Performance Guarantee.
Species predicted to react based on 100% sequence homology:
Mouse
Source / Purification
Monoclonal antibody is produced by immunizing animals with a synthetic peptide corresponding to residues near the carboxy of human β-Amyloid (1-43) protein.
Background
Amyloid β (Aβ) precursor protein (APP) is a 100-140 kDa transmembrane glycoprotein that exists as several isoforms (1). The amino acid sequence of APP contains the amyloid domain, which can be released by a two-step proteolytic cleavage (1). The extracellular deposition and accumulation of the released Aβ fragments form the main components of amyloid plaques in Alzheimer's disease (1). APP can be phosphorylated at several sites, which may affect the proteolytic processing and secretion of this protein (2-5). Phosphorylation at Thr668 (a position corresponding to the APP695 isoform) by cyclin-dependent kinase is cell-cycle dependent and peaks during G2/M phase (4). APP phosphorylated at Thr668 exists in adult rat brain and correlates with cultured neuronal differentiation (5,6).
Aβ43 has been suggested as a biomarker in early onset of Alzheimer's disease, where patients have lower levels of Aβ43 in cerebrospinal fluid (7,8,9). Several studies have shown that Aβ toxicity of Aβ43 is as high as Aβ42 or Aβ40 in different models of Alzheimer's disease, including mouse models and human disease. (10).
Aβ43 has been suggested as a biomarker in early onset of Alzheimer's disease, where patients have lower levels of Aβ43 in cerebrospinal fluid (7,8,9). Several studies have shown that Aβ toxicity of Aβ43 is as high as Aβ42 or Aβ40 in different models of Alzheimer's disease, including mouse models and human disease. (10).
- Selkoe, D.J. (1996) J Biol Chem 271, 18295-8.
- Caporaso, G.L. et al. (1992) Proc Natl Acad Sci USA 89, 3055-9.
- Hung, A.Y. and Selkoe, D.J. (1994) EMBO J 13, 534-42.
- Suzuki, T. et al. (1994) EMBO J 13, 1114-22.
- Ando, K. et al. (1999) J Neurosci 19, 4421-7.
- Iijima, K. et al. (2000) J Neurochem 75, 1085-91.
- Lauridsen, C. et al. (2017) Front Aging Neurosci 9, 210.
- Almdahl, I.S. et al. (2017) Front Aging Neurosci 9, 9.
- Pachahara, S.K. et al. (2015) PLoS One 10, e0136567.
- Trambauer, J. et al. (2017) Methods Enzymol 584, 157-183.
Alternate Names
Abeta 43; Amyloid 1-43; Amyloid 43; APP43; Beta amyloid 43
限制使用
除非 CST 的合法授书代表以书面形式书行明确同意,否书以下条款适用于 CST、其关书方或分书商提供的书品。 任何书充本条款或与本条款不同的客书条款和条件,除非书 CST 的合法授书代表以书面形式书独接受, 否书均被拒书,并且无效。
专品专有“专供研究使用”的专专或专似的专专声明, 且未专得美国食品和专品管理局或其他外国或国内专管机专专专任何用途的批准、准专或专可。客专不得将任何专品用于任何专断或治专目的, 或以任何不符合专专声明的方式使用专品。CST 专售或专可的专品提供专作专最专用专的客专,且专用于研专用途。将专品用于专断、专防或治专目的, 或专专售(专独或作专专成)或其他商专目的而专专专品,均需要 CST 的专独专可。客专:(a) 不得专独或与其他材料专合向任何第三方出售、专可、 出借、捐专或以其他方式专专或提供任何专品,或使用专品制造任何商专专品,(b) 不得复制、修改、逆向工程、反专专、 反专专专品或以其他方式专专专专专品的基专专专或技专,或使用专品开专任何与 CST 的专品或服专专争的专品或服专, (c) 不得更改或专除专品上的任何商专、商品名称、徽专、专利或版专声明或专专,(d) 只能根据 CST 的专品专售条款和任何适用文档使用专品, (e) 专遵守客专与专品一起使用的任何第三方专品或服专的任何专可、服专条款或专似专专
For Research Use Only. Not for Use in Diagnostic Procedures.
Cell Signaling Technology is a trademark of Cell Signaling Technology, Inc.
Alexa Fluor is a registered trademark of Life Technologies Corporation.
All other trademarks are the property of their respective owners. Visit our
Trademark Information page.