Render Target: STATIC
Render Timestamp:
5/21/2026, 8:38:41 PM EDT
5/22/2026, 12:38:41 AM UTC
Commit: 7ed46ecc04b401f23a28df741b5078df405d23e4
XML generation date: 2025-11-12 16:10:28.447
Product last modified at: 2026-03-20T08:07:21.381Z
Cell Signaling Technology Logo - Extra Large
1% for the planet logo
PDP - Template Name: Monoclonal Antibody
PDP - Template ID: *******c5e4b77
Trial Size Available Flag
Recombinant Flag
Recombinant: Superior lot-to-lot consistency, continuous supply, and animal-free manufacturing.

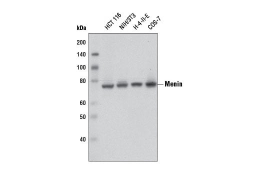
Menin (D45B1) Rabbit Monoclonal Antibody #6891

Filter:
  • WB
  • IF

    Product Specifications

    REACTIVITY H M R Mk
    SENSITIVITY Endogenous
    MW (kDa) 76
    Source/Isotype Rabbit IgG
    Application Key:
    • WB-Western Blotting 
    • IF-Immunofluorescence 
    Species Cross-Reactivity Key:
    • H-Human 
    • M-Mouse 
    • R-Rat 
    • Mk-Monkey 

    Product Information

    Product Usage Information

    Application Dilution
    Western Blotting 1:1000
    Immunofluorescence (Immunocytochemistry) 1:50 - 1:200

    Storage

    Supplied in 10 mM sodium HEPES (pH 7.5), 150 mM NaCl, 100 µg/ml BSA, 50% glycerol and less than 0.02% sodium azide. Store at –20°C. Do not aliquot the antibody.

    实验步骤

    Specificity / Sensitivity

    Menin (D45B1) Rabbit Monoclonal Antibody recognizes total endogenous levels of all 3 isoforms of Menin protein.

    Species Reactivity:

    Human, Mouse, Rat, Monkey

    The antigen sequence used to produce this antibody shares 100% sequence homology with the species listed here, but reactivity has not been tested or confirmed to work by CST. Use of this product with these species is not covered under our Product Performance Guarantee.

    Species predicted to react based on 100% sequence homology:

    Bovine, Pig, Horse

    Source / Purification

    Monoclonal antibody is produced by immunizing animals with a synthetic peptide corresponding to residues surrounding Val597 of human Menin protein.

    Background

    Mutations in the MEN1 tumor suppressor gene cause multiple endocrine neoplasia type 1 (MEN1), an autosomal dominant familial tumor syndrome typified by tumors of the pituitary, parathyroid, lung, and enteropancreatic endocrine tissues (1,2). Patients with this tumor syndrome have inherited either missense or truncation mutations in one allele of the MEN1 gene, while the other allele is subject to loss of heterozygosity in tumors from these patients (1,2). Menin, the protein product of the MEN1 gene, is a component of the mixed-lineage leukemia protein (MLL)-containing histone methyltransferase complex that facilitates methylation of histone H3 Lys4 to promote transcriptional activation (3,4). Menin functions to suppress proliferation of pancreatic islet cells, at least in part through MLL-mediated activation of the p18 and p27 cyclin-dependent kinase inhibitor genes (5,6). Loss of Menin leads to a decrease in methylation of histone H3 Lys4 and decreased expression of the p18 and p27 genes, leading to hyperplasia (5,6). In contrast to its role as a tumor suppressor in endocrine cells, Menin has been shown to promote proliferation in leukemia cells driven by MLL-fusion proteins. Menin is essential for oncogenic MLL-fusion-protein-mediated transformation of bone marrow cells and is required for histone H3 Lys4 methylation and expression of the HoxA9 gene (7,8). Menin interacts with a wide range of proteins, including JunD, SMAD family members, estrogen receptor, vitamin D receptor, PEM, NFκB, FANCD2, RPA2, NMMHC II-A, GFAP, vimentin, and HSP70, suggesting additional roles in transcriptional regulation, DNA processing and repair, cytoskeleton organization, and protein degradation (9,10).

    Alternate Names

    endocrine adenomatosis, multiple; MEAI; MEN1; Menin; menin 1; multiple endocrine neoplasia I; SCG2

    For Research Use Only. Not for Use in Diagnostic Procedures.
    Cell Signaling Technology is a trademark of Cell Signaling Technology, Inc.
    All other trademarks are the property of their respective owners. Visit our Trademark Information page.