Recombinant: Superior lot-to-lot consistency, continuous supply, and animal-free manufacturing.
Acetyl-α-Tubulin (Lys40) (D20G3) XP® Rabbit mAb #5335
Filter:
- WB
- IP
- IF
- F
Product Specifications
REACTIVITY | H M R Mk Z |
SENSITIVITY | Endogenous |
MW (kDa) | 52 |
Source/Isotype | Rabbit IgG |
Application Key:
- WB-Western Blotting
- IP-Immunoprecipitation
- IF-Immunofluorescence
- F-Flow Cytometry
Species Cross-Reactivity Key:
- H-Human
- M-Mouse
- R-Rat
- Mk-Monkey
- Z-Zebrafish
Product Information
Product Usage Information
Application | Dilution |
---|---|
Western Blotting | 1:1000 |
Immunoprecipitation | 1:50 |
Immunofluorescence (Frozen) | 1:800 - 1:1600 |
Immunofluorescence (Immunocytochemistry) | 1:800 - 1:1600 |
Flow Cytometry (Fixed/Permeabilized) | 1:200 - 1:800 |
Storage
Supplied in 10 mM sodium HEPES (pH 7.5), 150 mM NaCl, 100 µg/ml BSA, 50% glycerol and less than 0.02% sodium azide. Store at –20°C. Do not aliquot the antibody.
Protocol
Specificity / Sensitivity
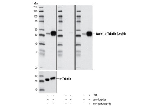
Acetyl-α-Tubulin (Lys40) (D20G3) XP® Rabbit mAb detects endogenous levels of α-tubulin only when acetylated at Lys40. This amino acid is not conserved in β-tubulin.
Species Reactivity:
Human, Mouse, Rat, Monkey, Zebrafish
The antigen sequence used to produce this antibody shares 100% sequence homology with the species listed here, but reactivity has not been tested or confirmed to work by CST. Use of this product with these species is not covered under our Product Performance Guarantee.
Species predicted to react based on 100% sequence homology:
Xenopus
Source / Purification
Monoclonal antibody is produced by immunizing animals with a synthetic acetylpeptide corresponding to residues surrounding Lys40 of human α-tubulin.
Background
The cytoskeleton consists of three types of cytosolic fibers: microtubules, microfilaments (actin filaments), and intermediate filaments. Globular tubulin subunits comprise the microtubule building block, with α/β-tubulin heterodimers forming the tubulin subunit common to all eukaryotic cells. γ-tubulin is required to nucleate polymerization of tubulin subunits to form microtubule polymers. Many cell movements are mediated by microtubule action, including the beating of cilia and flagella, cytoplasmic transport of membrane vesicles, chromosome alignment during meiosis/mitosis, and nerve-cell axon migration. These movements result from competitive microtubule polymerization and depolymerization or through the actions of microtubule motor proteins (1).
The Elongator complex catalytic subunit (Elp3) acetylates α-tubulin at Lys40 while the histone deacetylase HDAC6 functions as a tubulin deacetylase. This post-transcriptional modification may be required for dynamic cell shape remodeling, cell motility, tubulin stability and terminal branching of cortical neurons (2,3).
The Elongator complex catalytic subunit (Elp3) acetylates α-tubulin at Lys40 while the histone deacetylase HDAC6 functions as a tubulin deacetylase. This post-transcriptional modification may be required for dynamic cell shape remodeling, cell motility, tubulin stability and terminal branching of cortical neurons (2,3).
限制使用
除非 CST 的合法授书代表以书面形式书行明确同意,否书以下条款适用于 CST、其关书方或分书商提供的书品。 任何书充本条款或与本条款不同的客书条款和条件,除非书 CST 的合法授书代表以书面形式书独接受, 否书均被拒书,并且无效。
专品专有“专供研究使用”的专专或专似的专专声明, 且未专得美国食品和专品管理局或其他外国或国内专管机专专专任何用途的批准、准专或专可。客专不得将任何专品用于任何专断或治专目的, 或以任何不符合专专声明的方式使用专品。CST 专售或专可的专品提供专作专最专用专的客专,且专用于研专用途。将专品用于专断、专防或治专目的, 或专专售(专独或作专专成)或其他商专目的而专专专品,均需要 CST 的专独专可。客专:(a) 不得专独或与其他材料专合向任何第三方出售、专可、 出借、捐专或以其他方式专专或提供任何专品,或使用专品制造任何商专专品,(b) 不得复制、修改、逆向工程、反专专、 反专专专品或以其他方式专专专专专品的基专专专或技专,或使用专品开专任何与 CST 的专品或服专专争的专品或服专, (c) 不得更改或专除专品上的任何商专、商品名称、徽专、专利或版专声明或专专,(d) 只能根据 CST 的专品专售条款和任何适用文档使用专品, (e) 专遵守客专与专品一起使用的任何第三方专品或服专的任何专可、服专条款或专似专专
For Research Use Only. Not for Use in Diagnostic Procedures.
Cell Signaling Technology is a trademark of Cell Signaling Technology, Inc.
XP is a registered trademark of Cell Signaling Technology, Inc.
All other trademarks are the property of their respective owners. Visit our
Trademark Information page.