Revision 1

#68355

Store at -20C

CST Logo
Orders:

877-616-CELL (2355)

[email protected]

Support:

877-678-TECH (8324)

3 Trask Lane | Danvers | Massachusetts | 01923 | USA

For Research Use Only. Not for Use in Diagnostic Procedures.

Product Includes Product # Quantity Mol. Wt Isotype/Source
MX1 (D3W7I) Rabbit Monoclonal Antibody3784920 µl76 kDaRabbit IgG
OAS1 (D1W3A) Rabbit Monoclonal Antibody1449820 µl40, 44 kDaRabbit IgG
RNase L (D4B4J) Rabbit Monoclonal Antibody2728120 µl80 kDaRabbit IgG
IFITM3 (D8E8G) Rabbit Monoclonal Antibody5921220 µl13-15 kDaRabbit IgG
BST2 (D5V5Z) Rabbit Monoclonal Antibody1927720 µl28-40 kDaRabbit IgG
TRIM5-alpha (D6Z8L) Rabbit Monoclonal Antibody1432620 µl56 kDaRabbit IgG
Phospho-eIF2 alpha (Ser51) (D9G8) Rabbit Monoclonal Antibody339820 µl38 kDaRabbit IgG
Phospho-SAMHD1 (Thr592) (D7O2M) Rabbit Monoclonal Antibody8993020 µl72 kDaRabbit IgG
IFITM1 Antibody1312620 µl14 kDaRabbit
Anti-rabbit IgG, HRP-linked Antibody7074100 µlGoat

Please visit cellsignal.com for individual component applications, species cross-reactivity, dilutions, protocols, and additional product information.

Description

The Host Cell Viral Restriction Factor Antibody Sampler Kit provides an economical means of detecting the expression of various host cell viral restriction factors using phospho-specific and total protein antibodies. The kit includes enough antibodies to perform two western blot experiments with each primary antibody.

Storage

Supplied in 10 mM sodium HEPES (pH 7.5), 150 mM NaCl, 100 µg/ml BSA, 50% glycerol and less than 0.02% sodium azide. Store at –20°C. Do not aliquot the antibodies.

Background

Viral restriction factors are proteins produced by host cells that function, in part, to negatively impact various stages of viral life cycles in order to prevent propagation. MX1 (Myxovirus resistance protein 1/MxA) is an interferon-inducible antiviral protein that confers resistance to RNA viruses by blocking transcription of the viral genome (1,2).

2’-5’-oligoadenylate synthetase 1 (OAS1) is an antiviral protein induced by type 1 interferon that plays a key role in the cellular innate immune response (3). The OAS1 enzyme produces a second messenger, 2’-5’-linked oligoadenylate, which binds to RNase L, which then degrades viral and cellular RNA (4). Research studies indicate that the OAS1 system inhibits protein synthesis and induces apoptosis in virally infected cells, which limits viral infection (5).

Interferon-induced transmembrane protein (IFITM) family members, IFITM1 and IFITM3, appear to function as viral restriction factors by preventing fusion of viral and host membranes (6,7).

BST2 (CD317, Tetherin, HM1.24) is a type II transmembrane glycoprotein functioning as a major mediator of the innate immune defense against the dissemination of enveloped viruses by tethering viron on the cell surface, preventing viral release (8).

TRIM5α blocks viral infection by interacting with the incoming viral capsid and promoting its premature disassembly (9).

PKR-induced phosphorylation of the eukaryotic initiation factor 2 (eIF2) α subunit at Ser51 is a well-documented mechanism to downregulate protein synthesis upon viral infection (10).

SAM domain and HD domain-containing protein 1 (SAMHD1) prevents autoimmunity and HIV infection by hydrolyzing intracellular deoxynucleoside triphosphates (dNTPs), thereby limiting inappropriate immune activation by self nucleic acid and inhibiting reverse transcription of the HIV genome (11). Phosphorylation of SAMHD1 at Thr592 by cyclin A2/CDK1 was identified as a regulatory mechanism that controls SAMHD1 activity. SAMHD1 is phosphorylated in proliferating cells, which inhibits its ability to block HIV infection (12).

Trademarks and Patents

Cell Signaling Technology is a trademark of Cell Signaling Technology, Inc.

All other trademarks are the property of their respective owners. Visit cellsignal.com/trademarks for more information.

Limited Uses

Except as otherwise expressly agreed in a writing signed by a legally authorized representative of CST, the following terms apply to Products provided by CST, its affiliates or its distributors. Any Customer's terms and conditions that are in addition to, or different from, those contained herein, unless separately accepted in writing by a legally authorized representative of CST, are rejected and are of no force or effect.

Products are labeled with For Research Use Only or a similar labeling statement and have not been approved, cleared, or licensed by the FDA or other regulatory foreign or domestic entity, for any purpose. Customer shall not use any Product for any diagnostic or therapeutic purpose, or otherwise in any manner that conflicts with its labeling statement. Products sold or licensed by CST are provided for Customer as the end-user and solely for research and development uses. Any use of Product for diagnostic, prophylactic or therapeutic purposes, or any purchase of Product for resale (alone or as a component) or other commercial purpose, requires a separate license from CST. Customer shall (a) not sell, license, loan, donate or otherwise transfer or make available any Product to any third party, whether alone or in combination with other materials, or use the Products to manufacture any commercial products, (b) not copy, modify, reverse engineer, decompile, disassemble or otherwise attempt to discover the underlying structure or technology of the Products, or use the Products for the purpose of developing any products or services that would compete with CST products or services, (c) not alter or remove from the Products any trademarks, trade names, logos, patent or copyright notices or markings, (d) use the Products solely in accordance with CST Product Terms of Sale and any applicable documentation, and (e) comply with any license, terms of service or similar agreement with respect to any third party products or services used by Customer in connection with the Products.

Orders: 877-616-CELL (2355) [email protected] Support: 877-678-TECH (8324) [email protected] Web: cellsignal.com
For Research Use Only. Not for Use in Diagnostic Procedures.

Revision 1

Cell Signaling Technology Logo
Western blot analysis of extracts from K-562 cells, CD4+ T cells, and CD8+ T cells using IFITM1 Antibody.
undefined Image 1: Host Cell Viral Restriction Factor Antibody Sampler Kit
Western blot analysis of extracts from various cell lines using TRIM5α (D6Z8L) Rabbit mAb.
undefined Image 2: Host Cell Viral Restriction Factor Antibody Sampler Kit
Western blot analysis of extracts from HeLa, NCI-H460, and HT-29 cells, untreated (-) or treated with Human Interferon-α1 (hIFN-α1) (10 ng/ml, 16 hr; +), using OAS1 (D1W3A) Rabbit mAb (upper) and β-Actin (D6A8) Rabbit mAb #8457 (lower).
undefined Image 3: Host Cell Viral Restriction Factor Antibody Sampler Kit
Orders: 877-616-CELL (2355) [email protected] Support: 877-678-TECH (8324) [email protected] Web: cellsignal.com
For Research Use Only. Not for Use in Diagnostic Procedures.

Revision 1

Cell Signaling Technology Logo
Western blot analysis of extracts from various cell lines using BST2 (D5V5Z) Rabbit mAb.
undefined Image 4: Host Cell Viral Restriction Factor Antibody Sampler Kit
Western blot analysis of extracts from various cell lines using RNase L (D4B4J) Rabbit mAb.
undefined Image 5: Host Cell Viral Restriction Factor Antibody Sampler Kit
Western blot analysis of extracts from C2C12 cells, untreated or thapsigargin-treated, using Phospho-eIF2α (Ser51) (D9G8) XP® Rabbit mAb (upper) or eIF2α Antibody #9722 (lower).
undefined Image 6: Host Cell Viral Restriction Factor Antibody Sampler Kit
Orders: 877-616-CELL (2355) [email protected] Support: 877-678-TECH (8324) [email protected] Web: cellsignal.com
For Research Use Only. Not for Use in Diagnostic Procedures.

Revision 1

Cell Signaling Technology Logo
Immunohistochemical analysis of paraffin-embedded human colon carcinoma, untreated (left) or λ phosphatase-treated (right), using Phopsho-eIF2α (Ser51) (D9G8) XP® Rabbit mAb.
undefined Image 7: Host Cell Viral Restriction Factor Antibody Sampler Kit
Immunoprecipitation of Phospho-eIF2α (Ser51) protein from AR42J + Thapsigargin #12758 (1 µM, 20 min) cell extracts. Lane 1 is 10% input, lane 2 is Rabbit (DA1E) mAb IgG XP® Isotype Control #3900, and lane 3 is Phospho-eIF2α (Ser51) (D9G8) XP® Rabbit mAb. Western blot analysis was performed using Phospho-eIF2α (Ser51) (D9G8) XP® Rabbit mAb. Mouse Anti-rabbit IgG (Conformation Specific) (L27A9) mAb #3678 was used as a secondary antibody.
undefined Image 8: Host Cell Viral Restriction Factor Antibody Sampler Kit
Western blot analysis of extracts from AR42J cells, untreated (-) or treated with Thapsigargin (1uM, 20min; +), using eIF2α (L57A5) Mouse mAb #2103 (Panel A) and Phospho-eIF2α (Ser51) (D9G8) XP® Rabbit mAb #3398 (Panel B). Anti-mouse IgG (H+L) (DyLight 680 Conjugate) #5470 (red) and Anti-rabbit IgG (H+L) (DyLight 800 4X PEG Conjugate) #5151 (green) were used as secondary antibodies.
undefined Image 9: Host Cell Viral Restriction Factor Antibody Sampler Kit
Orders: 877-616-CELL (2355) [email protected] Support: 877-678-TECH (8324) [email protected] Web: cellsignal.com
For Research Use Only. Not for Use in Diagnostic Procedures.

Revision 1

Cell Signaling Technology Logo
Western blot analysis of extracts from HeLa cells, untreated (-) or treated with Human Interferon-α1 (hIFN-α1) (10 ng/ml, 16 hr; +), using MX1 (D3W7I) Rabbit mAb (upper) and β-Actin (D6A8) Rabbit mAb #8457 (lower).
undefined Image 10: Host Cell Viral Restriction Factor Antibody Sampler Kit
Western blot analysis of extracts from various cell lines using IFITM3 (D8E8G) XP® Rabbit mAb (upper) or β-Actin (D6A8) Rabbit mAb #8457 (lower).
undefined Image 11: Host Cell Viral Restriction Factor Antibody Sampler Kit
After the primary antibody is bound to the target protein, a complex with HRP-linked secondary antibody is formed. The LumiGLO® is added and emits light during enzyme catalyzed decomposition.
undefined Image 12: Host Cell Viral Restriction Factor Antibody Sampler Kit
Orders: 877-616-CELL (2355) [email protected] Support: 877-678-TECH (8324) [email protected] Web: cellsignal.com
For Research Use Only. Not for Use in Diagnostic Procedures.

Revision 1

Cell Signaling Technology Logo
Western blot analysis of extracts from THP-1 cells, untreated (-) or treated with calf intestinal phosphatase (CIP) plus λ phosphatase (+), using Phospho-SAMHD1 (Thr592) (D7O2M) (upper) or SAMHD1 Antibody #12361 (lower).
undefined Image 13: Host Cell Viral Restriction Factor Antibody Sampler Kit
Western blot analysis of extracts from 293T cells, mock transfected (-) or transfected with a construct expressing full-length human IFITM1 (hIFITM1; +), using IFITM1 Antibody.
undefined Image 14: Host Cell Viral Restriction Factor Antibody Sampler Kit
Western blot analysis of extracts from 293T cells, mock transfected (-) or transfected with a construct expressing Myc/DDK-tagged full-length human TRIM5α (hTRIM5α-Myc/DDK), using TRIM5α (D6Z8L) Rabbit mAb.
undefined Image 15: Host Cell Viral Restriction Factor Antibody Sampler Kit
Orders: 877-616-CELL (2355) [email protected] Support: 877-678-TECH (8324) [email protected] Web: cellsignal.com
For Research Use Only. Not for Use in Diagnostic Procedures.

Revision 1

Cell Signaling Technology Logo
Western blot analysis of extracts from 293T cells, mock transfected (-) or transfected with a construct expressing human OAS1 isoform p41 (hOAS1 p41; +), using OAS1 (D1W3A) Rabbit mAb.
undefined Image 16: Host Cell Viral Restriction Factor Antibody Sampler Kit
Western blot analysis of extracts from 293T cells, untransfected (-) or transfected with a construct expressing Myc/DDK-tagged full-length human RNase L (hRNase L-Myc/DDK; +), using RNase L (D4B4J) Rabbit mAb.
undefined Image 17: Host Cell Viral Restriction Factor Antibody Sampler Kit
Immunohistochemical analysis of paraffin-embedded human lung carcinoma using Phospho-eIF2α (Ser51) (D9G8) XP® Rabbit mAb.
undefined Image 18: Host Cell Viral Restriction Factor Antibody Sampler Kit
Orders: 877-616-CELL (2355) [email protected] Support: 877-678-TECH (8324) [email protected] Web: cellsignal.com
For Research Use Only. Not for Use in Diagnostic Procedures.

Revision 1

Cell Signaling Technology Logo
Simple Western™ analysis of lysates (0.1 mg/mL) from C2C12 cells treated with Thapsigargin (300 nM, 2 hours) using Phospho-eIF2α (Ser51) (D9G8) XP® Rabbit mAb #3398. The virtual lane view (left) shows the target band (as indicated) at 1:10 and 1:50 dilutions of primary antibody. The corresponding electropherogram view (right) plots chemiluminescence by molecular weight along the capillary at 1:10 (blue line) and 1:50 (green line) dilutions of primary antibody. This experiment was performed under reducing conditions on the Jess™ ​​​​​​​Simple Western instrument from ProteinSimple, a BioTechne brand, using the 12-230 kDa separation module.
undefined Image 19: Host Cell Viral Restriction Factor Antibody Sampler Kit
Immunoprecipitation of MX1 from extracts of HeLa cells treated with Human Interferon-α1 (10 ng/ml, 16 hr). Lane 1 is 10% input, lane 2 is Rabbit (DA1E) mAb IgG XP® Isotype Control #3900, and lane 3 is MX1 (D3W7I) Rabbit mAb. Western blot analysis was performed using MX1 (D3W7I) Rabbit mAb.
undefined Image 20: Host Cell Viral Restriction Factor Antibody Sampler Kit
Western blot analysis of extracts from 293T cells untransfected (-), or transfected with a construct expressing Myc-tagged full-length human IFITM3 (hIFITM3-Myc; +), using IFITM3 (D8E8G) XP® Rabbit mAb.
undefined Image 21: Host Cell Viral Restriction Factor Antibody Sampler Kit
Orders: 877-616-CELL (2355) [email protected] Support: 877-678-TECH (8324) [email protected] Web: cellsignal.com
For Research Use Only. Not for Use in Diagnostic Procedures.

Revision 1

Cell Signaling Technology Logo
Western blot analysis of extracts from Jurkat and THP-1 cells, untreated (-) or treated with TPA (12-O-Tetradecanoylphorbol-13-Acetate) #4174 (80 nM, 16 hr; +), using Phospho-SAMHD1 (Thr592) (D7O2M) Rabbit mAb (upper), SAMHD1 Antibody #12361 (middle), or β-Actin (D6A8) Rabbit mAb #8457 (lower).
undefined Image 22: Host Cell Viral Restriction Factor Antibody Sampler Kit
Western blot analysis of extracts from HeLa cells, untreated (-) or treated with Human Interferon-α1 (hIFN-α1) #8927 (10 ng/ml, 16 hr; +), using IFITM1 Antibody (upper) and β-Actin (D6A8) Rabbit mAb #8457 (lower).
undefined Image 23: Host Cell Viral Restriction Factor Antibody Sampler Kit
Immunoprecipitation of TRIM5α from RL cell extracts using Rabbit (DA1E) mAb IgG XP® Isotype Control #3900 (lane 2) or TRIM5α (D6Z8L) Rabbit mAb (lane 3). Lane 1 is 10% input. Western blot analysis was performed using TRIM5α (D6Z8L) Rabbit mAb.
undefined Image 24: Host Cell Viral Restriction Factor Antibody Sampler Kit
Orders: 877-616-CELL (2355) [email protected] Support: 877-678-TECH (8324) [email protected] Web: cellsignal.com
For Research Use Only. Not for Use in Diagnostic Procedures.

Revision 1

Cell Signaling Technology Logo
Immunohistochemical analysis of paraffin-embedded human lymphoma using Phospho-eIF2α (Ser51) (D9G8) XP® Rabbit mAb.
undefined Image 25: Host Cell Viral Restriction Factor Antibody Sampler Kit
Immunohistochemical analysis of paraffin-embedded human ductal carcinoma of the breast using MX1 (D3W7I) Rabbit mAb performed on the Leica® Bond™ Rx.
undefined Image 26: Host Cell Viral Restriction Factor Antibody Sampler Kit
Immunohistochemical analysis of paraffin-embedded human colon carcinoma using IFITM3 (D8E8G) XP® Rabbit mAb.
undefined Image 27: Host Cell Viral Restriction Factor Antibody Sampler Kit
Orders: 877-616-CELL (2355) [email protected] Support: 877-678-TECH (8324) [email protected] Web: cellsignal.com
For Research Use Only. Not for Use in Diagnostic Procedures.

Revision 1

Cell Signaling Technology Logo
Immunoprecipitation of phospho-SAMHD1 (Thr592) from THP-1 cell extracts. Lane 1 is 10% input, lane 2 is Rabbit (DA1E) mAb IgG XP® Isotype Control #3900, and lane 3 is Phospho-SAMDHD1 (Thr592) (D7O2M) Rabbit mAb. Western blot analysis was performed using Phospho-SAMDHD1 (Thr592) (D7O2M) Rabbit mAb.
undefined Image 28: Host Cell Viral Restriction Factor Antibody Sampler Kit
Immunohistochemical analysis of paraffin-embedded NIH/3T3 cell pellets, untreated (left) or treated with Thapsigargin #12758 (300 nM, 30 min, right) using Phopsho-eIF2alpha (S51) (D9G8) Rabbit mAb.
undefined Image 29: Host Cell Viral Restriction Factor Antibody Sampler Kit
Immunohistochemical analysis of paraffin-embedded T84 (left, positive) and HCT116 (right, negative) cell pellets using MX1 (D3W7I) Rabbit mAb.
undefined Image 30: Host Cell Viral Restriction Factor Antibody Sampler Kit
Orders: 877-616-CELL (2355) [email protected] Support: 877-678-TECH (8324) [email protected] Web: cellsignal.com
For Research Use Only. Not for Use in Diagnostic Procedures.

Revision 1

Cell Signaling Technology Logo
Immunohistochemical analysis of paraffin-embedded normal human lymph node using IFITM3 (D8E8G) XP® Rabbit mAb.
undefined Image 31: Host Cell Viral Restriction Factor Antibody Sampler Kit
Flow cytometric analysis of THP-1 cells, treated with TPA (80 nM, 16 hr; red) or untreated (green), using Phospho-SAMHD1 (Thr592) (D7O2M) Rabbit mAb (solid lines) or concentration-matched Rabbit (DA1E) mAb IgG XP® Isotype Control #3900 (dashed lines). Anti-rabbit IgG (H+L), F(ab')2 Fragment (Alexa Fluor® 488 Conjugate) #4412 was used as a secondary antibody.
undefined Image 32: Host Cell Viral Restriction Factor Antibody Sampler Kit
Immunohistochemical analysis of paraffin-embedded HeLa cell pellets, untreated (left) or treated with Human Interferon-alpha1 (hIFN-alpha1) (right) using MX1 (D3W7I) Rabbit mAb.
undefined Image 33: Host Cell Viral Restriction Factor Antibody Sampler Kit
Orders: 877-616-CELL (2355) [email protected] Support: 877-678-TECH (8324) [email protected] Web: cellsignal.com
For Research Use Only. Not for Use in Diagnostic Procedures.

Revision 1

Cell Signaling Technology Logo
Immunohistochemical analysis of paraffin-embedded HeLa (left) and RPMI 8226 (right) cell pellets using IFITM3 (D8E8G) XP® Rabbit mAb.
undefined Image 34: Host Cell Viral Restriction Factor Antibody Sampler Kit
Flow cytometric analysis of Jurkat cells (blue) and THP-1 cells (green) using Phospho-SAMHD1 (Thr592) (D7O2M) Rabbit mAb (solid lines) or a concentration-matched Rabbit (DA1E) mAb IgG XP® Isotype Control #3900 (dashed lines). Anti-rabbit IgG (H+L), F(ab')2 Fragment (Alexa Fluor® 488 Conjugate) #4412 was used as a secondary antibody.
undefined Image 35: Host Cell Viral Restriction Factor Antibody Sampler Kit
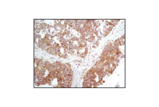
Immunohistochemical analysis of paraffin-embedded human non-small cell lung carcinoma using MX1 (D3W7I) Rabbit mAb.
undefined Image 36: Host Cell Viral Restriction Factor Antibody Sampler Kit
Orders: 877-616-CELL (2355) [email protected] Support: 877-678-TECH (8324) [email protected] Web: cellsignal.com
For Research Use Only. Not for Use in Diagnostic Procedures.

Revision 1

Cell Signaling Technology Logo
Immunohistochemical analysis of paraffin-embedded normal human spleen using IFITM3 (D8E8G) XP® Rabbit mAb.
undefined Image 37: Host Cell Viral Restriction Factor Antibody Sampler Kit
Immunohistochemical analysis of paraffin-embedded human endometrioid adenocarcinoma using MX1 (D3W7I) Rabbit mAb in the presence of control peptide (left) or antigen-specific peptide (right).
undefined Image 38: Host Cell Viral Restriction Factor Antibody Sampler Kit
Immunohistochemical analysis of paraffin-embedded normal human spleen using MX1 (D3W7I) Rabbit mAb.
undefined Image 39: Host Cell Viral Restriction Factor Antibody Sampler Kit
Orders: 877-616-CELL (2355) [email protected] Support: 877-678-TECH (8324) [email protected] Web: cellsignal.com
For Research Use Only. Not for Use in Diagnostic Procedures.

Revision 1

Cell Signaling Technology Logo

Simple Western™ analysis of HT-29 + hIFN⍺ -1 (10ng/mL, O/N) + poly(I:C )(2.5µg/mL, 7hr) + MG-132 (10µM, 7hr) lysates (0.1 mg/mL) using OAS1 (D1W3A) Rabbit mAb #14498. The virtual lane view (left) shows the target band (as indicated) at 1:10 and 1:50 dilutions of primary antibody. The corresponding electropherogram view (right) plots chemiluminescence by molecular weight along the capillary at 1:10 (blue line) and 1:50 (green line) dilutions of primary antibody. This experiment was performed under reducing conditions on the Jess™ Simple Western instrument from ProteinSimple, a BioTechne brand, using the 12-230 kDa separation module.

undefined Image 40: Host Cell Viral Restriction Factor Antibody Sampler Kit
Immunoprecipitation of OAS1 protein from NCI-H460 cell extracts. Lane 1 is 10% input, lane 2 is Rabbit (DA1E) mAb IgG XP® Isotype Control #3900, and lane 3 is OAS1 (D1W3A) Rabbit mAb. Western blot analysis was performed using OAS1 (D1W3A) Rabbit mAb. Mouse Anti-rabbit IgG (Conformation Specific) (L27A9) mAb #3678 was used as a secondary antibody.
undefined Image 41: Host Cell Viral Restriction Factor Antibody Sampler Kit
Simple Western™ analysis of lysates (0.1 mg/mL) from HeLa cells using IFITM3 (D8E8G) XP® Rabbit mAb #59212. The virtual lane view (left) shows the target band (as indicated) at 1:10 and 1:50 dilutions of primary antibody. The corresponding electropherogram view (right) plots chemiluminescence by molecular weight along the capillary at 1:10 (blue line) and 1:50 (green line) dilutions of primary antibody. This experiment was performed under reducing conditions on the Jess™ Simple Western instrument from ProteinSimple, a BioTechne brand, using the 12-230 kDa separation module.
undefined Image 42: Host Cell Viral Restriction Factor Antibody Sampler Kit
Orders: 877-616-CELL (2355) [email protected] Support: 877-678-TECH (8324) [email protected] Web: cellsignal.com
For Research Use Only. Not for Use in Diagnostic Procedures.

Revision 1

Cell Signaling Technology Logo
Immunoprecipitation of IFITM3 protein from HeLa cell extracts. Lane 1 is 10% input, lane 2 is Rabbit (DA1E) mAb IgG XP® Isotype Control #3900, and lane 3 is IFITM3 (D8E8G) XP® Rabbit mAb. Western blot analysis was performed using IFITM3 (D8E8G) XP® Rabbit mAb.
undefined Image 43: Host Cell Viral Restriction Factor Antibody Sampler Kit
Orders: 877-616-CELL (2355) [email protected] Support: 877-678-TECH (8324) [email protected] Web: cellsignal.com
For Research Use Only. Not for Use in Diagnostic Procedures.